THE PHYSICS AND PATHOLOGY OF WOUNDS

 

PART 2:  AUTO-IMMUNOPATHY AND THE INTRINSIC DISEASE OF WOUND HEALING

 

Marc E. Gottlieb, MD, FACS

 

Phoenix, AZ

 

Revision 01a,  February 10, 2010,  Copyright © 2010

 

Preamble

In Part 1 of this series, The Wound as a System and a Controlled Machine, the main point was that the wound is not only a complex system, but it is a non-linear controlled system.  Control is the basis for all wound dynamics, allowing the healthy wound to heal by one-shot dynamics, but leading to complex patterns when wound healing is pathological.  Here in Part 2, Auto-Immunopathy and the Intrinsic Disease of Wound Healing, we will now go from a physics-engineering perspective to a clinical-pathological one.  Here we will show that the wound, made of fibroblasts and angiocytes, is just an instance of the general fibrous stroma (trying to repair itself after injury).  As such, the wound is subject to the same diseases as the general stroma, which mainly means the auto-immune connective tissue disorders.  These conventional diseases and the chronic wound can be equated through the principle of sustained chronic inflammation leading to immune sensitization against stromal elements.  In the next part, Part 3, Chronicity and the Intrinsic Disease of Wound Healing, we will bring together the engineering aspects of the wound as a controlled process and the clinico-pathological aspects of stromal auto-immunization to understand why chronic wounds fail to heal, why the wound control loop cannot succeed in the face of intrinsic auto-immune wound chronicity.

 

 

 

1

In Part 1, we looked at the wound as a system subject to feedback and control.  This model of the wound can accommodate all conditions of wound physiology and pathology, of normality, failure, and therapy.  Part 2 will now look at more conventional biological and medical aspects of wound.  The focus will be on intrinsic wound pathology and failure, specifically the condition of intrinsic degradation of wound healing not attributable to extrinsic factors.  This intrinsic disease of wound healing results from the appearance of an abnormal population of chronic inflammatory and immune cells which has complex disruptive effects on the two cell sets which belong there, acute inflammation and wound module.  These states have a critical cause-and-effect association with autoimmunity, microthrombosis, and other events which sustain acute inflammation.  The auto-immune connective tissue disorders are one of the common causes of chronic ulceration, ulcers and wounds which can be especially refractory to treatment.  We will see here that connective tissue disorders and the chronic intrinsically pathological wound are essentially the same thing, auto-immune attack directed against the fibro-vascular stroma made by fibroblasts and angiocytes.

 

 

2

This is an editorial on one of the core competencies of wounds or any other practice in medicine – the necessity of and ability to make a proper diagnosis.  All good care starts with a correct diagnosis.  This is one of the supreme obligations of all physicians, especially specialists who are expected to have greater knowledge of specific subjects.  This includes wounds and wound practice.  Here are some basic principles of medical practice as relates to the full spectrum of chronic wounds.  (1) Chronic and pathological wounds (CAP wounds) are a distinctive class of disease and clinical activity.  (2) There is a non-expert legacy misunderstanding of wounds that focuses only on trauma and a few standard categories of CAP wounds - arterial, venous, pressure, diabetes.  (3) Legitimate purveyors, professors, and practitioners of this specialty must have the professional level of knowledge required to master these diseases.  Like all specialties, this starts with an understanding of the full spectrum of relevant pathologies.  (4) What are often dismissed as "atypical wounds" are not atypical at all.  In fact, they are the core of chronic and pathological wounds, and they are far more abundant and significant than naives and non-experts perceive.

 

 

3

CAP wounds:  Chronic and Pathological Wounds.  This is the subject of modern wound care.  These are not the simple injuries for which normal physiological wound healing turns on and resolves the problem.  These are not the simple trauma and surgical wounds in healthy people that will heal anyway.  These are not the wounds that heal by simple convergent one-shot dynamics.  These are the sick wounds that cannot heal.  These are the wounds due to pathology and disease.  CAP wounds result from 2 general problems:  (1) wounds that are caused and maintained by some sort of chronic illness or pathology;  (2) wounds, from whatever primary cause, that fail (fail to heal, are wound healing incompetent) due to disease or disorder of the wound healing process.

 

 

4

There are many primary diseases or diagnoses which lead to chronic, pathological, non-healing wounds and wound complications.  Major diagnostic categories, concepts, and groups include:  arterial, micro-occlusive, micro-angiopathies, hemopathologies, hypercoagulable, venous, immunopathies & collagen vascular / connective tissue disorders (cvd-ctd), panniculopathies, dermatoses, diabetes, neuropathy, pressure, mechanical, metabolic, toxic & chemical, physical & energy, cancer, infectious, genetic, factitious & iatrogenic, mixed diagnoses, unknown.  These various diseases cause the wounds or else inhibit the wounds from healing.  One of the fundamental principles of wound pathology and practice is understanding the difference between (1) a sustained or perpetuated wound due to some extrinsic applied disease or injury versus (2) an intrinsically disordered wound in which the machinery of repair is itself damaged or pathological.

 

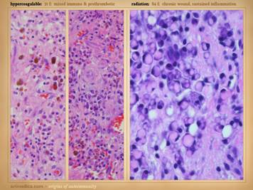
Consider arterial disease.  It affects wound healing, but it is not a disease of wound healing.  Patients with athero-occlusive ischemia of the feet can heal wounds just fine anywhere else, and they heal their foot wounds as soon as revascularization restores blood flow.  Pressure ulcers are trauma, and such patients heal any wound other than those subject to the repetitive injury of prolonged positional ischemia.  Neuropathic wounds occur because of altered skeletal biomechanics leading to pressure without the protective sensation and mobility needed to avoid injury.  Diabetic ulcers are a multifactorial mix of arterial, pressure, neuropathic, and biomechanical factors, and if you do a thyroidectomy or fix a broken wrist, things heal properly because the risks for diabetic ulceration are not global affects on the machinery of wound healing.  Radiation ulcers are notoriously problematic, because radiation does kill the machinery of wound healing, but this is a local trauma, not a system-wide deficiency of wound healing biology.

 

Do you see the trend here?  The chronic wound examples just cited are attributable to some disease or injury extrinsic to the innate wound healing system.  It all begs the question:  What then are the intrinsic diseases of wound healing?  Given that every other cell, tissue, organ, and system in the body is subject to some greater or lesser affliction, why then do we not recognize or acknowledge those diseases of the wound healing system?  Surely they must exist.  The main purpose of this whole presentation is precisely that, to illuminate these diseases for you.  This is crucial to proper care, because choosing effective therapies is contingent on correct diagnosis.  True intrinsic diseases of wound healing exist.  They are common.  Unfortunately, they are naively overlooked and pigeon-holed into the few diagnostic categories that non-experts are aware of, such as arterial and venous.  Understanding intrinsic wound disease begins by understanding the basic anatomy and function of the wound: a self-reorganization of fibroblasts, angiocytes, and epithelium.  We looked at the basic biology of this process in Part 1.  Here, we will look at how this fibro-vascular system becomes altered and pathological.

 

 

5

To understand how wound healing becomes sick, you must first understand what wound healing is.  In Part 1 we looked at the tangible physical details of what happens in the healing wound, the cells and chemicals, and we looked at their operational dynamics.  But there is something more rudimentary and central to the wound, the “heart and soul” of the process.  Ask these two questions:  (1) What is the quintessential structure & function of the wound?  (2) What is the quintessence of its dysfunction?  To answer these, first think about other more obvious organs.  Whatever its complex anatomy and physiology, at its core the heart is a pump.  When it fails, it is an inadequate pump that dams the circulation.  The lung is a bellows and diffusion membrane.  When it fails, there is inadequate movement of gases causing impaired ventilation and respiration.  The kidney is a filter and resorption membrane.  The eye is a light collector and detector, the ear a sound transducer and decoder.  The skeleton is a set of structural members and linkages, the nerves an electrical control network.  When these organs fail, they fail to serve their quintessential functions.

 

 

What is the quintessential structure & function of the wound?  It is not a pump.  It is not a diffusion surface.  It is not a structural support framework, nor a sound or light collector, nor a command and control center.  It is not an endocrine regulatory agent, not a secretory system for protection or digestion, and not a set of conduits for bulk transport.  The wound is an evanescent structure that comes when needed, then disappears.  It is nothing more than a set of cells whose task it is to restore continuity of the tissues whenever there has been an injury –  a re-epithelialized parenchymal matrix.  What then is the wound?  It is a self-reorganizing set of cells.  What is the quintessence of its dysfunction ?  It fails to reorganize – a failure of logistics and inter-operation.

 

This subject will be addressed in greater detail in Part 3, where the focus will be on how the wound fails.  For now though, here in Part 2, as we look at conventional clinical wound healing diseases, keep the following points in mind.  The wound module is a special ad hoc reserve organ.  What are the quintessential structures and functions of the wound?  It is a set of mutually interactive cells that self-organizes to recreate generic stroma.  It has no function other than organizing itself into the generic stroma that is the foundation for other tissues and organs.  What is the quintessential derangement of intrinsic wound pathology and chronicity?  It is a disorder of “logistical” self-re-organization, failing to restore the intended stroma.  When it fails, it simply fails to assemble into its intended final form, to complete its task to become something and then cease.

 

 

6

Understanding conventional pathology and clinical disease begins with a firm understanding of normal anatomy and physiology.  Thus, here is a reminder about wound healing physiology, as reviewed in Part 1.  The “wound” as discussed here is not the injury or defect, but rather the post-injury post-inflammatory wound module of proliferative repair, that ad hoc organ that arises to repair the damage and restore a closed (epithelialized) generic stroma.  Right:  a healthy wound goes through the natural process of healing until closed, i.e. epithelialized.  Left:  all of the reparative events taking place in the wound have a well organized and recognizable anatomy.  Each of the histologic strata correlates with the phases of repair and grossly observable events.  Seven distinctive findings can be observed clinically that attest to this process:

 

0 – Injury and the body’s defenses against it, thrombosis and inflammation, are the triggers which initiate the repair process.  Sustained injury creates conditions which suppress repair.  Injury, thrombosis, and inflammation must be alleviated if the wound module is to develop.

 

1 – Inflammation subsides.  This is the indication that injury has abated and that the defensive response to injury is subsiding, permitting the onset of repair events.  Microscopically, inflammation is still present – it is what drives the control loop of repair – but clinically the acute phase intense defensive events with manifestations of erythema, edema, pain, warmth, drainage, etc. will subside before or as repair turns on.

 

2 – Macrophages appear in the wound, observable clinically by the separation of eschar.  Their efferent function, to make proliferative cytokines and drive the system load, the repair cells, becomes manifest when “granulation tissue” and other signs of active healing appear.

 

3 – Aminoglycan ground substance appears, as the early medium required by the early repair cells, the space in which they will make a structural stroma.  It is evidenced clinically by mucus on or just under the surface of the wound.

 

4 – “Granulation tissue” is the conventional name used to describe the appearance of angiogenic new blood vessels within the new aminoglycan medium.  The saturated red color seen clinically is due to a high supra-physiological vascular density (for the reasons discussed in detail in Part 1).  Angiogenesis is required to restore an environment and supply network before fibroblasts can start to produce a fibrous matrix.

 

5 – Histioblasts and fibroblasts are the cells that come in behind the angiocytes to make the fibrous proteins and matrix that gives structural competence to the new stroma.  Fibroplasia is evident clinically by stiffness, loss of compliance, and increasing strength in the wound.

 

6 – Myofibroblasts are the specialized fibroblasts that have accumulated contractile muscle proteins, allowing them to contract the developing matrix, thereby reducing the size of the wound and defect.  Their effects are evident clinically as reduction in area of the wound, and deformations of the wound margins.

 

7 – Epithelialization is the final component of the active phase of repair.  This is the tangential growth of the epithelium (or other ecto-entodermal parenchyma) over the new mesenchymal stroma.  Once the epithelium is completely confluent and continuous, the wound is “closed”, the nominal clinical endpoint of healing.

 

8 – Maturation.  Once the wound is epithelialized and closed, the control loop stops driving and acute phase wound healing ceases.  The supra-physiological accumulation of vessels and matrix within the new stroma – the scar – now begins a slow process of teardown and remodeling until the new stroma eventually resembles normal dermis or fascias.

 

 

7

This slide is to remind that the integrated response to injury – inflammation then wound healing – has a few main events and agents.  Injury is recognized, and the inflammatory response is activated, by blood borne cells, the platelets and granular leukocytes.  Aside from its various host defense and cleanup functions, inflammation also  initiates wound healing.  This occurs via the transformation of blood borne monocytes into their tissue active phenotype, the macrophage.  Macrophages regulate the afferent wound events, the activation and attraction of local mesenchymal cells, the angiocytes and fibroblasts.  These cells in turn are the effectors of the efferent wound events, the creation of the new stroma composed of blood vessels and connective protein matrix.  Sequestration of the mesenchyme from the ambient world by growth and confluence of the overlying epithelium marks the nominal endpoint of wound healing.  The purpose of all of this is to restore and re-epithelialize a generic stroma.  However, this post-inflammatory wound healing version of the stroma is “scar”, excessively dense in the products of repair.  Maturation is the post-healing phase of the process in which the excesses are remodeled back to a normal dermal or fascial form of stroma.

 

 

8

Not to be redundant or repetitive, but it is important to remember that the mesenchymal component of scar is based on two cell types – angiocytes which make new vessels, and fibroblasts which make new connective matrix.  Angiocytes and fibroblasts, blood vessels and connective matrix – that is the generic stroma (which includes dermis, fascias, miscellaneous connective tissues, and the wound).  Left:  in the angio-organization layer, angiocytes have formed long vertical cords and conducting vessels, reaching from mature vessels underneath toward chemotactic stimuli above.  Once these vessels and blood flow are established, the fibrous component of repair can start to develop.  Center:  numerous fibroblasts are making fibrous collagen, giving the new stroma mechanical stability.  The stratification, condensed organization, and dense packing of the collagen fibers is obvious.  Right:  a matured scar (years old) with open compliant collagen bundles and sparse vessels and fibrocytes, much closer to normal dermis or musculotendinous fascias rather than scar.  Regardless of the phenotype, subtype, “breed”, or “avatar” of the stroma – dermis, fascia, wound, synovium, etc, – the elemental constructs are the same:  angiocytes, fibroblasts, vessels, connectives.

 

 

9

We have just emphasized the central role of angiocytes and fibroblasts to make the generic stroma of the body, both during embryonic development, and also during wound healing, which is simply the restitution of the stroma after injury.  Consider for a moment what diseases might affect this stroma, either the angiocytes and fibroblasts which make it, or the vessels and connective matrix which are the result.  Are you aware of any common metabolic diseases of these cells and structures?  Sure, there are interesting problems of collagen, such as Ehlers-Danlos syndrome, but that is a collagen problem per se, not a fibroblast problem, and either way, it is an oddball diagnosis in the big picture of things.  Arterial atherosclerosis is a common problem, but it is a complex degenerative process of the composite structure of large blood vessels, not a disease of individual angiocytes and the smaller vessels they make.  But are there metabolic or genetic or degenerative diseases of fibroblasts and angiocytes that make them fail to function correctly?  Even in wounds which are highly impaired, the host can still heal wounds without impediment elsewhere on the body, for example a patient with a chronic ankle ulcer will heal just fine after a humerus fracture or thyroidectomy or cholecystectomy.  As will be discussed in detail in subsequent slides, the answer simply is “no”, there are no common diseases intrinsic to these stromal cells.  What does affect them adversely are conditions of exogenous deprivation or predation.

 

Those adverse conditions which would deprive or attack the stroma can be (1) non-targeted (not explicitly directed against stromal elements) exogenous conditions, e.g. arterial ischemia or repetitive trauma, and (2) targeted damage directed against these cells and their structures.  What can pointedly attack the connective stromas and their constituent cells?  Their names say it all – the “collagen-vascular diseases” and the “connective tissue disorders”.  Targeted predation against the stroma, and hence against the wound module is due to a state of auto-immunopathy in which lymphoid cells are sensitized to wound components. This occurs with classic connective tissue disorders and other recognized auto-immunopathies.  As will be presented here, anti-stromal autoimmune sensitization also happens when a wound becomes intrinsically chronic and pathological.  Hypercoagulability and other conditions of persistent thrombosis and acute inflammation are the underlying states that induce the auto-immunization.

 

 

10

“Necrosis” and “ulceration” are the two main words that describe the active onset and evolution of a pathological wound.  In trying to understand the intrinsic diseases of healing and the persistence of CAP wounds, the first major concept to understand is that there are two patterns and final pathways to necrosis and ulceration – the thrombo-infarctive pattern and the inflammatory-lytic pattern. 

 

(1) Thrombo-infarctive necrosis and ulceration is a consequence of severe ischemia due to loss of blood flow.  Obstructed circulation of any cause can be responsible.  Large vessel macro-thrombosis with large organ infarcts or limb gangrene is one version of this which clinically is usually overt and obvious.  With regard to non-life threatening pathological ulceration and CAP wounds, the primary problem is usually obstruction of micro-vessels, causing small scale ischemia and infarction.  This results from the various micro-occlusive disorders, including micro-angiopathies, formed element hematopathologies, and hyper­coagulopathies and dysproteinemias.  Clinically, the pattern is one of dry gangrenous infarction, including dry eschar, cyanotic vascular stasis or else pallor, and absence of edema and gross inflammatory changes.  Laboratory measures of perfusion, such as TcpO2, laser doppler, and multi-spectral imaging are likely to show impairments.  The underlying cause might not always be obvious, the patient might not have an overt or established history of a causative disorder, and the clinical presentation might not be dramatic or life and limb threatening.  However, the physical findings are distinctive, which is enough to direct the clinician to focus on the occlusive disorders as main items on the differential diagnosis.

 

(2) Inflammatory-lytic necrosis and ulceration is due to active inflammatory states, including primary neutrophilic inflammation, atopic-allergic inflammation, and immune-lymphocytic inflammation, all resulting from various underlying diseases including the autoimmunopathies, collagen-vascular connective tissue disorders, and lymphoreticular diseases.  Immunoglobulins, complement, and matrix proteases are abundant along with other acute inflammatory chemistry.  Clinically, these are ulcers which have overt acute inflammation, including edema and scarlet red erythema.  Rather than having dry infarcts and eschar, these ulcers simply erode, getting larger by the literal dissolution of the tissue by cell killing, complement-antibody and other cytolytic events, and protease and other destructive effects.  Many CAP ulcers are obviously of one origin or the other, predominantly thrombo-occlusive versus inflammatory-lytic, and thus they can be easily discriminated by simple physical exam as to which underlying pathology predominates.  However, because of the intimate and intricate inter-dependence of inflammation and thrombosis, many ulcers will have features of both patterns.

 

There is a third major pattern of ulceration, trauma, which includes simple mechanical or surgical injury along with pressure, radiation, burns, toxic chemicals, etc.  What discriminates trauma as a cause of a wound is that trauma is incidental and self-limited, whereas thrombo-infarctive and inflammatory-lytic ulceration are generally persistent and long-lasting due to active ongoing disease (and mutual sustentation when both patterns and pathologies are present).  As will be explained further in later slides, angiocytes and fibroblasts, the two constituent cells of the generic stroma and wound healing process, are robust, with extraordinarily few intrinsic diseases and pathologies.  They can be obliterated by trauma, by critical deprivation of blood supply, and by killers such as antibodies, leukocytes, and lymphocytes.  Aside from the trauma causes of wounds, thrombo-infarctive and inflammatory-lytic ulceration and necrosis are the two – and the only two – common pathophysiological mechanisms by which the basic stroma of the body can be killed and degenerated.

 

 

 

Reviews of essential subjects - Hypercoagulopathy

As a preamble to understanding CAP wounds and the intrinsic disease of wound healing, three relevant subjects must be reviewed:  the hypercoagulable disorders and ulcers, the autoimmune connective tissue diseases and ulcers, and the basic anatomy and cellular biology of wound healing.  The basic anatomy and biology of wound healing was presented in Part 1, and was reviewed in the last few slides.  The next set of slides will review hypercoagulability, the hypercoagulable disorders, and the necrosis, ulceration, and CAP wounds that result.

 

Hypercoagulability is one of the major categories of chronic and pathological ulceration.  This subject started to appear in published journals in the early to mid 1990’s, so after 15-20 years it can hardly be considered new.  However, it is still arcane in the sense that most practitioners remain largely unaware of it.  So, to reiterate, hypercoagulable wounds are a MAJOR category of CAP wounds.  As will be shown later, these are one of the major groups of primary disorders which can then lead to secondary auto-immune wound failure.  This short introduction will cover just the essentials.  Much more information on this subject can be found on the website arimedica.com, under the category “Coagulopathies”.

 

 

 

11

The next few slides are a brief introduction to hypercoagulopathy and the related thrombotic and micro-occlusive disorders that they cause.  Recall what the function of thrombosis is – to stop bleeding from injured blood vessels.  The plasma protein blood coagulation system, along with platelets, is tuned so that ideally the system is never activated when flowing blood is looking at normal endothelium, but it triggers and auto-amplifies quickly when the system “sees” any extra-vascular chemistry or histo-anatomy.  All physicians have some familiarity with what happens when the system is untuned toward a hypocoagulable state, with hemorrhagic risks or events resulting from trauma, hemorrhage, sepsis, factor deficiencies, marrow suppression, anticoagulant drug effects, etc.  Hypercoagulability remains largely misunderstood, unknown, or under appreciated, even though it is common and has a variety of significant clinical syndromes and sequelae.  Hypercoagulable states have a wide spectrum of etiologies which can be primary (e.g. gene mutations) and secondary, including induced (e.g. auto-immune thrombogens) and reactive (e.g. anti-thrombin proteins).  They also have a wide spectrum of clinical sequelae, syndromes, and presentations.

 

The quintessential fault in hypercoagulable states is that the blood coagulation system is over-tuned, likely to trigger and clot with normally sub-threshold stimuli, including spontaneous thrombosis within uninjured blood vessels, and overly aggressive thrombosis following injury.  The clinical consequences may involve large vessels and organs and be acute and overt.  They may involve small vessels and be subtle, occult, persistent, and hard to recognize or treat.  Hypercoagulable states can be grouped among a broader category of disorders, the thrombo-occlusive and micro-occlusive disorders.  These are a consequence of pathology or alterations in hemodynamics, blood vessels, the various other components of whole blood, and the plasma protein clotting system itself.  Various combinations of these causes can occur, and vascular and hematological disorders superimposed on a background hypercoagulable state can be especially problematic.  While the large vessel complications of hypercoagulability are themselves a major subject, with regard to chronic and pathological wounds our interest is in micro-thrombosis and micro-occlusion.  The micro-thrombotic disorders can be grouped by a few major pathophysiological mechanisms:

 

1 – Hemodynamic disorders:  Blood vessels, blood, and coagulation are all intrinsically normal.  Thrombosis occurs from blood stasis due to hemodynamic alterations related to gross cardiovascular anatomy and function (e.g. atrial fibrillation, valvular pathology, vascular compression).

 

2 – Endovasculopathies:  Intrinsic and luminal vasculopathies in which blood vessels are abnormal.  Blood is normal, and coagulation is intrinsically normal.  Thrombosis occurs in response to blood stasis or thrombotic activation created by endoluminal and endothelial alterations in the vessels (e.g. atherosclerosis, hyperparathyroidism-calciphylaxis).

 

3 – Exovasculopathies:  Extrinsic and mural vasculopathies in which blood vessels are abnormal.  Blood is normal, and coagulation is intrinsically normal.  Unlike the endovasculopathies in which thrombosis is triggered by thrombogenic surfaces and flow turbulence or stasis, the exovasculopathies tend to be inflammatory or immune in origin, with inflammatory mediators triggering thrombosis in passing blood (e.g. venous vasculitis, the connective tissue disorders, and classic arteritides such as polyarteritis nodosa and thromboangiitis obliterans).

 

4 – Non-hypercoagulable hemopathologies:  Micro-occlusive disorders in which vessels are normal and the plasma protein coagulation system is intrinsically normal, but other elements of the blood are abnormal.  The clotting system responds “correctly” to abnormal conditions of stasis or thrombotic activation (1 - hemoglobinopathies, e.g. sickle, thalassemia, hemolytic anemias;  2 - dys- and cryoproteinemias, e.g. cryoglobulins, cryofibrinogen, macroglobulins, gammopathies & myeloma;  3 - red cell, leukocyte, & platelet abnormalities, e.g. spherocytosis, myeloproliferative disorders, polycythemias, leukemias).

 

5 – Hypercoagulable hemopathologies:  Vessels are normal.  Blood is normal (formed elements and serum).  What is abnormal is the plasma protein clotting system.  In the above categories, the clotting system is behaving properly in response to abnormal conditions.  In the hypercoagulopathies, abnormal inappropriate thrombosis is the primary event.  Blood stasis and vascular occlusion are consequences, not causes.  The hypercoagulable disorders can be intrinsic (the “pre-thrombotic” primary disorders of the coagulation system) or extrinsic due to metabolic or auto-immune alterations.  See the following slides for specifics.

 

The hypercoagulable states can cause both large vessel thrombosis and micro-thrombosis.  “Old medicine syndromes” due to macro-thrombosis, such a coronary or cerebrovascular occlusion, femoro-popliteal embolism, pulmonary embolism, and Budd-Chiari hepatic thrombosis are overt, dramatic, and easy to recognize.  Micro-thrombosis tends to be subtle, ongoing, frustrating, and easy to overlook, misinterpret, or misdiagnosis.  One point worth remembering is the clinical syndrome of occult hypercoagulopathy.  It is a dependable tetrad or pentad of features, and if on history alone your wound patient has these things (not all of them need to be present), then they have a hypercoagulable disorder:  1 history of thrombotic or embolic events;  2 – history of miscarriages;  3 – history of wound pathergy (unexpected wound complications following trauma or surgery) or soft tissue problems including chronic ulceration;  4 – an auto-immune or connective tissue disorder;  & 5 – (what makes it the pentad) a family history of the main 4 counts equally as a positive personal history.

 

 

12

This slide lists relevant basic pathological features of the hypercoagulopathies.  These lists are not comprehensive.  The hypercoagulable disorders can be intrinsic (“pre-thrombotic”) primary disorders of the coagulation system or extrinsic due to metabolic and auto-immune alterations.  They have important associations with other diseases and clinical syndromes.  They can cause commonly recognized large vessel thrombotic and embolic events, or poorly recognized micro-thrombotic events.

 

Prethrombotic disorders, related disorders, & disease associations:  Common intrinsic causes are gene mutations (e.g., factor 5 Leiden, prothrombin 20210G), coagulation protein alterations (e.g., proteins C & S, anti-thrombin-3, plasminogen, fibrinogen), and various other pathologies with a tie-in to the formation and metabolism of these factors (e.g. liver disease, estrogens and pregnancy, paroxysmal nocturnal hemoglobinuria, dicoumarol-derivative complications).  The extrinsic causes include miscellaneous metabolic and pathological states (e.g. homocysteinemia and cancer-Trousseau), but they are dominated by the antiphospholipid antibody syndromes and other immune thrombogens and auto-immune states (including the anticardiolipins and the lupus anticoagulants).  Virtually all of the classic connective tissue or collagen-vascular diseases have a high incidence of hypercoagulopathy, and vice versa.  The importance of the gene mutations must be emphasized.  You cannot cheat on a gene test, so when a patient has an altered gene and then a bunch of other syndromic clinical problems, it is a good bet that the genetic mutation is the root cause.  These last two points, concerning prethrombotic gene mutations and the connective tissue disorders will be discussed in much greater detail in later slides.

 

To emphasize how this knowledge must change traditional practices, consider venous disease.  The hemodynamics of venous reflux and hypertension have been understood for well over 200 years, yet altered hemodynamics alone do not explain the whole picture of chronic venous ulceration.  Why do these people get thrombosis and damaged valves in the first place?  Why are their wounds hard to heal?  The answer is that many of them have factor V Leiden, prothrombin 20210G, or another of the hypercoagulable entities as the primary underlying cause.  The hypercoagulable disorder causes the overt or occult venous thrombi that cause valvular incompetence and the post-phlebitic state, and then when liposclerosis and ulceration eventually ensue, the hypercoagulability also impairs healing.

 

Macrothrombosis:  Hypercoagulable states can cause both large vessel and small vessel thrombosis.  Large vessel thrombotic events cause the major infarcts and apoplexies that present as easily recognizable clinical syndromes (e.g. cava-tibial venous thrombosis, aorto-tibial arterial thrombosis, other peripheral thrombosis, coronary artery thrombosis, cerebrovascular thrombosis, pulmonary embolism, intracardiac thrombosis, graft and valve thrombosis, subclavian vein (paget-schroeder), hepatic veins (budd-chiari), pituitary apoplexy (sheehan), retinal artery & vein occlusion, intracranial sinus thrombosis, spinal apoplexy, visceral apoplexy (renal, adrenal, bowel), etc.)  These items on the list of large vessel vascular events have one thing in common – they are acute, overt, and life-and-limb threatening.

 

Microthrombosis:  In comparison, microthrombotic events are subacute and chronic, slow, subtle, persistent, recurring, perplexing, frustrating, refractory.  They are non-obvious in origin – vascular occlusion not overt – unless you are familiar with their spectrum of disease and secondary clinical events.  Some clinical events ought to raise immediate “red flags” of a possible underlying hypercoagulable disorder, e.g. non-immune glomerulonephritis, primary pulmonary thrombosis, warfarin necrosis, complications of contraceptives, and (of course) certain non-healing ulcers and thrombo-infarctive complications of surgery.  Other miscellaneous features which raise suspicion include refractoriness to treatment or a long history of failed treatment, any age, and family history.  Remember the diagnostic, nearly pathognomonic tetrad:  1 – thrombosis or embolism;  2 – miscarriage;  3 – wound pathergy (including chronic ulcers);  4 – auto-immune disorder;  (& 5 – personal or family history).

 

 

13

Like anything else in medicine, proper diagnosis of a wound or underlying disease starts with a history and physical exam, formulation of a differential diagnosis if the exact diagnosis is not yet evident, then resolution of the diagnosis by further testing.  History was covered on the preceding slide.  This slide concerns what is apt to be found on examination, both the initial physical plus subsequent observations as treatment is managed.

 

Hypercoagulable ulcers have features predominantly attributable to ischemia and arterial insufficiency.  To the extent that they might have an associated immune component, there may be inflammatory changes along with ischemic changes.  However, for prototypical coagulopathic ulceration, the pattern is one of thrombo-infarction rather than inflammation-lysis.  This means that they have no unique nor pathognomonic features, but they do have an eminently distinctive appearance.

 

Features of gross appearance include:  ischemic infarction (black desiccated eschar), periwound vascular stasis (cyanotic plethora as opposed to the scarlet hyperemia of inflammation), active ulceration (observable at the margins where skin is dying, until the cause of ischemia has been corrected), absence of edema, absence of gross inflammation, and a weak or absent wound module.  Unlike with classic arterial diseases, patients will have these signs of arterial ischemia while still having good pulses.  If a patient has a related condition, such as secondary venous disease caused by the chronic hypercoagulopathy, then exam can be mixed with signs of the multiple problems.  However, for paradigm hypercoagulable ulceration, the picture is one of localized arterial ischemia in the face of good pulses.

 

Observations over time and care, until definitive treatment is given, can be summed up simply as “impaired wound behavior characteristic of severe ischemia “.  Wound behavior is continuously pathological, with persistent active necrosis, pathergy, and active ulceration.  Wounds are recalcitrant, with impaired dynamics and failure to make meaningful progress until ischemic conditions are relieved.  Repetitive occult micro-thrombotic events result in rapid evolution and slow resolution of the ulcers.  If wrong therapies are attempted based on wrong diagnosis, if no precautions are taken to prevent or mitigate thrombosis and ischemia, then no results or contrary results will happen.  This is especially problematic for attempted surgery which will fail due to thrombo-infarctive wound and soft tissue complications such as necrosis and dehiscence, i.e. wound pathergy.

 

Left upper:  multifocal ankle infarcts in a patient with protein C and anticardiolipin abnormalities.  Note the black eschar, absence of lytic ulceration and tissue dissolution, and absence of generalized edema and panniculitis beyond the immediate zone of the skin infarcts.   Left center:  distal leg ulcers in a patient with good ankle pulses and anti-thrombin-3 deficiency.  Note dry black skin infarcts and eschar, vascular stasis and cyanosis, absence of edema, in fact with wrinkles due to desiccation, all consistent with severe micro-occlusive ischemia.  Left lower:  wound infarcts with acute black eschar, in a forearm wound, in a patient with rheumatoid and proteins C & S abnormalities.  Right:  ulceration of the ankle after biopsy of a small lesion, in a patient with protein C deficiency and positive cryoglobulins.  Note absence of generalized edema and inflammation, a caput medusa or venous “spider” consistent with prior thrombosis and valvular reflux, and the histologic findings of thrombosis and vascular necrosis.

 

 

14

Once a diagnosis of a hypercoagulable ulcer or hypercoagulable state is suspected, the diagnosis can be refined or confirmed by laboratory evaluation.  There is a caveat here though.  We only have clinical lab tests for perhaps a dozen or two chemical species involved in this problem, whereas the problem can involve many dozens or hundreds of items.  A positive diagnosis is not contingent on a positive laboratory test.  This is akin to the evaluation of connective tissue disorders.  Many such patients are sero-negative.  If a patient comes in with crippling wrist, hand, ankle, knee, and spine arthritis, characteristic deformities of ruptured wrist extensors, MP severe ulnar deviation, tibio-talar dislocation, painful effusions of the knee joints, severe morning stiffness, rheumatoid nodules, and characteristic erosive changes on x-ray, but their rheumatoid factor is negative, which are you going to believe?  That patient has rheumatoid arthritis.  The lab tests are not the answer.

 

The same is true for the hypercoagulopathies.  When they have it they have it.  When a laboratory test is positive, then your diagnosis and treatment are all the more certain, especially if the clinical syndromic features were not conclusive by themselves.  Knowing the specific faulty chemical can also help guide therapy depending on which class of chemical is involved (e.g. prethrombotic gene mutation versus antiphospholipid antibodies).  Sometimes the lab confirmation comes not by way of identifying the culprit, but indirectly by identifying chemical consequences, such as degradation products of the hyperthrombotic state or else compensatory changes in other chemicals reflecting up- or down-regulation in response to that state (e.g. D-dimer might be high, or the endogenous anticoagulants proteins C, S, and anti-thrombin-3 might be high).  What is crucial to appreciate is that hypercoagulable ulcers are NOT diagnoses of exclusion.  These diagnoses can be made on specific criteria.  When lab tests are positive, that always helps, but history and physical exam are more important than the lab.  Remember the essentially pathognomonic tetrad which is the core of diagnosis for many of these patients:  1 – thrombosis or embolism;  2 – miscarriage;  3 – wound pathergy and ulcers;  4 – auto-immune disorder;  (& 5 – personal or family history).

 

It is worthwhile to have standard laboratory panels to order for suspect situations.  These should include tests for thrombotic species and markers of closely allied or trigger diseases:  factor V Leiden, prothrombin 20210G, antithrombin III, protein C, protein S, APC resistance, fibrinogen, D-dimer or fibrin degradation products, plasminogen, homocysteine, lupus anticoagulant, anticardiolipin, cryoglobulins, cryofibrinogen, serum protein electrophoresis, a screen for connective tissue disorders (ANA and related, rheumatoid factor).  This list is not exhaustive and is a bit dated.  Consult you own clinical lab for the tests that are available to you.

 

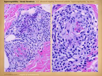
Other useful tests include measures of micro-vascular flow, including tcpO2, laser doppler, and multispectral surface imaging.  Vascular tests of large vessel flow, such as pvr, ppg, and doppler & duplex are apt to be normal, unless the patient coincidentally has atherosclerotic arterial disease, or not so coincidentally has lupus angiopathy of the acral extremities.  Histologic exam can be a gold mine of revelatory changes and positive diagnosis, including findings of:  microthrombi and aggregates, minimum acute inflammation, microvasculopathies, concentric laminations of media due to repetitive events, vascular fibrosis, vascular stenosis, venous recanalization, acute neutrophilic vasculitis or peri-vasculitis, and chronic peri-vasculitis with lymphocytes, eosinophils, and plasma cells.

 

Center:  chronic thrombosis, vascular occlusion, and re-organization, in a patient with rheumatoid and proteins C & S abnormalities (same patient as left-lower on preceding slide).  Right:  chronic failed wounds and multiple operations, and persistent skin ulcers following achilles tendon rupture, in a patient with high fibrinogen, high anticardiolipins, and blind in one eye due to retinal artery thrombosis.  The ankle is shown left with chronic skin dysplasia and ulceration before treatment, and right with healed restored skin after diagnosis-specific treatment, including warfarin anticoagulation.

 

 

15

When hypercoagulable patients present with chronic ulcers, some of their histories can be otherwise quite benign.  The wounds and their treatment can be slow, subtle, persistent, recurring, frustrating, refractory, but a patient’s general health and well-being are not in any immediate jeopardy – or are they?  Some such patients have histories of serious prior events, such as blindness due to retinal artery occlusion, strokes, limb loss from trauma, recurrent pulmonary “emboli”, and other macro-vascular events.  All hypercoagulable patients have these potential risks.  With the appropriate trigger or generalized inflammatory or hyper-thrombotic state, even the micro-vascular events can become extensive and life-threatening.  This slide shows three patients who died from these conditions.  Left upper:  this patient had heart surgery, and a week or two after starting warfarin, he developed multiple non-embolic skin and extremity infarcts.  Peripheral arteries were normal.  Lab studies confirmed low APC resistance and probable factor V abnormality.  The events were non-survivable.  Lower:  this patient had sigmoid resection for a diverticular colo-vesical fistula.  Bowel necrosis resulted in progressive enterectomy, and with each procedure, more of the abdominal wall died.  This view shows a necrotic ileostomy and abdominal fascia infarcts.  Lab studies confirmed APC deficiency.  Histology confirmed diffuse primary micro-thrombosis (i.e. not post-mortem changes, and absence of significant inflammation pins the thrombosis as the primary event).  The events were non-survivable.  Right upper:  This patient had refractory leg ulcers with active progressive infarcts during the period of observation.  Lab evaluation confirmed primary low proteins C & S.  She died from a stroke shortly after making the diagnosis and planning treatment.  These are non-trivial diagnoses, and their management must include comprehensive and long term planning including the role of anti-coagulation.

 

 

16

To brighten the mood, let us now look at some of the many successes that accrue to proper diagnosis and treatment.  Always keep in mind the key syndromic features of hypercoagulability:

 

            1 – thrombosis or embolism

            2– miscarriage

            3 – wound pathergy and ulcers

            4 – auto-immune or connective tissue disorder

            5 – personal or family history

 

Imagine you have seen a patient with a suspicious wound and a strong history.  You try to confirm your diagnosis with support from the lab.  Next you start the patient on anticoagulants, and then you implement your plan to close the wound, be it surgery, biologics, wound pharmaceuticals, or whatever.  Problem wounds of rapid progression or eons duration now heal.  This slide shows three such stories.  Left:  a 29 year old man with long duration refractory leg ulcers.  History and profile were suggestive, and the lab confirmed high anticardiolipins – an antiphospholipid antibody syndrome – and the patient healed just by starting warfarin.  Right upper:  a 43 year old woman, otherwise healthy, but with many years of refractory leg ulcers, and a history of multiple venous thrombosis and pulmonary embolism or thrombosis.  The lab confirmed low proteins C&S and low tcpO2’s around the wounds.  She healed with warfarin therapy and skin reconstruction with a regenerative matrix.  She re-ulcerated after she stopped taking warfarin, but then rehealed after resuming anticoagulation.  Right lower:  ulceration after skin biopsy in a patient with cryoglobulins and low protein C (the same patient as “right” on slide 19).  She healed with warfarin anticoagulation and skin restoration with a regenerative matrix.

 

 

 

Summary of hypercoagulopathy

The hypercoagulable disorders and ulcers are a major category of chronic wounds and wound pathology.  They are under appreciated, but overly important.  You will not recognize them until you start to ask the correct questions and incorporate them into your differential diagnosis.  Once a correct diagnosis is established, then good care and effective outcomes can follow.  The treatment of hypercoagulopathic disorders, wound pathergy, and micro-thrombotic wounds has not been discussed here, nor have a variety of other issues relevant to the their physiology, pathology, and clinical management, but much more information on this subject is at the Arimedica website (arimedica.com).

 

Reviews of essential subjects - Autoimmunopathy

The following slides review immune ulcers and classic immune disorders.  As with the hypercoagulopathies, this subject is not new, but it is still largely unknown or under-appreciated by most practitioners.  This section will not be a comprehensive discussion of the subject, and therapeutics will not be addressed.  The focus will be on issues of anatomical pathology, pathophysiology, and clinical findings, enough to appreciate sections to follow concerning the mechanisms of immunopathic ulceration.  To reiterate though, these are a major category of chronic and pathological CAP wounds, and one of extraordinary importance.  As will be developed in subsequent sections, these are the true diseases of wound healing.

 

 

 

17

Illustrated on this and the next slide are patients with wounds and ulcers in association with classic connective tissue and collagen vascular diseases.  All of these patients were sick to a greater or lesser degree.  Some have since lived and done well for years.  Some died after prolonged chronic disease activity.  Some died acutely from major flare-ups.  Some had a concomitant hypercoagulopathy.  None of them were trivial or easy to manage nor heal.  These are bad diseases, hard enough to manage under any circumstances, but harder yet when complicated by necrosis and ulcers.

 

All four of the patients on this slide are shown before and after treatment of the disease and then skin reconstruction.  Left upper:  lupus-rheumatoid-mixed (mctd) with ulceration due to synovitis and panniculitis.  Left lower:  rheumatoid arthritis, with prototypical rheumatoid ulceration due to synovitis.  Right upper:  another prototypical rheumatoid ulceration due to synovitis.  Right lower:  Sjögren’s with chronic panniculitis and leg ulcers.

 

 

18

Here are more examples of immunopathic patients and ulcers.  Left upper:  Sjögren’s with chronic panniculitis and leg ulcers.  Left middle:  (histology only) arteritis with skin ulcers and necrosis.  Left lower:  chronic lupus with multiple wound complications of trauma and surgery.  Center upper:  acute lupus with extensive skin necrosis.  Center lower:  Behçet’s with multiple vasculitis, pathergy, thrombosis, and necrosis  Right upper:  scleroderma-crest with lupus angiopathy and multiple skin infarcts and ulcers.  Right lower:  rheumatoid arthritis with a hypercoagulopathy and extensive necrosis following back surgery.

 

 

19

The auto-immunopathies are a spectrum of disease with protean manifestations.  They can affect almost any chemical, cell, tissue, organ, or system.  Their effects can be parochial and directed against very selective targets (e.g. Hashimoto’s thyroiditis), or they can be nearly global in expression (e.g. lupus).  There are various ways to categorize the auto-immune diseases, and this slide gives several non-exhaustive lists of them:  connective tissue disorders, e.g. rheumatoid, lupus, sjögren’s, scleroderma, polymyositis, ankylosing spondylitis, behçet’s, wegener’s, sarcoidosis, familial mediterranean fever;  vasculitides, e.g. polyarteritis nodosa, giant cell, thromboangiitis;  panniculitis, e.g. weber-christian, nodular & eosinophilic fasciitis, erythema nodosum, necrobiosis lipoidica;  inflammatory dermatoses, e.g. eczema, pyoderma gangrenosum, pemphigus, bullous pemphigoid;  miscellaneous, e.g. crohn’s, ulcerative colitis, autoimmune hepatitis, multiple sclerosis. 

 

Once you learn to recognize these diseases and take a thorough history, you will appreciate that many patients with any of the nominal primary diagnoses will have a variety of crossover symptoms.  Many patients likewise cannot be readily categorized into any one of the classic named diseases, yet they have strong features of several of them.  In a certain sense, it is as though auto-immunopathy is a single disease in which, based on which auto-immunizations and auto-antibodies you get dealt, that governs the spectrum of signs, symptoms, and complications that you are apt to have.  To account for these crossover and mix-and-match profiles, patients can be assigned bread basket diagnoses:  mctd (mixed connective tissue disorder), uctd (undifferentiated connective tissue disorder), nctd (non-specific connective tissue disorder).

 

How many of these patients and diseases have wound problems?  Remember, as a wound practitioner, you will see patients primarily because of their wounds, and you WILL see all of these primary diagnoses come through your door.  Conclusions anyone? 

 

Images, from left to right:  achilles (Wegener’s granulomatosis);  leg (leukocytoclastic arteritis);  abdomen (Weber-Christian);  leg (Crohn’s);  finger (pyoderma gangrenosum).

 

 

20

To reiterate, as a wound practitioner, you will see patients primarily because of their wounds.  When you suspect an immunopathic ulcer or patient, your history and exam will be directed towards these diseases.  Do this enough times, and it becomes second nature, but until then, you need a way to think about the multitude and multiplicity of signs, symptoms, and sequelae that appertain.  Following are a few categorizations.  General and common findings:  e.g. malaise, arthralgias and arthropathies, rashes, sicca, ulcers, neurological, abnormal serologies.  Findings by system:  e.g. musculoskeletal, renal, pulmonary, cardiac & vascular, blood & lymphoreticular, cns & eye.  Distinctive and unique findings:  e.g. crst, sicca, pathergy, necrotizing synovitis, necrotizing vasculitis.  Findings by disease:  e.g. rheumatoid, lupus, scleroderma, Sjögren’s, polymyositis.  Disease associations:  e.g. hypercoagulability, venous, arterial disease, neuro-psych, many misdiagnoses.  Other tip-offs:  common and unusual things, e.g. multiple allergies, drug hypersensitivity, photosensitivity, malar rash, tendon rupture, nasal septal perforation.

 

Left upper:  rheumatoid arthritis, with acute panniculitis and multifocal ulceration.  Note the inflammatory-lytic pattern of ulceration, skin dissolution without infarcted eschar.  Left middle:  rheumatoid, with multifocal inflammatory-lytic ulcers.  Left lower:  lupus or mixed ctd, with atrophie blanche, dermal scarring from repetitive episodes of connective inflammation.  Right upper:  lupus, with suppurative synovitis.  Right middle:  scleroderma-crst, with typical features of fingertip ulcers and necrosis, telangiectasias and sclerodactyly.  Right lower:  lupus, with allergic reaction to common dressing materials.

 

 

21

When it comes to examining the skin lesions and wounds due to these disorders, keep in mind that appearances and features will change as the injuries and ulcers evolve.  First, you will see a variety of features that occur during the early pre-ulcerative phases of these lesions, when inflammation and infarction are starting, the preludes to ulceration.  Second, you will see features characteristic of acute and early ulceration, as the acute infarctive and inflammatory lesions progress to skin destruction.  Third, you will see features of chronic and late ulceration, as the primary events wind down (or not), and the ulcers develop gross, histologic, biochemical, and behavioral features of wound chronicity.  This slide shows the pre-ulcerative changes and features.

 

Inflammatory signs:  Remember, ulceration is caused by thrombosis-infarction and inflammation-lysis, so what you will see in advance of actual necrosis and ulceration are the telltale signs of these states.  Because these diseases are immune and inflammatory in nature, signs of inflammation are usually obvious, either as dermatitis, panniculitis, cicatritis, inflammatory infiltrates in the skin, edema, the classic and extended signs of local inflammation, and systemic inflammatory signs and symptoms.  Vascular stasis signs:  Immunopathic inflammation is more apt to cause primary inflammatory signs, but as will be discussed in detail in subsequent sections, inflammation triggers thrombosis, the auto-immune disorders frequently accompany hypercoagulable states, and vessels and vasculitis are specific targets of auto-immunopathy.  This means that thrombosis, vascular infarction, and stasis are integral parts of the whole picture.  You are apt to signs of thrombosis and blood stasis, including congestion and plethora, hemorrhage and skin staining (focal ecchymosis), cyanotic erythema of these lesions (phlegmasia, as opposed to the scarlet erythema of inflammation), skin infarcts within these zones, ischemic pain in the lesions.  Systemic signs and symptoms:  These are indicative of the primary disease flaring up, and are due to a generalized inflammatory state.  These include non-specific general symptoms such as malaise, pain, and other “flu-like” complaints, along with more focal or tissue specific items such as arthralgias and stiffness, myalgias, neurolepsy, and the worsening of other disease- or person-specific symptoms.  Distribution of the pre-ulcerative lesions and other features that would figure in the assessment of any dermatosis are also important, such as whether they are single or multiple, focal or multifocal, blistered-vesicular, macular, papular, suppurative, eczematous, acneform, desquamative, sclerosing, etc.

 

Left upper:  Sweet’s neutrophilic dermatitis with acute immunopathic neutrophilic abscesses affecting areas of old scar and prior ulceration.  These little abscesses are the prelude to further focal skin destruction and ulceration.  Left lower:  leukocytoclastic vasculitis (2 different patients) in acute phases of thrombosis, vascular stasis, and acute inflammation, i.e. the beginnings of infarction and lysis with the risk of ulceration within days.  Right upper:  lupus-crst, with sclerodactyly, telangiectasias, Raynaud’s and angiopathy, prior amputations, contractures, and eczema.  This hand obviously has high risk based on the primary disease, but the eczema is an acute inflammatory condition which will trigger the cascade to greater inflammation and ulceration.  Right lower - right:  Sjögren’s, with acute panniculitis affecting the adipose fascias, a common early phase indicator of disease flare up and potential progression to ulceration.  Right lower - left:  In this ankle close-up of a similar patient, note the ring of desquamation, a common indicator of recent acute skin inflammation, now subsided with treatment, potential ulceration averted.

 

 

22

This slide shows the features of acute and early ulcers.  Since this is the phase of active ulceration, you are witnessing the destruction as it happens, as the disease causes thrombosis-infarction or immunity-inflammation-lysis.  You are catching the culprit in the act, so you are likely to see signs specific to the particular disease, along with the generic signs of active inflammation and thrombosis, and of active infarction, tissue lysis, and ulceration.

 

Local findings:  These are the features of the necrosis and active ulceration, in the wounds themselves and in their immediate surroundings.  They may be focal or multifocal.  Multiple or multifocal inflammatory-lytic ulceration is usually a dependable sign of an autoimmune origin.  There may be inflammatory lysis and dissolution of tissue versus microthrombotic infarction, which can give insights as to which diagnosis or mechanism of disease predominates.  Whether the periwound is inflamed versus bland also tends to discriminate thrombo-occlusive lesions from immune-inflammatory ones.  Signs of vasculitis, synovitis, panniculitis, dermatitis, cicatritis, and even arthritis and serositis can reveal the autoimmune nature of the problem and imply which specific disease or syndrome is active.  General and systemic findings:  generalized inflammation, edema, dermatitis, panniculitis, vascular stasis, systemic and disease-specific symptoms, pain, malaise.  Remember, during these acute phases of ulceration the primary disease is active, so patients will often have a multitude of symptoms.

 

In the cases shown of early and developing wounds, note the changes in the ulcers and surrounding tissues.  They predominantly show an inflammatory-lytic pattern of ulceration as opposed to thrombo-infarctive necrosis.  Top left:  crst-mctd, dissolution of wound margins, vascular stasis and cyanosis, acute dermatitis.  Top right:  rheumatoid, multifocal ulceration, periwound inflammation, dissolution of skin without dry eschar, panniculopathy.  Bottom left:  rheumatoid, progressive dissolution of skin and fascias, no eschar, involvement of old scar, ulceration along tendon sheath and exposure of peroneus tendon.  Bottom center:  rheumatoid, multifocal ulceration, multifocal stasis and cyanosis in advance of infarcts and ulcers, generalized panniculitis and edema, active necrosis and erosion at skin margins, no eschar.  Bottom right:  Sjögren’s, loss of adipose panniculus, active necrosis and ulceration at margins, exposure of peroneus muscle (synovitis).  This last example has black necrosis and little inflammation in the periwound (no erythema nor edema), making this mainly a thrombo-infarctive pattern of ulceration, implying some type of micro-occlusive pathology.  The patient had classic Sjögren’s, but she also had a very high fibrinogen and low protein C, a good hypercoagulable explanation for the thrombo-infarctive pattern of the wound.  This is the same patient in the same position (lower right) on the previous slide.  That was her opposite leg, with acute diffuse erythema-nodosum-like panniculitis, along with generalized signs and symptoms of active inflammation, immunity, and disease flare up.  As will be shown later, this duality of pathologies – inflammatory and thrombotic – is common, and many patients will have mixed findings and features in their wounds, both inflammation-lysis and thrombosis-infarction.

 

 

23

This slide shows the features of chronic and late ulceration.  In chronic ulcers, the original cause of the disease has subsided, and what is left is just the anatomical defect.  To the extent that the disease is still active, there may be ongoing slow progression of the wound or persistence of related findings and general symptoms.  To the extent that the disease is affecting wound repair, or that the ulcer has entered a physiological and pathological state of chronicity, then healing may be retarded or absent.  When looking at the wounds during these latter chronic phases, what you will mainly see is just a generic chronic wound.  Specific common features to observe include the following.  Persistent inflammation:  If primary disease is quiet, then inflammation may subside, but most such wounds are in a state of chronic inflammation until treatment brings it under control.  Some of it is likely to be a persistent acute inflammation due to lack of care.  However, acute inflammation is a good stimulus to maintain the pathological chronic inflammation of the disease, and these wounds rarely break out of their pathological attractor until both the wound and the general disease are explicitly treated.  Progressive ulceration:  As chronic wounds, most of these ulcers persist as is, often indefinitely.  However, after prolonged periods of stability they can also get better or get worse.  Many patients describe prior ulcers which healed spontaneously, typically taking months (and getting current ulcers healed with treatment is obviously the goal of all of this).  To the extent that primary disease or chronic inflammation in the wound is sustained, there may be slow progressive necrosis or ulceration.    Sudden rapid progressive ulceration and enlargement is a good indicator of resurgence of the primary disease.  Retarded wound module, mixed wound module, and chaotic behavior:  The immunopathic disorders have a duality of wound effects.  Their afferent effect on the wound is to make the ulcer.  Their efferent effect is to keep it from healing.  There are very few types of pathology that can arrest the wound module, and active auto-immunopathy is one of them.  For most patients, wound healing is mixed, both in space over the surface of the wound, and in time from one observation to another.  There may be qualitatively normal proliferation in some areas.  There may be areas of appropriate suppression of wound healing by acute inflammation.  There can be zones where the wound module is very weak or inactive due to the primary effects of the auto-immunopathy, the effects of persistent allied disease states such as hypercoagulability, and the effects of wound chronicity.  There can be intermittent areas of new ulceration due to persistent chronic disease activity.  Even when the wounds look qualitatively normal at first glance, it is rare that such wounds have quantitatively normal wound healing kinetics.  One of the hallmark features of wound chronicity is chaotic behavior (as explained in subsequent Parts 1 and 3) in which the wound may wax and wane but never makes any real progress.  Pain & symptoms:  There are only a handful of generic causes of pain (mechanical, neuropathic, ischemia, cancer, etc.), and inflammation is one of them.  Because these ulcers represent an inflammatory pathology, pain is a common feature.  For those who have a concomitant thrombotic or micro-occlusive disorder, the pains are even worse.  Other symptoms of the primary disease, and secondary symptoms or disabilities related to what area is ulcerated are also part of the picture of the chronic stages of auto-immune ulceration.

 

In these cases, all wounds are chronic, of long duration, and getting some basic topical wound care and treatment for their disease.  Left top:  lupus with anticardiolipin hypercoagulability, zones of granulation tissue, zones without, small active infarcts at wound edges, persistent inflammation.  Left bottom:  rheumatoid, active wound module of deeper musculoskeletal structures, but no wound healing in subcutaneous panniculus, active persistent erosions at wound margins, but periwound inflammation is controlled.  Left inner top:  rheumatoid with coincidental atherosclerosis, stable areas mixed with erosive areas, wound healing in musculoskeletal structures but none in the adipose.  Left inner bottom:  lupus-rheumatoid-mctd, stable wounds, no periwound inflammation, healing of musculoskeletal structures but not of adipose.  Center lower:   polyarteritis, failed wound module, recurrent acute necrosis.  Right inner:  lupus with anticardiolipins, failed epithelialization, stalled edges, limited contraction, weak angiogenesis/granulation.  Right top:  rheumatoid and hypercoagulable, wound module present at musculoskeletal base but not in subcutaneous fascias, no contraction nor epithelialization, small surface infarcts even absent periwound inflammation.  Right bottom:  rheumatoid, persistent unchanged wound over a few weeks of observation and care, weak expression of wound module elements, failed epithelialization and stalled edges.

 

 

24

Whether looking at the prodrome, acute, or chronic phases, many of the wound features are generic findings of any inflammation, thrombosis, or ulceration.  However, immunopathic ulcers can have some very distinctive features unlike wounds from other primary diagnoses.  Many of these reflect specific effects of the given primary disease, such as necrotizing synovitis from rheumatoid and lupus, and skin sclerosis and calcification from scleroderma.  These features include:  ulceration along tendons, due to synovitis;  inflammation, lysis, ulceration of old scars;  ulceration over small joints, due to synovitis;  inflammation, lysis, necrosis along recent incisions;  ulceration of the upper leg outside of the gaiter area, and ulceration in a variety of other areas;  skin atrophy in affected areas, due to persistent inflammation and proteolysis;  skin sclerosis in affected areas due to scarring after inflammation;  vascular changes in skin and extremity;  wound pathergy, necrosis, and ulceration after injury and surgery;  calcification and ossification in the ulcers or surrounding panniculus.

 

Left upper:  rheumatoid, ulceration over and into small joints.  Left center:  rheumatoid, ulceration along old scar.  Left lower:  scleroderma, livedo reticularis, ulceration along tendons (this ulcer is not under the metatarsal heads).  Left inner:  rheumatoid, ulceration along old scar and tendon.  Right inner upper:  rheumatoid, ulceration in unusual area along tendons (thigh, hamstrings).  Right inner lower:  lupus-mctd, atrophie blanche dermal scarring.  Right upper:  rheumatoid, wound failure of unlikely location (abdomen).  Right lower:  rheumatoid and hypercoagulable, wound failure of unlikely location (forearm), ulceration along muscle and tendon, necrosis around staples. 

 

 

25

In examining and diagnosing immunopathic ulcers, or indeed ulcers of any cause, it is crucial to observe what is not there.  Consider for instance the significance of pulses as an indicator of macro-arterial disease.  Absence of pulses implies arterial insufficiency.  An associated wound could be due to arterial disease, or else an ulcer of unrelated cause (e.g. rheumatoid or trauma) might heal slowly, and further evaluation is needed.  However, if good pulses are present, then macro-arterial disease is ruled out.  If a suspect rheumatoid or lupus wound has good pulses, then arterial disease is NOT there.  What else is not there in immunopathic ulceration?  No arterial:  no signs of vascular disease, no claudication, no change in pulses or pressures or dopplers.  No venous:  no signs of venous disease, no dermato-liposclerosis, no hemosiderin pigment changes, no venous varicosities nor reflux, no chronic edema nor phlegmasia.  No eschar:  immunopathic ulceration is more apt to be inflammatory-lytic in nature, not thrombo-infarctive, so dry eschar is not apt to appear.  No wound module:  as will be explained in later slides, the immunopathic disorders are the diseases of wound healing, and therefore the proliferative wound module which does the healing is apt to be flawed or even absent.  Seeing wounds in which underlying anatomical structures remain pristine visible for months, devoid of angiogenesis and fibroplasia, is not an everyday occurrence, but nor is it rare, usually occurring in severe metabolic wrecks or with the auto-immune disorders.  Age & risks:  various ages and diseases are apt to cause certain types of wounds.  For example, greater age has greater implications for arterial disease, and diabetes and neuropathy cause very characteristic syndromic wounds such as malperforans ulcers.  It is important to observe that a patient or wound does not have those pathognomonic features of other disorders, nor that there is a discrepancy between actual findings and demographic expectations, all of which tend to rule out competing diagnoses.

 

There are of course, in examining individual patients and wounds, many exceptions to these generalities.  The net of all observations is what is most important, not just any single parameter.  In these cases, observe what is absent:  Left upper:  rheumatoid, no edema, no pigment changes, no liposclerosis, no chronic dermatitis.  Left middle:  rheumatoid, no edema, no pigment changes, no liposclerosis, no chronic dermatitis.  Left lower:  rheumatoid, no edema, no pigment changes, no liposclerosis, no chronic dermatitis, no subcutaneous fascias (exposed muscle and tendon indicative of tenosynovitis).  Center:  rheumatoid, no edema, no pigment changes, no liposclerosis, no chronic dermatitis, no subcutaneous fascias (exposed ligaments and tendons consistent with synovitis).  Right upper:  severe acute lupus, no peri-wound inflammation, no edema, no wound module (i.e. no healing).  Right middle:  ulcerative colitis and pyoderma, no generalized panniculitis or dermatitis, no involvement near ankle, no pigment changes.  Right lower:  Sjögren’s, no pigment changes, no generalized dermatitis, no generalized liposclerosis, no signs of arterial disease, no venous varicosities.

 

 

26

In examining and diagnosing any ulcer or patient, it is crucial to assess the entire person, their history, review of systems, and general exam.  Oftentimes the diagnosis will flow directly from the history or spectrum of symptoms.  It is important for wound practitioners to become versed in the signs and symptoms of all of the relevant primary diseases that underlie chronic and pathological ulcers, be it arterial , diabetes, hematological disorders, rheumatological diseases, and everything else.  The more you ask about these relevant histories, the more you run an inventory of signs and symptoms, then the more automatic it becomes.

 

Patient intake must include history and examination for all facets of these diseases, but the following are key components or interesting issues that will be frequent findings in a wound practice and are often key features that establish the diagnosis on first encounter.  History & system review:  disease history, family history, treatment history, complications of trauma or surgery.  General physical exam:  common signs of immunopathy, signs of a general inflammatory state, arthropathies, sicca, neurolepsy & other neurological changes, rashes, malaise & systemic symptoms.  Disease associations:  vasculopathies, hypercoagulopathy and hematological, neurological, renal, pulmonary, miscarriage, venous disease, dermatoses, inflammatory bowel disease and other organ-specific auto-immunopathies.  Laboratory:  serologies, hypercoagulation studies, vascular assessments, wound histology.

 

New patients with these diseases often have some extremely common or else distinctive profiles on initial wound exams.  The following few examples immediately give away the auto-immunopathic cause of the ulcer, whether or not they had a prior diagnosis.  These profiles are important to recognize and hard to overlook, unless the history is sloppy, inexpert, or just ignored.  Notice that these profiles are based on general history and exam alone, not on anything about the ulcers themselves.  [1] – One very common profile is the patient with rheumatoid or whatever who has had a recent adjustment in his drugs.  This is often someone doing extremely well, enough that his chronic daily prednisone dose was lowered, typically from 10 mg to 7 mg, or from 7 mg to 5 mg.  Arthralgias, stiffness, and malaise flare up, with leg panniculitis or synovitis causing skin ulceration.  [2] – Another common profile is the patient who comes with a typical leg ulcer.  His hands have advanced rheumatoid degeneration.  He has complaints of symmetrical polyarthralgias and morning stiffness.  Are you smarter than a fifth grader?  How could anyone have missed this?  However, the patient has been explicitly told that he does not have rheumatoid, and he has been denied treatment because his rheumatoid factor and other serologies were negative.  [3] – Another profile, not so common but of immediate importance, is the patient who comes in for a leg ulcer or whatever wound.  Examination is hampered by a state of neurolepsy, being apathetic, disoriented or disengaged, psychomotor retarded, and just not “being there” or “out of it”.  The patient might also have some history of “seizures” or “MS” or other central neuropathy refractory to treatment.  He is plethoric, has malar rashes, and signs of arthritis, synovitis, panniculitis, or sicca.  This patient has lupus (or Sjögren’s or rheumatoid or Behçet’s or mixed-ctd or whatever), and he needs steroids and other treatment right now. 

 

It is most important to realize that the wound practitioner is frequently going to be the first to make the diagnosis of the underlying problem, or to correct a misdiagnosis that the patient has been given.  If a rheumatoid patient goes to an orthopedic surgeon’s office for an arthritis problem, odds are the patient already has an established diagnosis, and if not, the orthopedist is likely to recognize it.  If a patient with lupus nephritis is referred to a nephrologist for renal failure, odds are the diagnosis is already known, or else the nephrologist will make it.  For wounds, patients are referred to somebody because there is a hole in the skin that is freaking somebody out.  Patients rarely come with any insight as to the diagnosis.  Even if they have well established diagnoses of rheumatoid, polymyositis, or whatever, their other doctors have rarely drawn the connection to the wound.  Sadly, when these patients show up to many self-designated “wound specialists” who really are not, the ulcers and the overt history of rheumatoid are never connected.  However, there are also many patients with wounds due to autoimmune and connective tissue disorders where the primary diagnosis has never been made.  Sometimes the patients have subtle signs and symptoms of the disease.  Sometimes they have gotten so used to chronic symptoms of malaise and arthralgias that they hardly recognize that they are systemically ill.  Sometimes new patients are seriously sick with underlying disease out of control.  The patients may know that they feel lousy, but they often have no other clue that there is a systemic problem, even in the face of serious symptoms.  To get the wounds better, the disease has to be diagnosed and treated, and that means you!

 

Left upper:  lupus-mctd, symptoms of neurolepsy, arthralgias, stiffness, sicca, malaise.  Left lower:  rheumatoid, typical hand changes, typical histologic changes of chronic vasculitis.  Right upper & lower:  two patients with rheumatoid and hypercoagulable states, both with necrosis of the wound following back surgery, demonstrating the types of serious trauma and surgery complications that can happen with these diseases.

 

 

27

Finally, the intake history for people with immunopathic wounds must include a treatment history.  Even if the patient is not understanding of their own history and disease, their medication list may betray that they are already being treated for connective tissue disorders.  Treatment history may reveal that disease flared up and ulcers appeared when certain therapies were started, stopped, or adjusted.  Failed and favorable responses to prior therapies are valuable in confirming diagnosis and planning further treatment.  The responses to treatment may be considered as follows.  Correct responses:  steroids, anti-immune, or anti-inflammatory drugs were given to treat disease;  the patient or wound had a positive response to such drugs.  No responses:  failed or ineffective therapies for the wound or disease;  multiple failed therapies with different agents or at different times;  wound surgery failures such as skin grafts which did not take.  Adverse responses:  disease or wound flare-ups due to treatment, such as lowering steroid doses;  wound pathergy and wound complications of surgery;  atopic dermatitis or atopic vasculitis or other allergic responses to treatments (common in many auto-immune patients who have multiple drug allergies).  Contrary responses:  inflammation, wound infarction, and progressive ulceration from treatments meant to improve the wound.  Contrary wound responses can occur with cytokines (e.g. pdgf, anti-tnf-α), living cell therapies (engineered living skin equivalents), and immune competent chemicals (e.g. monoclonal antibodies).

 

Left upper:  rheumatoid, 52 failed skin grafts (yes, he counted them).  Left lower:  lupus-mctd, resurgent ulceration after pdgf therapy.  Left inner:  rheumatoid, healing induced after systemic steroids and anti-rheumatoid drugs (plus typical topical wound care).  Right upper:  rheumatoid and hypercoagulable, inflammation arrested by steroids and warfarin, but wound healing not induced.  Right lower:  Crohn’s disease of skin, existing ulcers healed after intralesional steroids, and new lesions prevented from ulcerating by prompt steroid injection.

 

 

 

Summary of autoimmunopathy and the connective tissue disorders

The “rheumatoid” and immunopathic ulcers, due to the classic connective tissue or rheumatological diseases, are a major category of chronic wounds and wound pathology, under appreciated, but overly important.  They are common, generally easy to recognize and diagnose, but only if you are aware of them and conduct the proper patient interview.  The wound practitioner will often be the first one to make the diagnosis of a systemic connective tissue disorder.  Successful treatment of the ulcers is contingent on proper diagnosis and treatment of the primary disease.

 

 

 

28

Auto-immunopathy and related wounds come in a variety of flavors, and practitioners from different specialties will have a different taste of the problem.  Rheumatologists will see the auto-immunopathies from the point of view of the collagen-vascular and connective tissue disorders.  This is a diverse point of view, but there are other auto-immune diseases that may not be so likely to show up in a rheumatologist’s office, such as inflammatory bowel disease, auto-immune thyroiditis, pemphigus, and multiple sclerosis.  There are generalities and commonalities of these diverse conditions, and they all make problem wounds, and they all show up in a wound practice.  We will start by looking at the immune mediated dermatoses and panniculopathies, a large category of illness most likely to be seen by a dermatologist . . . and in a wound practice. 

 

Dermatoses are common and are the face value stuff of dermatology and dermatology textbooks.  Many skin problems will show up in a wound practice, and having some familiarity with dermatology is important.  There are a few generic categories of dermatological disease that you will see commonly, such as the eczemas, pemphigoid, atopic, and other inflammatory dermatoses.

 

Panniculitis and the panniculopathies are crucial to  understand.  The “panniculus” refers to the subcutaneous adipose fascias.  There are two subcutaneous layers, Camper’s and Scarpa’s fascias, plus areas or layers of areolar adipose scattered throughout the body.  These fascias are just another connective tissue, a generic stroma of fibroblasts and angiocytes playing host to adipocytes.

 

The adipose panniculus is the prime target of a lot of autoimmune attack.  Many of the leg ulcers you see start as inflammation in the panniculus, and ulceration occurs as the overlying skin dies due to thrombosis of its supply vessels underneath, or due to lysis from contiguous inflammation.  While auto-immunopathy can result in primary dermatitis, primary synovitis, primary fasciitis and ligamentitis, and just about primary anything else, it is important to realize the crucial role that the adipose fascias have in being the prime target and wellspring of many of the skin ulcers that occur with immune and inflammatory diseases.

 

As for so many of the dermatoses and related conditions, there is a gargantuan nomenclature of the inflammatory dermatoses and likewise for the panniculopathies.  If you read a dermatology textbook on the subject, the list of names and diagnoses will take many columns.  However, it is easy to see that many are duplicates, or “blind-men-and-the-elephant” differing perspectives on the same thing, or descriptive names based on physical features rather than pathology (cf. “atrophie blanche” for dermal scarring), or old names from bygone eras when the relevant physiology and pathology were not understood.  Some of the more common or relevant disorders will be listed on slide 30.  Regardless of all of the descriptive names and legacy nomenclature, we are talking about a central pathology in which immune, allergic, and inflammatory events are turned on against the host, specifically the skin and the adipose and areolar fascias.  These disorders also have a duality of adverse effects, first causing damage and then impairing the ability of the body to repair that damage.

 

Top left:  long standing severe rheumatoid with chronic leg ulcers.  Many rheumatoid ulcers occur over tendon sheaths, a manifestation of primary synovitis, but a more diffuse primary panniculitis with secondary dermatitis and ulceration is also common.  (See also the photos slide 20 left upper, and slide 22 bottom center.)  Top right:  a similar patient with long standing rheumatoid disease with primary panniculitis and diffuse leg ulceration.  Although the patient had all of the symptoms and criteria for the diagnosis of rheumatoid, her arthritis, arthralgias, and joint damage were relatively mild.  However, the panniculopathy was severe, illustrating how the “skin” and wound manifestations of the disease are sometimes the most rampant manifestation of disease, sometimes even the only active aspect of disease.  Bottom left:  simple postural stasis leading to secondary panniculitis and an eczematous dermatitis,  Bottom center:  pyoderma gangrenosum in a patient with subtle lupus-like symptoms.  Bottom right:  necrotizing panniculitis of the thighs in a patient with undifferentiated or mixed connective tissue disease.

 

The subject of postural stasis needs some comment, since this is one of the most common and commonly misunderstood and misdiagnosed entities that a wound practice has to deal with.  This occurs due to the accumulation of dependent edema.  It is common in people who sit and do nothing all day with their legs down (typically obese sedentary older people), in people with heart or lung disease who must sit up at all times and sleep that way, and in the dependent part of the obese overhanging panniculus of abdomen and thigh.  Edema and fluid stasis leads to leukocyte stasis which then triggers acute inflammation.  Panniculitis is the primary event, with secondary eczema of the skin.  These people simply need good compression or other edema control, very short term anti-inflammatory therapy, and non-specific wound and skin care.  This care is extraordinarily simple in principle, and 100% effective, but can be exasperatingly hard to implement or maintain in many of these people.  These are the patients who are often mislabeled as “cellulitis” (an essentially meaningless term to begin with) and treated with antibiotics and other irrelevant things while never getting any of the correct care, turning a simple benign easy-to-fix problem into chaos and complications.

 

 

29

Here are examples of inflammatory dermatoses and panniculopathies causing skin ulcers.  Expect to see any and all of this in a wound practice.

 

Left upper:  pyoderma gangrenosum in an otherwise healthy young woman (primary inflammation at dermal-hypodermal boundary).  Left middle:  pyoderma gangrenosum in a patient with ulcerative colitis (primary inflammation at dermal-hypodermal boundary).  Left lower:  Crohn’s disease, primary lesion in the skin (primary inflammation at dermal-hypodermal boundary).  Center upper:  necrobiosis lipoidica in an otherwise healthy woman (primary inflammation in the subcutaneous panniculus).  Center lower:  postural stasis (primary inflammation in the panniculus with secondary dermatitis).  Right upper:  simple eczema and atopic dermatitis (primary dermatitis).  Right lower:  bullous pemphigoid or eosinophilic dermatitis (primary dermatitis).

 

 

30

Dermatology is a vast subject, and only a small part of it involves wound related issues.  Likewise, wounds are a vast subject, and not all wounds involve the skin, and only a portion are due to primary dermatoses and panniculopathies.  Yet dermatology and wound practice have a very important area of intersection.  These are the ulcerative dermatoses and panniculopathies, and they are almost exclusively of immune-allergic-inflammatory origin.

 

There are many ways to mix, match, and rearrange them in a table of nomenclatures,  A few major categorizations are given below.  What is common to all is that they represent a state of auto-sensitization or auto-immunization.  They affect all ages.  They have a spectrum of extent and severity.  They may or may not be associated with some other major syndromic disorder (e.g. lupus or inflammatory bowel disease).  They are all responsive to anti-inflammatory, anti-allergic, or anti-immune therapies, and their steroid responsiveness is the cornerstone of acute and chronic treatment.

 

This list is far from complete – it is just a sampling of common diagnoses that will be seen regularly in a wound practice, all within the realm of the ulcerative and inflammatory dermatoses and panniculopathies.  Dermatoses:  eczema, pyoderma, pemphigus, pemphigoid, Sweet’s (neutrophilic dermatosis).  Panniculopathies:  Weber-Christian (and other lobular panniculopathies), erythema nodosum (and other septal panniculopathies), lipomembraneous panniculitis, necrobiosis lipoidica, nodular fasciitis, eosinophilic fasciitis.  Collagen-vascular and connective tissue disorders:  lupus-rheumatoid-Sjögren’s, poly-dermatomyositis, scleroderma-crst, Behçet’s, inflammatory bowel disease.  Vasculitis:  leukocytoclastic, polyarteritis nodosa, venous vasculitis.  Miscellaneous:  uncategorized, drug eruptions, contact eruptions, intertriginous dermatitis.

 

 

31

The rheumatologists see one aspect of autoimmune disorders.  Dermatologists see another.  In fact, doctors from almost any specialty are going to see their own facet of autoimmune and inflammatory diseases.  The following is a list of confirmed or putative auto-immune disorders.  If you were a primary physician making referrals, they would go to many different specialties, e.g. rheumatology, dermatology, allergy & immunology, hematology, gastroenterology, neurology, nephrology, endocrinology, cardiology, pulmonary.  As a wound practitioner, you are in the one specialty that will see them all.

 

Here is a sampling of these disorders, the list constrained by what would fit on the slide, in no particular order:  classic connective tissue disorders, synovitis & arthropathies, dermatoses & panniculopathies,

inflammatory bowel disease, bowel associated dermatosis-arthritis syndrome (badas), autoimmune hepatitis & cholangitis, autoimmune thyroiditis, autoimmune aspects of diabetes, rheumatic carditis and rheumatic fever, autoimmune neuropathies, autoimmune myopathies, myasthenia gravis, multiple sclerosis, sarcoidosis, granulomatous disorders, autoimmune arteritides, venous vasculitis, autoimmune sialoadenitis, autoimmune nephritis, polyserositis, mixed connective tissue disorders (mctd-nctd-uctd).

 

Keep in mind that many of these patients and disorders will have a mix-and-match set of signs and symptoms, and these crossover profiles have necessitated the use of generic terms like mixed and undifferentiated connective tissue disorder.  The more thorough you are in taking a history and inventory of symptoms, the more you will find.  In a sense, it is as though auto-immunopathy is just as single generic disease, presenting different profiles, symptoms, and sequelae based on which specific antibodies appear and which specific cells or tissues get targeted.

 

 

32

To summarize these two short reviews, remember the following.  The hypercoagulable disorders and ulcers are a major category of chronic wounds and wound pathology, under appreciated, but overly important.  The “rheumatoid” & immunopathic diseases and ulcers are also a major category of chronic wounds and wound pathology, likewise under appreciated but overly important.

 

The autoimmune disorders are a broad class of disease that will be seen, in one form or another, by physicians from almost all specialties.  They are manifest in a variety of common and distinctive syndromic patterns, and they are thus classified by an accepted nosological nomenclature (e.g. major names like lupus or rheumatoid or eczema).  However, these nomenclatures are artifice and an alias for the real pathologies that underlie a state of auto-sensitization or auto-immunization.  They all tend to have a variety of crossover features or symptoms, and in a sense they are conceptually all a single disease, all a form of MCTD - UCTD.  All carry some risk of wound problems, and all such diagnoses will be seen in a busy wound practice.

 

 

 

The connections between autoimmunopathy and connective tissue disorders

The upcoming sections will make the connections between autoimmunopathy, connective tissue disorders, and wound healing.  When we think about the “connective tissue diseases”, it is all about the autoimmune disorders that are typically within the purview of the specialty of rheumatology (along with the many autoimmune disorders seen by other specialists).  Why are these diseases called “collagen-vascular” and “connective tissue” disorders?  Why are they related or due to autoimmune states?  Why are they not related to some other general class of pathology?  Why are there no common diseases of the fascias, connective tissues, and general stroma related to metabolic alterations or genetic deficiencies?  To explain the autoimmune origins of the connective tissue disorders, we will look first at the effects of autoimmunity directed against the stromal connective tissues, i.e. the tissue pathologies that result from autoimmune sensitization against “collagen” and “vascular”.  After that, we will look at why autoimmunopathy arises and is directed against the connective tissues.

 

 

 

33

Why are these called “collagen-vascular diseases” and “connective tissue disorders”?  First, let us clarify some basic terminology about the soft and connective tissues.  The connective tissues are the general stroma or support structure of the body.  They are all basically a structural matrix of protein fibers.  The predominant chemical is collagen, and this matrix is the basic fabric of all connective tissues.  The matrix has to be made by some sort of cell, and that is the fibroblast.  However, nothing lives without substrate supply, and this depends on a vascular distribution system – blood vessels – created by angiocytes.  These are the two constituent cells of the general connective stroma of the body – fibroblasts and angiocytes – period.  These structures can play host to other cells, such as adipocytes, but the fibrous stroma of the body depends on just fibroblasts and angiocytes.  The term “histioblast” will also be used here to denote tissue forming progenitor cells that spawn the fibroblasts.  Recall that all of these cells are part of the mesenchyme, the tissues derived from the embryonic mesoderm.  Illustrated are two prototypical examples of basic stromal or connective tissue.  On the left is scar from a healthy trauma wound in early phases of maturation.  On the right is normal muscular fascia.  These tissues appear slightly different because, depending on the specific tissues and circumstances, the collagen architecture varies in expected and predictable ways.  However, they appear more similar than different, and that is because they are formed of just two structures, blood vessels in collagen matrix, which are made by just two cells, angiocytes and fibroblasts.

 

 

34

The stromal tissues, engineered by the mesenchymal cells of the mesoderm, predominantly histioblasts-fibroblasts and angiocytes, are composed of collagen and connective proteins, traversed by blood vessels and vascular structures.  Diseases which affect the mesenchymal stroma therefore explicitly affect these cells and structures.  It is predominantly the autoimmune disorders which do this.  Why are these cells and structures the target of auto-immunopathy?  To begin the answer, this slide shows what that targeted pathology looks like.  Bottom left:  acute leukocytoclastic vasculitis.  This is arteritis in its acute phases, with intense neutrophil infiltration with necrosis and myxoid degeneration of the vessel wall.  Vessels are clearly an explicit target of this event.  Bottom right:  rheumatoid synovitis, likewise with neutrophilic acute inflammation and myxoid changes in a tissue that is nothing but loose fibrous stroma with fibroblasts.  Top left:  chronic vasculitis or peri-arteritis (from a patient with long-standing ulcers and infarcts due to a combined coagulopathic and auto-immune disorder mainly consistent with polyarteritis nodosa).  Neutrophils have disappeared, and instead, chronic inflammation has ensued, consisting of lymphocytes, plasma cells, and eosinophils.  Note how the pathology is confined to the vascular locus, without inflammation in the surrounding connective matrix.  Note also the chronic thrombosis in the damaged vessels.  In anticipation of explanations soon to come, ask yourself this crucial question:  what came first, the thrombosis or the inflammation?

 

 

35

The consequence of auto-immune attack is to kill cells and trigger inflammation.  Inflammation is a destructive process by intent, so when triggered, there is progressive lysis or damage of the affected tissues.  Inflammation also begets wound repair, so fibrosis and related consequences of the wound module also appear, i.e. scar.  The net effect is acute and chronic damage and scarring of mesenchymal and stromal tissues, including their derivative structures such as the fascias, vessels, and musculoskeletal structures.  This slide shows those anatomical and clinical effects that result form auto-immunopathy and inflammation of the collagen-vascular connective tissue stroma.  Top left:  fibrosis develops in blood vessels after vasculitis, leading to stenosis and obstruction; these angiogram shows paradigm “lupus angiopathy” which occurs most commonly in lupus and scleroderma.  Bottom left:  a cross-section view of a dermal artery from a scleroderma patient showing the mural fibrosis and stenosis; this patient’s skin was also highly fibrotic from repetitive inflammation and scarring of the dermis, confirming both “collagen” and “vascular” targets of his disease.  Bottom middle:  prototypical late stage rheumatoid hands; these deformities are the biomechanical consequences of destruction of tendons and joint ligaments, destroyed by chronic active inflammation triggered by autoimmunity targeted against synovium.  Top middle:  earlier stage rheumatoid synovitis during a flare up; the leg has become ulcerated because of global anti-connective tissue effects affecting more than just synovium.  Top right:  atrophie blanche, a classic morphological feature of skin in some of these disorders, representing areas of residual normal skin interspersed with dermal scarring due to repetitive dermatitis-fibrositis.  Bottom-right:  “string-of-beads” ulceration characteristic of autoimmune synovitis; in the hand, rheumatoid synovitis is apt to cause tendon rupture, whereas in the lower extremity, it is apt to lyse skin; the upper photo is a lupus patient during acute phases of synovial suppuration and skin ulceration; the lower photo is a rheumatoid with chronic ulceration after the synovitis flared and has now subsided.

 

 

36

The autoimmune disorders can affect nearly any cell or tissue in the body – e.g. immune thyroiditis, hepato-biliary disease, inflammatory bowel disease, hidradenitis, etc.  When it is the mesodermal-mesenchymal connective and vascular stroma of the body that is the target of auto-immunopathy, then the tissues affected are those of the fascias and musculoskeletal system, as seen on the last slide.  Depending on which antibodies or cells and tissues are predominantly targeted, the patient may have a syndromic set of signs and symptoms that fit into standard nosological categories.  Thus, synovitis dominant disease is likely to fit diagnostic criteria for rheumatoid arthritis.  Dominant involvement of the adipose fascias is apt to be recognized as Weber-Christian, erythema nodosum, and related panniculopathies.  Muscle involvement may prompt a diagnosis of polymyositis.  Serositis dominant disease might be called lupus or Weber-Christian.  Complications of fresh wounds and old scars are apt to fit with lupus.  Other distinctive events, such as uveitis, spondylitis, secretory adenitis, urethritis, cerebritis, central vasculitis, mediastinitis, etc. will all betray certain syndromic diseases and classifications, such as Reiter’s, ankylosing spondylitis, Sjögren’s, Behçet’s, Wegener’s, Takayasu’s, etc.  Many patients of course will have mix-and-match findings necessitating the use of “mixed”, “undifferentiated”, and “non-specific” to describe the connective tissue disorder.  Regardless of what the primary diagnosis, predominant target, or syndromic signs are, there is one thing that is common to all of these diseases:  because stromal connective and vascular tissues are involved or targeted, therefore skin ulcers, wound pathergy, and similar soft tissue events are common.

 

 

37

We have just looked at the tissue pathology and clinical effects that result from the autoimmune collagen-vascular & connective-tissue disorders.  We can now answer why these are called “collagen-vascular diseases” and “connective tissue disorders”.  They are so called because the immune events and their active agents (antibodies, lymphocytes, etc.) target the mesenchymal cells (fibroblasts & angiocytes) which constitute the stroma (connective matrix and blood vessels) of all tissues.  The gross anatomical pathology and the clinical sequelae of these diseases are due to (1) active inflammation damaging connective and other tissues, such as acute synovitis and panniculitis, (2) anatomical changes resulting from that destruction, such as tendon and ligament rupture, joint deformity, and skin ulcers, and (3) the effects of scar, such as vascular stenosis and stiff joints.

 

The photo is from a chronic non-healing leg ulcer in a patient with active rheumatoid.  This is a view just below the surface (which is just out of view at the top), showing the topmost plasma protein stratum and the subjacent angio-attraction layer.  On the left half is an area of plasma proteins with neutrophils and angioid cells – a normal mix of normal wound “fauna”.  Vascular organization and density is far too low for a normal wound, aminoglycans are probably hypodense, and there is edema, all of which make this an abnormal pathological wound, typical of many chronic immunopathic wounds.  The cells are not organizing properly, but the cell mix itself and their density within the plasma are largely correct.  On the right half is a vascular locus, a cluster of organizing new vessels which is intrinsically correct, as would be expected in the angio-attraction and angio-organization layers.  However, the architecture of the vascular locus is masked and disorganized by a dense infiltrate of inflammatory cells confined to the locus.  This infiltrate contains some neutrophils, but it is predominantly plasma cells (antibody producing B-lymphocytes).  Why would these immune mediator cells be attracted to the new vessel?  Understanding why gets to the heart of why collagen-vascular auto-sensitization and the connective tissue diseases occur.

 

 

38

So far, you have been asked to accept on faith and common basic knowledge that auto-immunity is the cause of the connective tissue disorders.  We have just illustrated the anatomical pathologies that result from the auto-immune state and thus why they are called collagen-vascular diseases.  The next big question – a two-parter – is  (1) what are the origins of autoimmunity in the first place, and (2) why does autoimmunity target these tissues?

 

The origins of rheumatoid, lupus, and auto-immunopathy have had various theories and debates.  Infections, repetitive trauma, and other inflammatory states have all been implicated.  None of these is entirely correct, but what they all share is a state of chronic inflammation.  What you will see here is how a chronic inflammatory state of any primary cause can lead to auto-immunization.  Start by considering two other auto-immunopathies where the origins of the auto-immunity is understood.  (1) Rheumatic fever and rheumatic heart disease occur because strep throat, scarlet fever, or other streptococcal disease induces immunity to streptococcal antigens.  Key to this is the streptococcal PARF antigen (“peptide associated with rheumatic fever”), which binds to human collagen.  When immune cells become sensitized to the bacterial antigen, they also develop immunity to the conjoined collagen, and now you have an auto-immune connective tissue disorder.  (2) Spina bifida and myelomeningocele have a high incidence of allergy to latex.  Now how odd is that?  A meningocele exposes neuroectodermal tissues to the general circulation and mesenchyme, where inflammatory cells can meet them.  The CNS is rich in a variety of phospholipids, so some type of low level sensitization to these chemicals occurs.  Latex, raw rubber, is a micellular suspension of isoprene monomer globules suspended in phospholipid membranes – phospholipids, the same stuff as in the CNS.  Exposure to latex probably acts as a secondary sensitizer, a booster shot if you will for auto-immunity which is already present to some degree.  Latex then further acts as a trigger for acute responses.  The response is more allergic than immune, but it is nonetheless an example of sensitization developing to auto-antigens.  In the rheumatic fever case, auto-immunization occurs because human collagen is in the way, at the wrong place at the wrong time, caught up in the melee as immunity develops to an exogenous immunogen.  In the spina bifida case, auto-immunization occurs because non-mesenchymal antigens normally hidden from the immune system become exposed.  How does this relate to the common connective tissue disorders and the problems that frequent a wound practice?

 

Consider now another disease, hidradenitis suppurativa.  This is a type of acne that affects apocrine glands.  Everybody gets overly focused on the suppurative abscesses in the obstructed glands, but the real problem that obstructs the glands is a lymphocyte and antibody mediated autoimmunity directed against the glands.  How does this develop?  The glands are epithelial structures, filled with degenerated cellular debris.  These materials normally are on their side of their basement membrane, NEVER exposed to the mesenchyme underneath.  When the glands inflame and rupture, epithelial endocellular debris and sebaceous chemicals become exposed to and get intermingled with the mesenchyme.  This means that macrophages and lymphocytes can now “see” them, allowing immune sensitization to occur.  Similar events presumably explain the uveitis that occurs in the eye (as with Behçet’s and Reiter’s), and perhaps as well antigens in the secretory lacrimal and salivary glands (Sjögren’s), and so on.  So, how is it that the body develops immunity to these chemicals?  Is it that they are “visible” normally non-immunogenic chemicals that caught up in the fracas of some acute inflammatory event, as occurs with streptococcus-induced rheumatic fever?  Or is that they were sequestered chemicals, never meant to meet a lymphocyte in real life, but barriers fell as occurs with spina bifida and latex cross-over allergy?  For the diseases that are apt to show up in a wound practice, we can find strong compelling evidence of both mechanisms.

 

Throughout this discussion, we keep talking about auto-immunity and antibodies.  Antibodies to what?  The easiest way to appreciate this is to look at what antibodies we can measure readily.  The clinical lab has various tools to assess auto-immunity, mainly antibody assays.  Anti-nuclear antibodies are the most prevalent, and they serve as a basic screen.  If positive, further testing can reveal others.  The table on the right shows some tests and panels available from a large commercial lab.  Listed on the left are a greater variety of auto-antibody assays that can easily be ordered:  actin (smooth muscle), antinuclear antibodies, cardiolipin, centromere, chromatin, cyclic citrullinated peptide (CCP), dsDNA, endomysial, histone, interleukin-2 receptor, Jo-1(histidine-tRNA ligase), liver kidney microsome (LKM-1), mitochondrial, neutrophil cytoplasmic (ANCA), perinuclear ANCA, ribosomal P, ribonucleo-protein RNP, scleroderma (Scl-70), sjögren’s SS-A Ro, sjögren’s SS-B La, Sm, Sm-RNP, tissue transglutaminase (ATA).  Do you see a pattern?  Look closely.  These assays are for auto-antibodies against nuclear chromatin and DNA, centromeres, endoplasmic reticulum and ribosomes, mitochondria, selective enzymes, etc.  The commonality is that these auto-antibodies are all directed against intra-cellular structures, some intra-cytoplasmic, and some intra-nuclear – aka “anti-nuclear antibodies”.

 

 

39

This slide will illustrate some of the conditions and mechanisms whereby nuclear and cytoplasmic auto-immunization occurs.  Left lower:  a normal specimen from a healthy active open wound.  The angiocytes of the blood vessels are all hyperplastic and partly disaggregated, a normal effect of angiogenic cytokines in the proliferating wound, i.e. normal and healthy.  There is stasis and migration of polymorphonuclear leukocytes – completely normal behavior after any injury or thrombosis – completely proper reactive inflammation.  In addition to well-formed poly’s, you will also see dark spots that look like the size and shape of individual lobes of a neutrophil’s nucleus – because they are.  This is “nuclear debris”, aka “poly dust”.  As neutrophils conclude their business and do the apoptosis thing, nuclear remnants and other cellular debris are left, waiting to be cleared by macrophages or other degradative cleanup mechanisms.  The more intense the inflammation, the more concentrated the loose nuclear or cytoplasmic material becomes.  In specimens with intense necrosis and suppuration, there is always a generalized purple basophilia reflecting the high load of loose endocellular material.  Simply put, normal inflammation results in the release of endo-cellular materials into the interstitial medium.  Right upper:  a specimen from an unhealthy wound, a patient with polyarteritis nodosa (the photo shows new vessels and other elements of the reactive wound, not the primary pathology with acute suppurative inflammation around old vessels).  There is vascular disorganization with fibrin exudates, heavily infiltrated with poly’s, and a substantial amount of poly dust.  The vessels are the target of acute inflammation, but unlike a short term inflammatory state after trauma, this inflammation is repetitive and sustained.  Compared to healthier wounds, the load of free cellular and nuclear debris is quantitatively increased and also more sustained in time.  This increases the exposure of autologous materials that are normally sequestered inside cells and hidden from the view of antigen processing mechanisms.  This abnormally heightened exposure increases the chances of antigenic recognition.  Right lower:  a specimen from a long standing pressure ulcer with areas of new necrosis.  This type of wound is presumably non-pathological, just a matter of pressure and trauma, but nonetheless chronic.  The vessels and stroma are as expected in this upper (plasma-inflammatory) stratum of the wound, and there are poly’s and poly dust as you would expect.  Large monocyte-macrophages are also present, likewise as expected.  However, there is also immunogenic inflammation – eosinophils and plasma cells – not very dense in this particular view, but there nonetheless.  Why would the body be acting as though it is immunized and making immunoglobulins against itself in this chronic seemingly benign wound?  You can start to see how auto-immunization occurs.  All of that nuclear debris is freely exposed in the tissue.  What should be protected antigens sequestered inside cells are being exposed where immune processing cells (macrophages and lymphocytes) can pick them up.  The more the material, the longer it is exposed, the greater the chance of recognition and sensitization.  And not only are the sequestered antigens at risk (like happens with spina bifida and latex), but even chemicals normally exposed in the area risk being picked up and carried along on the immunization ride (like for rheumatic fever).  And what normal chemicals or structures risk being carried along?  Whatever happens to be there.  Those associated with the stromal matrix or its resident cells and structures – fibroblasts, angiocytes, vascular structures, and connective structures.

 

 

40

We have just looked at how intracellular debris becomes exposed during conditions of necrosis and inflammation.  The more sustained the injury and inflammation, then the more prolonged the exposure of potential antigens, and the more likely that immune recognition and auto-sensitization might take place.  On this slide, we will review the mechanisms of immune recognition and sensitization, events contingent on the presentation of potential antigens to lymphocytes.

 

As we have already reviewed, two types of potential auto-antigens can occur.  (1)  Exposure of occult and sequestered antigens, in which materials that are normally “invisible” to the mesenchyme and interstitium become exposed and accessible to immune processing cells (macrophages and lymphocytes).  These include:  the endocellular debris of acute necrosis and inflammation, leading to intra-cytoplasmic antibodies;  endonuclear debris of the same origin, leading to anti-nuclear antibodies;  cell and tissue specific debris, such as with hidradenitis;  and antigen cross-reactivities such as occurs with latex and spina bifida.  (2)  Opsonization, haptenization, inverse-haptenization of open antigens, in which small or normally non-antigenic chemicals combine with other chemicals or structures to create larger immunogenic intermediaries that induce sensitization to the primary chemical.  This is the mechanism of auto-immunization with parf-induced post-streptococcal rheumatic carditis and rheumatic fever.  It might also be the mechanism of cross-over sensitization in the uveitis of Reiter’s and similar syndromes.  In the wound, the abnormal bindings to “exposed chemicals” that could lead to sensitization presumably occur against small degradation fragments of connective matrix that has been chewed up in the course of injury and inflammation.

 

Left upper:  an image of a severe lumbar gibbus in a patient with spina bifida and latex allergy.  It is a good illustration of how the privileged domain of the CNS is violated.  The cord is interrupted, and neural elements intermix with mesenchyme, making unique CNS chemicals such as the phospholipids “visible” to the macrophages and lymphocytes that govern immunization.  The potential for auto-immunization gets worse in principle if there is also a focus of injury and inflammation which recruits and concentrates chronic and inflammatory immune cells, such as a pressure ulcer over the gibbus, as this patient had.  Left lower:  a patient with hidradenitis suppurative.  Chronic inter-gluteal disease is shown, representing 30 years of sustained inflammation.  This is another example of sequestered antigens (in this case epithelial and sebaceous) being exposed to the mesenchyme, where auto-immunization can occur.  Not only was the disease responsive to anti-inflammatory and anti-immune drugs, but as discussed further on slide 53, this patient also had significant rheumatoid symptoms which cleared when the disease was excised and then healed (middle and lower images).

 

It should be clear by now that various primary injuries or pathologies can expose sequestered antigens or else create novel antigens, thereby leading to immune recognition and auto-sensitization.  How does this recognition and sensitization occur?  The process starts with the raw materials, the generic debris of neutrophils and acute inflammation, and the site-specific debris local cells and matrix.  These materials must now be processed and packaged for presentation to the immune system, the lymphocytes.  Who is the intermediary that does the processing and presentation?  Macrophages.  Remember, the afferent role of the macrophage in the wound is as a phagocytic cell that has the task of clearing debris.  (Macrophages laden with debris are also called histiocytes.)  As debris is digested, detoxified, or whatever is happening in the bowels of the macrophage, certain chemicals will be packaged for export to lymphocytes.  The more sustained the injury or acute inflammation, the more likely that endocellular and other autogenous debris will eventually be flagged as “foreign” and presented to a lymphocyte for immunization.  Once auto-immunization does occur, the involved area will develop a cohort of “chronic inflammation”, infiltration with immune and allergic cells – lymphocytes, plasma cells, and eosinophils.

 

Right top:  a chronic abdominal wound form a patient who is other wise healthy and free of any clinical auto-immune syndromes or symptoms.  In the inflammatory and upper aminoglycan layer of the wound, large mononuclear cells and neutrophils share the stage.  The large cell on the left is more of a native pre-transformation monocyte, whereas the cell to its right is a post-transformational macrophage.  Inside that macrophage is a nuclear lobe from a neutrophil.  This is a good illustration of how inflammatory debris is processed, and the means by which auto-immunization against nuclear antigens and the formation of anti-nuclear antibodies can occur as the acute inflammatory state is sustained.  Right middle:  a chronic abdominal wound from a young patient with a diffuse chronic bullous pemphigoid and extensive multi-focal ulceration.  The lesions all have a complex mix of acute (generic reactive) and chronic (immune) inflammation.  Within one small field we can see acute inflammation (poly’s and nuclear debris) and chronic inflammation (lymphocytes, plasma cells, an eosinophil).  There are also macrophages, and possibly mesenchymal repair cells (the two smaller spindle cells are most likely migratory angiocytes).  The large central cell, stippled by intracytoplasmic debris, sits next to all of this, closely hugging a plasma cell.  While the plasma cell is a committed antibody producer, not involved in new sensitizations, it can be seen here how debris-processing macrophages will easily get a chance to exchange something with lymphoid cells.  Right lower:  another view from the same patient, in which cells are denser, with the same admixture of multiple populations.  Debris laden histiocytes (the brown color is presumably hemosiderin from the processing of erythrocytes) are nestled against lymphocytes and plasma cells.  It is the “perfect storm” of events for auto-immunization.  Sustained acute inflammation creates greater production, density, timewise exposure, and histiocytic processing of occult intra-cellular antigens.  A greater admixture of “chronic inflammatory” immune cells attests to auto-immunization having already occurred, but also increases the likelihood of uncommitted lymphocytes being presented with new auto-antigens.  Being a wound, the “locals” are angiocytes and stromal cells and their products (angiocytes, fibroblasts, vessels, matrix), and their exposure in this process increases the likelihood that their own debris will become part of the immune exposure and auto-sensitization, leading to stromal auto-immunization.

 

 

 

The origins of autoimmunopathy and connective tissue disorders via other primary diseases

We have just looked at the autoimmune nature of the connective tissue disorders.  We looked at why they are called “collagen-vascular diseases” and “connective-tissue disorders”, because of the effects of autoimmunity directed against the stromal connective tissues.  We then looked at why endocellular antibodies and autoimmunopathy arise, and how they can become directed against the connective tissues.  So far the focus has been on auto-immunity and collagen-vascular disease per se, although the last two slides gave some hint of how all of this might relate to chronic wounds.  Our next step, before squarely relating this to wounds, is to look at how auto-immunopathy and the connective tissue disorders arise in the first place from some other primary underlying disease.  The concept here is that some other primary disease creates the conditions of sustained injury, necrosis, and inflammation which lead to the recognition of sequestered and endocellular antigens, thereby leading to auto-immunization and the resulting connective tissue disorders.

 

 

 

41

This slide starts a series that demonstrate a fascinating and crucial connection in this story – the relationship of hypercoagulable disorders to auto-immune disorders.  Recall in our basic review of hypercoagulable states and ulcers that there is a recognizable, nearly pathognomonic tetrad / pentad that nails the diagnosis of a hypercoagulable disorder:  (1) thrombotic or embolic event, (2) miscarriage, (3) wound pathergy event, and (4) a connective tissue disorder, with (5) either a personal or family history.  Why the connection between these two major disease categories?  Left: a woman with scleroderma-crest.  History and wound behavior suggested a hypercoagulable state, confirmed by laboratory, and she ultimately died from pulmonary embolism or thrombosis.  Note the significant multifactorial markers of both autoimmunopathy and hypercoagulability.  Right: a man with clinically active lupus with multiple wounds and wound complications due to minor trauma and surgery.  Wound specimens confirmed thrombi, the lab confirmed antiphospholipid antibodies, and he healed promptly with warfarin.  Why did both patients have unequivocal evidence of both disorders?

 

 

42

You might think that the two patients on the preceding slide just had an unhappy coincidence of dual diseases.  You might, until you see this and the next few slides.  On this slide are three patients presenting with obvious pathological ulcers, including active necrosis, inflammation, and progressive ulceration.  One of them had no prior documented history, and the other two had confirmed histories of polycythemia or other blood cell disorders.  Laboratory evaluation using customary panels for autoimmune and hypercoagulable disorders showed evidence of both in all three of these patients.  None of them had a clinical history of autoimmunopathy or connective tissue disease, but on symptom inventory and review of systems they had a variety of typical complaints such as arthralgias or sicca syndrome.  The profile of the 54 year old man is especially noteworthy.  In addition to autoimmune markers, he has a dual type of coagulopathy: factor V Leiden indicates an intrinsic pre-thrombotic hypercoagulopathy, and he also has a strong elevation of immune procoagulants (antiphospholipid antibodies), both lupus anticoagulant and anticardiolipin.  You cannot cheat on a gene test - factor V Leiden is an inborn error, a built in “pre-thrombotic” or intrinsic hypercoagulable disorder.  So isn’t one coagulation defect enough for one person?  Well, not for him, but why – why would he then also get auto-immune procoagulant antibodies?  And why would markers of collagen-vascular auto-immunity accompany this?  No, it’s not coincidence.

 

 

43

More of the same, three more examples of mixed laboratory findings in patients with clinical profiles that indicate dual disease, both coagulopathic and immunopathic.  On the left, 2 patients with a priori established clinical diagnoses of a connective tissue disorder (top = rheumatoid, bottom = scleroderma-mctd).  In both, the behaviors of the ulcer implied a coagulopathic origin as well, and this was confirmed in the lab.  Both healed with a customary program of anticoagulation and skin reconstruction with a regenerative matrix.  The 69 year old rheumatoid patient had overt crippling clinical disease.  However, similar to the case on the preceding slide, she also had factor V Leiden, a built in genetic “root” of the system around which everything else must be explained.  On the right is a prototypical acute pathological wound in a patient with no antecedent clinical disease or diagnosis.  The features are more thrombo-infarctive than inflammatory-lytic, but there are elements of both, both grossly and by laboratory assay.

 

 

 

44

And another one . . .  These three patients had clinical histories of active immunopathy plus acute ulcers behaving more thrombo-infarctive rather than inflammatory-lytic.  The duality of the problem was confirmed on laboratory profiles.  Note that the rheumatoid patient has markers that cannot be mistaken – clinical and pathological rheumatoid for which she just had her back operated on, and genetically inborn factor V Leiden.  (Yet another such case.  Notice that plasminogen, a natural thrombolysin, and protein C, a natural anticoagulant, are both elevated, a typical reflex up-regulation of these compounds in response to a continuing state of thrombosis.)  I could keep showing you more of the same thing, lots more . . .  Are you convinced now that these are not coincidences?

 

In our clinic, we have standardized sets of laboratory blood tests that we order in working up these ulcers and diseases, a “rheumatoid panel” and a ‘”coag panel”.  For a long time, we have been drawing both panels on our primary coagulopathic patients, so the “data” and experience are more thorough for those patients.  Only recently have we started drawing “hypercoag” panels on our primary “rheumatoid” patients, and as we do more, the real values for this set should become clearer.  There are also plenty of patients who come with ulcer profiles and clinical histories that make both sets of disease clear and obvious from the outset, and it is not surprising that their laboratory workups have mixed markers.  Other patients have ulcers and profiles that are vague or confusing, suggestive but not overtly diagnostic of either category.  The very reason we started drawing both sets of laboratory panels in the first place is that so many of these patients have wounds with both features, thrombo-infarctive and inflammatory-lytic, and who also, upon thorough history and exam, have a suggestion of both sets of disease.

 

I have yet to do a formal retrospective (nor prospective) data analysis of our experience with these patients and profiles.  However, having paid attention to these issues for the past 14 years, and having observed them in hundreds of patients, I have a general sense about the incidence of these correlations.  Remember, all of these patients come to our practice because of the wounds, not because of a characteristic rheumatological or hematological complaint.  (1)  For patients presenting with a primary hypercoagulopathy, i.e. where the wounds and history and laboratory profile are strongly “hematological”, more thrombo-infarctive in nature, then the incidence of laboratory cross-over with positive auto-immune markers seems to be well over 50%, perhaps as high as 85%.  (2) For patients whose clinical profiles are strongly “rheumatological”, with overt history or symptoms, and with inflammatory-lytic ulcers, the presence of hypercoagulable markers seems to be in the range of about 25% to 50%, depending on the primary rheumatological diagnosis.

 

 

45

Why?  Why is there such a strong association of autoimmunopathy with the hypercoagulable states?  Why do so many of these patients have markers of two major categories of disease?  The clinical and laboratory findings may be occult or overt, subtle or dramatic, but they are there when you look for them.  The explanation is not so mysterious, and it begins with the basic mutual interaction of thrombosis and inflammation.  To begin, let us observe histologically the wound and inflammatory anatomy of patients with this duality of hypercoagulability and auto-immunity.

 

Here are two slides from two patients with hypercoagulable disorders.  The specimens came from wound biopsies or debridements, meaning that there was already established ulceration.  What do you see?  Both show a vascular locus, a zone of vessels and angioid tissue within a dermal or connective matrix.  Within the vascular locus, vessels have chronic thrombi and reorganization.  The specimen on the left shows migratory spindle shaped disorganization of the angiocytes consistent with a state of chronic inflammation and wound healing.  Both specimens have diffuse infiltration of the vascular locus with chronic inflammatory cells.  Recall that whereas acute inflammation is neutrophilic, chronic inflammation shows predominantly lymphocytes, plasma cells, and eosinophils.  The left specimen is infiltrated with almost pure lymphocytes.  The right specimen is infiltrated with mostly all plasma cells and eosinophils.  There are few neutrophils, and the surrounding collagen matrix shows normal fibroblasts without inflammatory changes.  Why are these vessels in a state of chronic immunogenic inflammation?

 

The short answer is that the hypercoagulopathy is chronically making microthrombi.  These can cause repetitive micro-infarcts and inflammation.  With persistent necrosis and inflammation, there is an increasing load of cellular debris and increasing activities to clean it up.  Lymphoid cells are not part of normal acute wound healing, but with chronicity they begin to appear.  All of this increases the possibility (and eventually the likelihood) that macrophages will have a chance to present autogenous materials to lymphocytes which in turn will get confused into thinking that these materials require an immune response.

 

Normal healthy incidental wound healing is not subject to these dynamics nor to auto-immunization.  The key to the onset of this state of chronicity is some sort sustained injury that perpetuates inflammation and forces the admixture of cells that normally should not “see” each other.  Hypercoagulability is one cause of this, but there are others, as discussed below.  First though, let us take a look at the dynamics of wounds and tissues under conditions of hypercoagulability or other sustained primary injury.

 

 

46

Let us reiterate the message of the last slide.  In certain patients with refractory wounds, why do we see vessels in a state of chronic immunogenic inflammation?  Why do we see these patients have clinical and laboratory profiles indicative of both hypercoagulability and auto-immunopathy?  It happens because hypercoagulopathy chronically makes microthrombi;  these cause repetitive micro-infarcts and inflammation;  persistent necrosis and inflammation create a sustained load of cellular debris and macrophage cleanup activities;  this raises the chances that lymphocytes (not a normal part of acute inflammation and wound healing) will become sensitized to normally sequestered endocellular antigens;  once sensitized, auto-immunity can develop to the vessels and other stromal elements which were caught in the middle of these repetitive events.  The stromal elements go from being passive victims of repeated incidental injury-infarct-inflammation to being active targets of sustained injury-infarct-inflammation.  Furthermore, the induced auto-immunity and chronic inflammation leads to locally thrombogenic conditions, triggering new thrombosis in the same area in the hypercoagulable patient, thereby perpetuating the entire process.

 

Normal patients with normal wounds do not develop stromal auto-immunization.  The difference between the normal state and the chronic and pathological wound is that something, such as a hypercoagulable state, is sustaining the injury, thrombosis, necrosis, and acute inflammation that is required to perpetuate these events.  We are all used to thinking about inflammation as either acute (neutrophilic) versus chronic (lympho-plasmacytic), but now it is time to understand a third state:  sustained acute inflammation.  This is the bridge between incidental injury with one-shot responses (acute inflammation) versus self-perpetuating auto-pathological states with auto-immunization (chronic inflammation).

 

To understand the significance of sustained acute inflammation, both as its own pathophysiological entity, as well as its effects on impaired wound healing, we will begin by looking at the fundamental relationships and mutual interactions of thrombosis and inflammation.  Recall the quintessential roles and functions of inflammation and thrombosis.  How is an injury recognized?  How is it cleaned up?  How is the repair process started?  There are several pathways of injury recognition, and one of them is platelet activation and thrombosis.  Once these events occur, they then initiate inflammation, so the body can handle the defenses, do damage control, and then clean up.  Thus, thrombosis triggers inflammation.  However, inflammation also creates a milieu that promotes thrombosis via prothrombotic chemicals, leukocyte and platelet trapping, morphological and chemical changes in vessels, changes in blood viscosity, etc.  Thus, inflammation triggers thrombosis.  They trigger each other.  This complex non-linear system is self-amplifying.  In the case of a one-shot incidental injury, such as trauma, this thrombosis-inflammation coupling ensures a swift ramp up of defensive changes, but then the process subsides and settles, paving the way for repair.  However, when there is some sort of repetitive or sustained injury, then new thrombosis and inflammation keep getting triggered, keeping the process alive.  For the technically savvy, it is very much analogous to an oscillatory system in mechanics or electricity.  A one-shot trigger in a spring or vibrator circuit may oscillate briefly as it falls back to zero, but if you keep kicking in a bit of energy at the resonant frequency, enough to replenish internal energy losses, then you can sustain the oscillation and make cool things work, like a radio or a clock.  Trauma induced thrombosis-inflammation is a one-shot.  Thrombosis-inflammation triggered by chronic sustained thrombotic or immune disorders and activities keeps the system running.  When acute inflammation is reactive and one shot limited, it is proper and works for the defense of the host.  When inflammation becomes sustained, self-perpetuating, then chronic, that is improper and works to the detriment of the host.

 

What triggers abnormal or sustained thrombosis and inflammation?  Active auto-immunopathies do this.  Primary or intrinsic hypercoagulopathies also do this.  So too angiopathies and panniculopathies, i.e. disorders of the stromal structures which thereby also trigger thrombosis and inflammation.  These elements have a variety of complex interactions, but at their core are the mutual interdependence of thrombosis and inflammation.  If there is some factor which can sustain or re-trigger either of these, then the thrombosis-inflammation cycle can become sustained.  And what is caught in the middle?  The health or not of the host tissue – infarction and lysis, necrosis and ulceration.  If the thrombotic events predominate, then thrombo-infarctive necrosis is more apt to be seen.  If the inflammatory events predominate, then lysis and ulceration are more apt to be seen.  It should be no surprise though that many wounds and patients will have features of both events, seen grossly, histologically, and in the laboratory.

 

While thrombosis and inflammation have a mutual interdependence, they do not automatically trigger and re-trigger each other and thereby enter a self-sustaining loop by default.  This is the difference between acute inflammation and sustained acute inflammation.  Look again at the logarithmic timeline of injury response events.  An acute self-limited injury occurs.  It triggers thrombosis.  Thrombosis dynamics are a one-shot, a swift ramp-up then a decay, subsiding because no further trigger nor provocation sustains it.  Thrombosis serves as an integrator that at some threshold or level then triggers acute inflammation.  By the time inflammation is strongly on the rise, inflammation is waning.  The two events barely have any timewise overlap.  Inflammation is itself a one-shot, which in turn stimulates the wound module, with these two events likewise having little overlap.  Normal inflammation is thrombogenic in principle, but absent other associated perturbations or amplifications, it is a relatively weak thrombogen.  Thus, inflammation, which feeds forward into wound module, does not ordinarily feed backward to re-trigger or perpetuate thrombosis.  However, when some other sustained injury, primary thrombosis, or primary inflammation is present due to unrelated, antecedent, coincidental primary or independent pathology or trauma, then re-triggering and sustentation can start.  Once the thrombosis-inflammation mutual loop starts to revolve, then there will be abnormal feedbacks into the injury, thrombosis, and inflammation cusps of the overall timeline.  As discussed in Part 1, slide 32, chaotic dynamics begin, and the wound cannot converge (and may even diverge, getting worse due to thrombo-infarction or inflammation-lysis).

 

A primary hypercoagulable disorder is one of those a priori underlying conditions that can create the sustentation that perpetuates the thrombosis-inflammation link and drives a wound into chaos.  Normal one-shot inflammation may only be weakly thrombogenic, but in a patient where the thrombosis trigger is overly sensitive, the threshold for clotting abnormally low, then “weakly thrombogenic” may be enough.  Of course, new thrombosis, and also the associated necrosis, will then (strongly) trigger new inflammation.  It should be clear by now that simple acute (one-shot) inflammation and sustained acute inflammation are dynamically very different states or attractors.  Sustained acute inflammation is what happens when there is repetitive or persistent action of any of the normal triggers of acute inflammation (trauma, allergy, immunity, infection, thrombosis).  Under the right circumstances, the mutual dependence of thrombosis, inflammation, and related elements can turn “repetitive action” into auto-sustentation.

 

How it is that sustained acute inflammation then leads to the third state, auto-immunization and chronic inflammation, will be explained on the next several slides.  What is key to understand is that wound or stromal auto-immunity and chronic inflammation do not occur after simple one-shot injury-inflammation-healing wound dynamics.  They occur only after a period of sustained acute inflammation, a necessity for auto-sensitization.  The following are the characteristics of these three inflammatory domains.  Acute inflammation:  one-shot dynamics;  there is minimum necrosis and minimum exposure of sequestered antigen;  there is minimum, hardly any macrophage-lymphocyte admixture.  Sustained acute inflammation:  dynamics are of repetitive, persistent, unresolved primary injury, or else some other disorder or condition that can trigger injury-thrombosis-necrosis-inflammation events;  sustained events increase the load of cellular and nuclear debris;  as events drag on, there are increased amounts and times of exposure of debris and cell elements;  increased time and increasing levels of lymphokines raise the risk of lymphocyte appearance and admixture;  the whole milieu now increases the chances of macrophage-lymphocyte admixture and interaction with presentation of local auto-antigens that have appeared due to the sustained thrombosis, necrosis, and lysis.  Chronic inflammation:  a new population of cells enters the mix, lympho-plasmacytic infiltrates, meaning that auto-sensitization against stromal elements has occurred;  this is a state of intrinsic pathology that perpetuates injury and altered dynamics, and it can no longer be averted just by breaking the cycle of thrombosis-inflammation.

 

 

47

This photo was shown on slide 45.  It is from a 75 year old woman with a hypercoagulable state.  It shows chronic thrombi and reorganization within a vascular locus which is also densely infiltrated with lympho­cytes.  This reflects more than just local stromal auto-immunization – this patient also has chronic active overt crippling rheumatoid arthritis.  We have now looked at many similar cases where patients with problem wounds had clinical and laboratory features of concurrent hypercoagulability and auto-immunity.  On slide 34 we asked what came first, thrombosis or inflammation?  We are now ready to fully answer that question, but first a final clarification, about the meaning of chronic inflammation.

 

“Chronic inflammation” has two connotations.  (1) There is a vernacular everyday use of the phrase which implies that inflammation has simply been there a long time.  The implication is that this is generic or non-specific acute neutrophilic inflammation, and that it has become sustained or persistent.  This loose and inexact concept simply assumes that inflammation is inflammation, and that when it is there too long, it is ipso facto chronic.  (2) Chronic inflammation has a stricter pathological connotation of inflammation with lymphocytes, plasma cells, and eosinophils.  These are latter populations of cells which are not present in acute inflammation.  However, by using the term “chronic inflammation”, as opposed to “immune” or “lympho-plasmacytic inflammation”, people tend to get the idea that “chronic inflammation” is chronic simply because it has been there a long time, that lymphocytes and plasma cells must be just the relief team for the long suffering and overworked neutrophil team.  This is not true.  These two classes of cells share a commonality that they are both involved in host defense, but they otherwise have distinct functions, and lympho-plasmacytes have no role in acute injury and wound healing.

 

This is why we need the concept of “sustained acute inflammation”, to describe conditions when neutrophilic acute inflammation has become repetitive, persistent, enduring, and perpetuated, as opposed to the short-term one-shot dynamics of simple acute inflammation.  Chronic inflammation is an entirely different third state which occurs when injury and acute inflammation have been present a long time (“chronic” in the vernacular sense, but “sustained” in our nomenclature) leading to infiltration with immune mediator lymphoid cells (“chronic inflammation” in the jargon of pathology).

 

So, which came first, thrombosis or inflammation, the hypercoagulable state or the autoimmune disorder?  The answer is that the hypercoagulability and thrombosis came first.  Lupus, rheumatoid arthritis, Sjögren’s, and related auto-immune connective tissue disorders are the consequence of factor V Leiden, prothrombin 20210G, and similar primary hypercoagulable states.  As described below, the hypercoagulable disorders are not the exclusive cause of these connective tissue disorders, but for patients with a primary hypercoagulopathy, the relationship between the hyperthrombotic and auto-immune states is direct and causal.  The pathway to auto-immunization depends on the sequence of (1) injury, thrombosis and acute inflammation being perpetuated by some other abnormal factor, leading to (2) sustained acute inflammation, which creates conditions which permit auto-sensitization against stromal elements, which in turn leads to (3) chronic lymphoid inflammation which can perpetuate the wound even after the injury-thrombosis-inflammation loops of acute disease have been arrested, and which furthermore can cause systemic anti-stromal pathologies, i.e. the connective tissue disorders.

 

On the preceding slide, we focused on how some type of pathological state can lead from acute inflammation to sustained acute inflammation.  Here we will now focus on how that state of sustained acute inflammation leads to auto-sensitization and chronic lympho-plasmacytic auto-immune inflammation directed against native cells and tissues.  Autoimmunity occurs when the immune system “sees” sequestered or novel auto-antigens that it should never have seen.  The potential auto-antigens are either endo-cellular and nuclear debris and other occult & sequestered antigens that are exposed by inflammation (including cell lysis, apoptosis, phagocytosis, etc), or else exposed matrix chemicals modified and opsonized or inverse-haptenized by inflammatory chemistry.  This potentially antigenic debris does not cause any effect in normal one-shot inflammation, because antigenic load is small, and the admixture of mononuclear and other acute inflammatory cells with immunogenic lymphoid cells is limited by the times and spatial distributions of events in a normal healthy wound.  However, with sustained acute inflammation, there is a persistent increase in cell kill and debris, antigenic load, and admixture of different cell populations that are normally separated.  Specifically, macrophages are processing the debris.  Increasing loads of debris means increasing chances of processing a specific chemical, and then presenting it to an ever increasing admixture of lymphocytes.  Macrophage-lymphocyte interactions are limited in one-shot injury and acute inflammation, but sustained acute inflammation increases admixture, in both time and space within the wound, and the risk of chance sensitization increases.  Auto-immunity occurs when that type of antigen processing and presentation “scores”, allowing a lymphocyte to develop sensitivity to that antigen.

 

The key to wound auto-immunization, i.e. sensitization to normally safe or sequestered auto-antigens, is the sustained acute inflammation.  This is the state that leads to the spatial and timewise “stirring” of the wound, causing admixture of cells and events that are normally separated during normal healthy one-shot responses in a normal incidental wound.  This process can occur with any condition which can re-trigger, perpetuate, or chaoticize the wound by provoking or repeating out-of-sequence or out-of-turn injury-thrombosis-inflammation.  Once the wound or patient is auto-immunized, protean clinical sequelae can ensue, anything from persistent local wound pathology and impaired healing to grand systemic morbidity for which lupus or mctd (mixed cvd-ctd) is the index disease.

 

Hypercoagulopathies are one of the obvious, dominant, and easy to identify causes of this auto-immunization, leading to both wound problems and systemic connective tissue disorders.  However, they are not the only cause.  What other primary disorders cause sustained injury-thrombosis-inflammation, thus leading to sustained acute inflammation with high-load exposure and then immunization against normally safe or sequestered antigens?  The list includes chronic or repetitive (1) trauma and injury, (2) allergy-atopy and related granular leukocyte defenses, (3) immunity and related lymphoid defenses, (4) infection-suppuration and related neutrophil defenses, (5) thrombosis, i.e. anything that can independently trigger, appropriately or inappropriately, acute reactive inflammation or cause micro-thrombosis and necrosis.  Note that this list implies sustained or chronic states of these conditions.  Normal one-shot blood clotting after an injury or operation does not induce wound and stromal auto-immunization.  Getting hives after eating a once-a-year strawberry will not cause late problems, nor will getting a pimple or a cold or the occasional urinary infection.  Whatever the cause of acute inflammation, it must be repetitive or sustained if the late phase auto-immunization is to occur, such as we saw with hidradenitis.  Of course, the whole story is a bit more complicated.  Acute infections can induce this state, as can happen for rheumatic fever and Reiter’s syndrome.  Genetic variations also have a role in some syndromes, such as HLA-B27 for ankylosing spondylitis and for Reiter’s syndrome, HLA-B51 for Behçet’s syndrome, and MEFV for familial Mediterranean fever.

 

Regardless of the exceptions and complexities, the common thread here is that under the right conditions that expose sequestered antigens, auto-immunization can occur.  What are those “right conditions”?  There is no singular or dogmatic event that by itself is the unique cause of auto-sensitization and the connective tissue disorders.  If acute incidental chlamydia and streptococcal infection can cause acute arthritis and acute carditis, it is because those distinctive syndromes cause rapid exposure and sensitization of occult auto-antigens.  But acute onset sensitization of this sort is the exception, not the rule.  In most instances it would seem that stromal auto-immunization and the cvd-ctd’s cook slowly and insidiously.  With disorders of chronic primary trauma-injury, allergy-atopy, immunity, infection, and thrombosis, the “right conditions” are those of repetitive injury-thrombosis-inflammation leading to sustained acute inflammation.  In the annals of medical research over the past 50-100 years, all of these factors (injury, allergy, immunity, infection, thrombosis) have been implicated at some point by some one as the cause of rheumatoid arthritis and similar diseases.  None of them are “the” cause, but it is easy to see how all of them are “a” cause, united by their ability to induce sustained acute inflammation, which in turn leads to antigen exposure and auto-sensitization, then followed by chronic auto-immune lymphoid inflammation.

 

It has been easy to demonstrate here the causal connection between hypercoagulability and connective tissue disorders.  Next consider the connection of cvd-ctd to infection, a subject with considerable prior research.  It has largely been speculative research without definitive conclusion, but that is because such research wants to find “THE” cause without appreciating that chronic infection can be just one among several dynamically similar pathways to stromal auto-immunization and the cvd-ctd’s.  Nonetheless, such research has implicated infections from all types of pathogens from a variety of higher taxa – generally true pathogens not part of our healthy human-bacterial eco-flora, including viruses, bacteria, mycoplasma, mycobacteria, mycetes, and protozoa.  Next, consider the issue of chronic allergy.  In addition to the usual acute reaginic signs and symptoms that allergic patients get, either incidentally, seasonally, or protracted from continuous environmental exposure, many patients will eventually develop more diffuse connective tissue symptoms.  It is very common for lupus and rheumatoid patients to have multiple allergies, often to drugs but also to other natural and unnatural items.  It is easy to dismiss this as a secondary effect of their altered immune systems, a consequence of their cvd-ctd.  Possibly, but it is also quite likely that their heightened allergic sensitivity and sustained eosinophilic inflammation is the primary state that eventually leads to auto-sensitization – cause rather than effect of their cvd-ctd.  Among our hypercoagulable wound patients with auto-immune symptoms, many start wound healing and also have improvement of systemic symptoms after being anti-coagulated.  So too, there are many reports of putative “infectious rheumatoids” who have improved with anti-microbial therapy.  Treat the primary cause of the sustained acute inflammation, and the secondary events and clinical sequelae can then settle down.

 

Once acute inflammation becomes prolonged and sustained, stromal auto-immunization can then occur.  On slide 53 we will look more specifically at what happens after auto-sensitization occurs, why the fibro-vascular stroma is so important in this sensitization, and how this then leads to clinical connective tissue disorders and impaired wound healing.  The purpose of this slide was to emphasize the quintessential central role of sustained acute inflammation in this process, and to clarify that sustained acute inflammation has several root causes in various primary disorders that cause or induce acute injury, inflammation, and thrombosis.  Caught in the middle of thrombosis and inflammation are necrosis and ulceration, which when “chronic” and sustained lead to the exposure of occult auto-antigens, eventually leading to immunization against your own stromal cells and matrix.

 

Remember what we said on slide 12:  “The importance of the gene mutations must be emphasized.  You cannot cheat on a gene test, so when a patient has an altered gene and then a bunch of other syndromic clinical problems, it is a good bet that the genetic mutation is the root cause.”  This is why so many hypercoagulable patients have auto-immune disorders.  They are chronically making primary thrombi, causing necrosis, inducing acute inflammation, and creating conditions that cause more thrombosis, thus leading to the sustained state that eventually induces immunity.  The thrombotic condition comes first, and the auto-immune state is an induced reaction.  For these patients, their manifestations of auto-immunity might be greater or lesser, an overt classifiable clinical syndrome, or else a mixed set of autoimmune symptoms, or else just positive laboratory serologies.  Whatever the severity and manifestations, when patients with factor V Leiden or prothrombin 20210G genetic mutations have rip-roaring rheumatoid or lupus, the cause-and-effect connection is real.

 

 

48

This and the next 2 slides demonstrate the sustained primary disease and inflammation and the cell admixture and lymphoid infiltration that lead to wound auto-immunization and chronicity.  The specimens on this slide are from a 74 year old woman with a history of thrombotic events and overt crippling rheumatoid arthritis.  She presented with multifocal leg ulcers, some randomly placed, some associated with tendon sheaths and synovitis.  There were distinctive thrombo-infarctive changes in some, inflammatory-lytic changes in others.  These longstanding “refractory” ulcers gradually healed completely with anti-coagulation, increased anti-inflammatory therapy, and skin reconstruction with regenerative matrices.

 

The images show vascular loci without significant acute neutrophilic inflammation, nor are there any poly’s in the perivascular connective matrix.  However, the vascular lumens are filled with acute and chronic thrombus including neutrophils.  The vascular loci are hypertrophied due to appropriate angiogenic activity and also to inappropriate infiltrates with lymphocytes and plasmacytes.  Something about the vascular locus is attracting or harboring the lymphoid cells.  The attraction to angiocytes and vascular structures, especially those that are thrombosed would seem to imply some sort of auto-sensitization.  Of course, this hypothesis cannot be proven by h&e histology alone.  The lymphoid cells might just find the vessels a homey place to hang out for reasons yet to be inferred or discovered.  However, given the immunogenic and defensive role of these cells, and given the consistent finding of lympho-plasmacytic infiltrates around vessels in certain classes of impaired wounds, it is reasonable to assume that the lymphocytes are more cause rather than effect of the wound impairments.

 

 

49

These images are from a 33 year old man, who, after spine injury and paraplegia, developed diffuse chronic pathological ulcers.  The lesions all began with initial blistering then persistent desquamation and failure to heal.  The acute phase gross lesions and histology were consistent with an eosinophilic or allergic process, bullous pemphigoid being the “best fit” diagnosis.  In the chronic phases, the gross and histologic appearances were more inherently chronic.  The lesions improved with steroids, but ultimately healed only with azathioprine therapy.  (See slide 71 for gross images and more history).  The primary “pathogen” in this situation was presumably some type of chemical exposure, e.g. therapeutic pharmaceuticals prescribed during his post-trauma hospitalization or else topicals related to wound care.  What could have, should have, would have been an easy problem to treat if recognized and treated properly in the early phases became chronic and refractory to any standard wound therapy.  Histology revealed the reasons why.

 

Left:  this view is below the wound surface in what is nominally the angio-organization and histio-attraction strata of the wound.  There is edema mixed with aminoglycans and scant if any collagen, yet there are large substantial vessels, either only semi-organized, or else disordered by persistent angioid activity and inflammatory infiltration.  (Impaired, disorganized, aberrant, and failed wound strata are common findings in chronic and pathological wounds, especially autoimmune wounds.)  The entire field is infiltrated with an intense mix of “everything”, a CAP wound smorgasbord of all relevant cells which contribute to its sustained impaired pathological state.  There are numerous neutrophils and some nuclear debris (in a healthy wound, poly’s would be nearly absent from this stratum).  There are monocytes-macrophages-histiocytes, present in reasonable numbers, but in a deeper stratum where they would not ordinarily appear.  There are very active angiocytes, some coalesced into vessels, others breaking away, many migrating through the interstitial space, all morphologically typical of sustained wound healing dynamics resulting from active growth factors affecting the local load cells.  The normal separation of acute inflammation from wound module in time and space (see slide 52) has failed, and these two populations are admixed, disrupting wound healing, and exposing potential antigen processing cells to increased amounts of debris and raw stromal detritus.  Finally, the wound, both vessels and interstitium, is overrun with lymphocytes, plasma cells, and eosinophils.  The eosinophils are consistent with the presumed allergic-atopic pemphigoid origin of the problem.  The lympho-plasmacytes reveal a latter stage of immune sensitization.  In this case, the chronic allergic state is probably the root or anchor of this system.  Chronic eosinophilic activity leads to sustained acute neutrophilic inflammation.  This in turn increases the exposure of endo-cellular auto-antigens, as well as “stirring” the architecture of the wound.  Sooner or later, there is enough admixture, in time and in space, of endogenous antigen, antigen processing and presenting cells, and antigen receiving and immunizing cells.  Once the latter phase of the process is reached, with antibody-bearing plasma cells, the wound cannot heal.  Knocking down the chronic-immune inflammatory cohort by specific pharmaceuticals allowed the wounds to heal.  Right top:  this is a closer view of the activities.  Neutrophils, nuclear debris, monocytes and macrophages, angioid cells, eosinophils, lymphocytes, and plasmacytes are all intermingled.  Cells which do not belong in a normal healthy one-shot wound are abundant, and even those cells that belong are admixed abnormally.  The very close proximity and prolonged mutual contact of inflammatory, stromal, mononuclear, and lymphoid cells is the “perfect storm” needed to transform normal healthy wound refuse into stromal auto-immunization and wound disruption.  Right bottom:  this is another close view of a blood vessel in the wound.  The same abnormal pathological mix of cells is present.  The angiocytes at face value are reasonably normal and healthy. They have typical large nuclei and cytoplasm consistent with a state of vegf and other growth factor induced hypertrophy and mitotic and migratory activity.  They are partially but not tightly coalesced into a solid vessel.  Migratory angiocytes at the periphery are either landing and assembling onto the large vessel, or else lifting and migrating away to areas of acute inflammation and mononuclear chemotaxis.  But all is not quite right.  For a vessel of this apparent size, it lacks the cohesion and solidity expected.  The interstitium of the vessel contains leaked plasma (“fibrin cuffs”).  Close inspection shows that it is actually more plasma than angiocytes, a pattern typical in immunopathic wounds of vessels in the (failed) angio-organization layer.  Infiltrated throughout the wall of this proto-vessel are mononuclear cells and neutrophils.  Surrounding the vessel are numerous plasma cells.  The failed organization of the vessel, the targeted presence of immunogenic cells, and the sustentation of acute inflammation are all prototypical of the auto-immune wound failure that we are discussing.  In preceding examples we have seen, sustained microthrombosis was the primary cause of auto-immunization and wound failure.  In this example, sustained allergy was the primary cause.

 

 

50

Right:  this is from an 84 year old woman with a chronic radiation ulcer of the scalp.  We think we understand the pathophysiology of radiation wounds fairly well.  Photonic energy damages DNA and nuclear machinery, by design.  Cell kill is latent, and becomes manifest during attempted mitosis.  Highly proliferative dividing cells such as cancers die quickly.  Cells which have no normal need to divide, such as mature stromal cells, can carry on vegetative functions and survive.  However, when such cells are asked to divide, such as for wound healing, the process dies with the cells.  Radiation injury is another example of where the intrinsic machinery of healing is broken (although radiation wounds are just a tiny fraction of all chronic wounds).

 

However, a slide like this suggests that the problem may be more complex.   The histology throughout the wound looked like a rock concert for plasma cells.  Excessively laden with antibodies or golgi apparatus, they exhibited every bizarre morphology of plasmacytes that exists.  Something in this chronic wound has provoked the body to make immunoglobulins against itself.  Radiation may have been the primary event that caused the wound and invoked acute inflammation, but once the wound became chronic, then something sensitized or immunized the patient to the stroma.  Perhaps radiation damaged matrix chemicals, creating novel and immunogenic chemical species.  Perhaps there was enough latent cell kill that stromal cells degenerated at a sustained rate, increasing the load and timewise exposure of endo-cellular debris in the face of persistent ulceration and inflammation.  (Remember that since the leukocytes and lymphoid cells are marrow-derived and blood-borne, they were not impaired by the radiation and could carry out these acute and chronic reactive functions.)  The plasmacytes could of course be strictly non-cause-and-effect coincidental to the wound healing impairments, but nonetheless, this is another example of a particularly refractory wound having particularly heavy infiltration with lymphoid “chronic inflammation”.

 

Left:  these two images come from the same wound, a leg ulcer in a 31 year old woman with a primary coagulopathic disorder and secondary immunopathy.  She had a typical history of thrombotic events along with miscellaneous immunopathic symptoms.  Laboratory evaluation confirmed low protein C and low APC resistance (likely the primary problems), a positive lupus anticoagulant (probably secondary due to induced auto-immunity) and low factor IX (indirect evidence of a thrombotic state, due to compensatory down-regulation of a prothrombotic element).  The specimens are from the base and edge of the ulcer, which grossly had intense vascular stasis, cyanosis, persistent multifocal wound infarcts, wound pathergy (progressive infarcts with debridement), persistent inflammation in spite of basic treatment, and failed wound healing.  Histologic features (not necessarily seen in the two views selected) included:  acute and chronic inflammation, acute and chronic thrombosis, vascular necrosis or fibrinoid degeneration, vascular disruption and disorganization, dense peri-vascular plasma cell infiltration, interstitial necrosis, cellular debris and basophilia deeper than expected for healthy wounds, cellular debris and basophilia along angiogenic cords, scant or disorganized fibroplasia.

 

Far left:  A close view shows the angio-attraction zone with numerous streaming angiocytes.  There is little evidence of angio-organization, in part because this view may be too high or superficial in the wound, but in part because of the diffuse admixture with plasma cells.  These cells presumably are attacking, degrading, or inhibiting something in the local matrix or cell set, preventing proper wound module dynamics and self-organization.  Of interest are the large macrophages with ingested red cells.  Loose erythrocytes, i.e. “hemorrhage” are normal and expected in this stratum, because organizing uncoalesced vessels are still quite open and leaky.  In healthy wounds, a lot of this degrades and disappears.  However, in some wounds macrophages sequester the erythrocytes, degrade them within, and then they remain in situ, seen grossly as long term hemosiderin staining in the skin.  This is typical of venous ulcers and various others, and it is not surprising here due to the intense vascular stasis and congestion resulting from repetitive microthrombosis.  Whether these hemosiderin laden histiocytes are relevant to the issue of chronicity and auto-sensitization is unknown, but it does reveal that macrophage activity is significant in this wound, and may be part of the long term immune recognition and sensitization that has obviously taken place, as evidenced by the numerous plasmacytes.  Near left:  a wider view from a somewhat deeper zone in the same wound.  Cylindrical vascular structures have formed, the largest one conducting blood, but they are poorly organized, and overall expected wound architecture is disorganized and imprecise.  The entire field is infiltrated with plasma cells and some lymphocytes.

 

One of the core issues of CAP and immunopathic wounds is that latter phase impaired wound healing cannot be separated from acute phase active injury.  The ongoing active injury is the chronic inflammation, triggered by autoimmunity against cellular components (which was first created by prolonged acute inflammation and necrosis due to an underlying primary disease, in this case a hypercoagulopathy).  Latter inflammation and immunity are targeted against stromal elements, meaning ipso facto that they are targeted against the wound healing machinery.  Thus, in autoimmune wounds, impaired wound healing and chronic inflammation are conjoined, with or without some acute inflammation, with or without some degree of persistent thrombosis and necrosis, and with varying degrees of impairment against the reparative wound module and its elements.  To the extent that acute inflammation and thrombosis are continuously renewed, the whole process becomes perpetuated and more entrenched.  In the examples shown, it is easy to see histologically this conjoined set of abnormal cells, all jumbled together, all mutually doing things to each other that ultimately inhibit the wound.

 

This patient did heal with a typical program of anticoagulation and skin reconstruction with a regenerative matrix.  However, prior to that it was refractory to basic care.  Persistent active inflammation and necrosis in spite of treatment, along with failed wound healing all meant that there was persistence of the pathological state, with hypercoagulopathy being the primary “pathogen”.  However, had hypercoagulability been the only adverse factor, then anticoagulation alone (along with other basic care) would have sufficed to heal the wound, as it does for many hypercoagulable ulcers.  In this case, something else was also present sustaining and complexifying the wound and its responses to treatment – chronic auto-immune lympho-plasmacytic inflammation.  As can be seen in all of these cases, untangling the interconnections of acute inflammation, chronic inflammation, thrombosis, and their effects on subsequent wound healing  becomes difficult, because this whole interactive mess IS the intrinsic disease of wound healing.  As we will see in Part 3, the physics of complex systems explains why it cannot be so easily untangled.

 

 

51

In the preceding few slides we looked at how primary hypercoagulability and other primary causes of injury and inflammation lead to sustained primary inflammation, a precursor to auto-immunization and chronic lymphoid inflammation.  We now must show how these states explicitly cause stromal fibro-vascular auto-sensitization which then leads to wound healing impairments and systemic connective tissue disorders.  To begin, here is a reminder that wound repair is based on 2 cell types and their structures – fibroblasts and angiocytes, and vessels and connective matrix.  It is these elements which are caught in the fracas of sustained inflammation, putting them in harms way of auto-sensitization.

 

All injury and inflammation trigger repair.  The mesenchymal component of normal wound healing is the proliferative wound module of post-inflammatory repair.  This depends on just two cells, histio-fibroblasts & vascular angiocytes, which create the vascular and connective structures which constitute the new stroma.  Top:  three views of angiocytes and vessels.  Left, loose angiogenic cords and young streaming angiocytes in the aminoglycan angio-attraction layer.  Center, early organized vessels with still unsettled angiocytes, but conducting erythrocytes, at the aminoglycan-collagen boundary.  Right, fully organized and maturing vessels in the deeper fibrous layers of the wound.  Middle:  three views of fibroblasts and connective matrix.  Left, young fibroblasts in loosely organized fibrillar matrix of the histio-organization stratum.  Center, dense collagen trapping sequestered mature fibroblasts in deeper strata of the wound.  Right, maturing scar with remodeling of fibers due to chronic maintenance functions of the embedded fibroblasts.  Bottom:  three views of composite fibro-vascular scar.  Left, young scar, with still loosely organized matrix and vessels, in the early healed wound.  Center, fully proliferated scar, dense with collagen and vessels, without fibrous interspaces or compliance.  Right, maturing scar, regaining a histological architecture tending toward normal dermis or fascia.  Angiocytes and fibroblasts, vessels and matrix – these are the only two cells and structures of the generic stroma and of scar, which is nothing more than the stroma restoring itself after injury.

 

 

52

. . . and a final slide before showing how states of sustained acute inflammation cause stromal fibro-vascular auto-sensitization with subsequent wound healing and connective tissue disorders.  This slide explains more thoroughly why normal one-shot responses to injury do not cause the appearance and recognition of stromal auto-antigens and subsequent sensitization.  It is all related to the separation in time and space of the various major events and cell populations which appear in the integrated response of injury-inflammation-repair.  Stromal auto-sensitization occurs when the various events and populations, including the later abnormal “chronic” lymphocytes all become stirred or mixed into the same soup or strata of the wound.

 

Left:  a typical healthy open wound, a standard vertical view showing the various time- and sequence-dependent strata of normal healing. (see slide 6 and Part 1).  The strata are designated here as plasma protein and acute inflammation (pp-ai), aminoglycan and angio-attraction (gag-attr), angiocyte vertical migration zone (gag-vmig), the angio-organization and histio-attraction layers (org), and then the organized fibroblast-connective strata are grouped together (conn).  Adjacent to the photo and scale are four bars representing the distribution and density of certain elements:  (1) acute inflammation (neutrophils, mononuclear leukocytes, macrophages);  (2) active angiocytes (migrating and re-assembling, as opposed to fixed angiocytes in mature vessels);  (3) active fibroblasts (organizing and making new matrix, as opposed to fixed fibroblasts trapped in mature connective tissue);  (4) time (days, from 0 to 7).  Recall that the vertical anatomy of an open wound is also an archaeological dig into the events of the past so many days.  The 0-7 day scale shown is what would be happening in a normal healthy wound.

 

Acute inflammation is the initial response to the injury.  If it is a normal healthy one-shot response, then it should tail-out by 3-4 days.  We see this in the wound as neutrophils which are dense at the top and then disappear within the angio-organization layer.  Active angiocytes appear in the aminoglycan upper layers as migratory spindle cells and in early phases of re-assembly.  They become fully organized in the angio-organization layer, where they also serve as the mitotic source cells for new angiocytes that must migrate to higher strata.  Fibroblasts are starting to appear at this level as well, in the early phases of migration and connective proteogenesis.  Below this level, in the histio-organization layers, new vessels are mature and angiocytes are no longer in an active phase.  Fibroblasts are at their peak of productive output and organization, and they too become settled and mature in the strata below what is seen at the bottom of this photo.

 

Neutrophils are dense in the inflammatory layer.  This is where injury, platelets and thrombosis, and acute inflammatory signaling are all occurring.  This is where host defense and protection form the ambient world is occurring.  This is the plasma layer, the natural home of leukocytes.  In the deeper parts of the aminoglycan zone, where early vascular organization is starting, neutrophils are present, but they are usually marginated in young vessels, and migrating out and upward to where they are needed.  This is simply the disembarkation point for the neutrophil troops to start marching to the front lines, but they have no inherent functions at this level.  Going deeper in a healthy wound, neutrophils have no business – and no presence whatsoever – in the underlying histio-attraction and organization layers.  Thus, neutrophils and acute inflammation have a moderate overlap with angiocytes in the upper aminoglycan strata, a weak overlap with young vessels in the lower aminoglycan strata, and no overlap at all with fibroblasts and connective matrix.  While monocyte-macrophages are far less numerous than neutrophils, as acute inflammatory leukocytes the same patterns apply, including the limited overlap patterns with the repair module cells underneath.  Translated into time rather than spatial coordinates, acute inflammatory leukocyte one-hot profiles peak at one day, then tail-out around 3 days.

 

Angiocyte migration is evident by 2-3 days, and early vessel organization is present by 3-4 days.  Grossly, clinically, this correlates with the earliest appearance of “granulation tissue” on a healthy wound surface as signs of inflammation are subsiding (edema, erythema, pain).  Like everything else, angiocytes and vessels have their own one-shot ramp-up-&-tail-out dynamics, subsiding (5-7 days) as active vascular organization matures and new vessels become normal vessels with normal cell sizes, geometries, metabolism, and blood conduction.  The same is true for histioblast-fibroblasts and the connective protein matrix, starting the ramp-up at 5-6 days, and tailing out over 7-10 days or longer.  The time estimates for these events are approximate (depending on location on the body, age of the host, health and co-morbidities, and assuming that the injury was a well-defined one-time event).  However, the inter-dynamics between these populations, their scale-independent geometries and topologies, they way they overlap with each other is true regardless of specific times.  Regarding angiocytes and fibroblasts, they are both part of the proliferative repair module, they are the two constituents of the generic stroma which is being restored, and they are both the targets of auto-immune sensitization.  The fact that they have their own sequential one-shot cusps is of vital importance to normal wound-healing physiology, but for the sake of understanding the origins chronic lymphoid inflammatory pathology, they can be viewed as a coordinated unit.

 

In summary, repair cells and structures (later, lower) normally stay separated from acute inflammation cells and media (earlier, higher) by time and by anatomical space.  The normal wound is a highly structured piece of anatomy that allows the defense system to operate in the ‘war zone” at the top of the wound.  The repair events take place in the friendly territory behind the front lines.  The normal anatomy of a healthy wound ensures that the front line defenses never really “see’ nor interact with the repair events behind.  Obviously, if the defensive front lines broke down, the body could be overwhelmed by xenobiotic invaders, so the importance of the acute inflammatory front line cannot be overstated.  However, it is also important that neutrophils stay where they belong, because otherwise adverse events happen.  Neutrophils are inherently defensive and destructive.  Unlike lymphocytes which have target-specific memory, neutrophil responses are generic, preprogrammed, and heuristic, beating up anything that gets in their way that they do not recognize.  If they are in the wrong strata, then they see things that they may be unfamiliar with and the wrong (autogenous) things can get attacked.  Furthermore, the activities of acute inflammatory leukocytes can ultimately lead to the sensitization of lymphocytes which eventually make and remember targeted antibodies against specific antigens (providing for more defensive speed and accuracy the next time that a specific enemy is encountered).  If acute inflammation is chewing up the wrong stuff, like angiocytes and fibroblasts in the repair strata, then lymphoid sensitization against autogenous elements is a risk.  The time and space separation of acute inflammation from repair, even within the narrow bounds of just a few days and a millimeter or two, is a crucial aspect of normal wound anatomy and physiology that preserves the health of the wound and of the host.

 

Problems happen when the strata and events of injury-inflammation-repair get stirred and mixed up, allowing cells and structures and activities which should be separated by time and space a chance to mingle and intermix.  When non-specific neutrophilic defenses have a chance to “see” the repair elements underneath, then the repair elements become just another target for the neutrophils, eventually leading to lymphocytic auto-sensitization against these elements.  How is that the wound can get jumbled and disorganized so that abnormal admixture can occur between strata and cells?  It happens when there is some sort of abnormal re-triggering, feedback, and sustentation of the wound via repetitive injury, thrombosis, or inflammation.  These dynamics were explained on slides 46 & 47.  The implication there was that disorder and chaos are timewise dynamics, with the wound phases all becoming concurrent and simultaneous.  However, as this timewise confusion of events unravels, the same thing is happening to the spatial organization of the wound, with the various well-defined strata losing their individual identities as inflammatory and repair cells, structures, and matrix start to intermix.  The general effect is twofold.  First, there is a general inhibition of repair events as defensive leukocytes and acute inflammatory chemistry impede, damage, suppress, or inhibit the ability of repair cells to function.  Second, the systems that allow acute inflammation to identify and process antigens for the sake of immunity – “memorizing” the defense – can now be directed against autogenous repair elements that are normally not seen by the defenses, leading to stromal auto-immunization which further disrupts the activities of the repair system.

 

Right:  a leg ulcer in a patient with polyarteritis nodosa.  The inflammatory infiltrates are largely neutrophils, although plasma cells and lymphocytes are also present.  However, rather than being at the top of the wound where they belong, the neutrophils are present throughout, especially concentrated around vessels.  There are no old blood vessels in this area (other than the sclerotic one at bottom right), just regenerative new vessels in what would otherwise be angio-organization strata.  Attempted angiogenesis is mixed with intense acute inflammation attacking those new vascular loci.  The diffuse distribution of the neutrophils means that new wound then new angiogenesis then new inflammation is occurring or being perpetuated everywhere.  Remnants of normal dermis are at the bottom, but above that there is little organization or distinction of different structures or strata, with acute inflammation extending deeply into the whole process.

 

Center:  an ulcer that occurred spontaneously in a previously healed skin grafts of the abdomen.  The history is on slide 57, where you can also see the active dissolution of the epidermis at the margin of the ulcer caused by acute neutrophil activity triggered by dense lympho-plasmacytic infiltrates within a vascular locus.  On this image, focus on the mixing of the wound.  The normal strata are disrupted.  There is a slight top layer consistent with the normal plasma protein and acute inflammation stratum, and at the bottom there is a more normal young fibrous matrix (horizontally oriented zone).  However, most of this view in between is rather homogeneous where there should be defined stratified anatomy.  Aminoglycan strata are hard to discriminate from plasma zones and young fibrous zones.  Streaming migratory angiocytes are abundant, but the vertical migration zone is gone, and established “granulation tissue” types of vessels are present at all levels, right to the very surface.  Neutrophils are everywhere, at all levels, and so too are mononuclear leukocytes (in correspondingly much smaller numbers), but so too are a rich infiltrate of lymphocytes, plasma cells, and eosinophils.  Reflecting this indiscriminate cell admixture, there is destruction, inhibition, and disorganization everywhere, with no respect to the separation or stratification of time and anatomy that characterize normal wound histology and physiology.

 

 

53

The last several slides, 46 – 52, focused on the nature and causes of sustained inflammation.  Repetitive injury, thrombosis, and various forms of acute inflammation all lead to sustentation and self-perpetuation of the whole process, eventually causing abnormal admixture of inflammation and repair populations in time and space.  We have already discussed that this eventually causes lymphoid auto-sensitization.  On this slide, we will look more closely at the consequences of sustained inflammation and how that leads to auto-immunization, specifically how auto-immunity results against stromal and connective tissue elements, including the wound.

 

The text of this slide is simply a reprise of slide 40.  The main points made were:  (1)  Auto-sensitization depends on recognition, processing, & presentation of auto-antigens to lymphocytes.  (2)  One general way this happens is by exposure of occult & sequestered antigens.  As a consequence of acute inflammation, endocellular and endonuclear debris is released which can lead to the formation of intra-cytoplasmic and anti-nuclear antibodies.  Some of these are generic anti-cellular antigens, but some will be directed against tissue-specific antigens, as occurs with hidradenitis and uveitis.  Some can also cause antigen cross-reactivity, such as seen with latex & spina bifida.  (3)  Another general way that auto-immunity occurs is by sensitization against normally open and exposed non-antigenic chemicals that become modified by opsonization or (inverse) haptenization, such as occurs with rheumatic carditis & parf and with Reiter’s syndrome.  (4)  Once auto-antigens are created or exposed by acute inflammation, they are processed by monocyte-macrophage-histiocytes and then presented to chronic lympho-plasmacytic immune cells.  The creation and exposure of cellular or matrix auto-antigens is unlikely and irrelevant during normal physiological one-shot injury-thrombosis-inflammation-repair.  However, these events become ever more likely as inflammation is sustained, eventually inducing a state of chronic auto-immune lymphoid inflammation.

 

Focus now on the issue of cell and tissue specific debris and antigens.  The connective tissue disorders have a variety of distinctive “selective target” sensitizations, such as uveitis, urethritis, and sialoadenitis.  Tissue specific antibodies are crucial to the syndromic expression of many auto-immune diseases.  For example, the “rheumatoid factor” is a common auto-antibody seen in many auto-immune states, but the anti-ccp is considered quite specific for rheumatoid.  What distinguishes rheumatoid from other cvd-ctd is its primary target and effects against synovium, so there is something quite specific about the target tissue and the distinctive antibody.  These concepts can be further illustrated via hidradenitis suppurativa, an acne involving apocrine glands.  Like any acne, early disease starts with ductal hyperplasia and obstruction causing micro-abscesses.  However, chronic active disease is marked by lymphoid infiltrates around the glands, an auto-immune component of the disease that is recognized as having a role in perpetuating the apocrinitis.  It should not be surprising that auto-immunity occurs, since the micro-abscesses and glandular “rupture” will expose sebaceous and other epithelial antigens repetitively and chronically to the mesenchyme.  This is just like hypercoagulability in that it creates the perfect chronic mix of sustained acute inflammation and macrophages, novel or occult antigens, and then lymphocytes and chronic inflammation.  For hidradenitis, sensitization is against the glandular epithelium, leading to chronic apocrinitis and persistence of the acneform state.  For hypercoagulable states, sensitization occurs against vessels, leading to further arteritis.  What is interesting though is that once auto-immunization occurs, it can have global effects.  The patient shown on slide 40 had active untreated hidradenitis for over thirty years.  Excision of the affected areas cured the problem.  In so doing, many other symptoms that she had lived with for years suddenly resolved.  Along with general malaise, she had symmetrical large joint polyarthralgias, sore wrists and hands, morning stiffness, and sicca syndrome.  All of this evaporated as the post-excisional wounds healed.  This story is not unique, neither among hidradenitis patients nor among any patient with a chronic inflammatory state.  Since our interest here is on the wound and wound repair, consider next the mechanisms whereby auto-sensitization can occur to wound specific structures and debris.

 

After any injury, the generic response is the inflammation and wound healing process.  Wound healing is simply the generic stroma restoring itself for the sake of restoring structural integrity of the body.  Multicellular life, with its division of labor between specialized cells, tissues, and organs, has two quintessential requirements for existence.  (Unicellular species worked out the basic issues of life itself;  we are talking here about what is then required for multiple cells to assemble into a composite lifeform.)  First, multicellular life needs a structural framework that cells can hang on to.  Second, the organism needs a distribution system that allows all cells to send and receive biochemicals to each other for the sake of communication, functional integration, and metabolic sharing.  Even in a species as primitive as a jellyfish, ectodermal cells in the tentacles are tasked with capturing food, entodermal cells in the gastric pouch are tasked with digesting food, and muscle cells in the mesoglea are tasked with moving the organism here and there to find food.  There must be a way for the muscle and ectodermal cells to get their fair share of nutrients from the digestive cells.  The vascular extensions of the gastrovascular cavity are the distribution pathways that allow the digestate to circulate.  These are the evolutionary precursors of our own blood vessels.  Regardless of how complex multicellular life has become in the higher chordates, it all rests on two mandatory underpinnings of multicellular life – a framework to allow it all to cling together, and a vascular distribution system to allow specialized cells to share substrate and metabolic products.  In animals, the structural framework that ascended was based on collagen and connective proteins.  The standard vascular distribution system that developed was a space-driven fractal r-net of regulated density governed by closed loop control between parenchymal cells and the vascular cells – i.e. our blood vessels.  (There is more about this in the epilogue after slide 59.)  Without a structural framework and a vascular distribution system, complex self-contained multicellular life as we understand it could not exist.  The generic stroma is nothing more than this basic fibro-vascular infrastructure that allows multicellular organisms to hang together.  It is the framing and utilities of a new building, the chassis and bus wires of an electronic machine.  Everything else that makes that building a home or office, that chassis a computer or television, or that stroma a bivalve mollusk or a bipedal mammal occurs because specific parenchymal elements get pinned to that framework.  When an injury occurs, the response of the host is to create new stroma to hold everything back together.  That is what wound healing is, just the reformation and restructuring a generic stroma.  It is based on two, and only two, general elements – fibroblasts which make the structural matrix, and angiocytes which make the vascular distribution system.

 

We have made the case that under conditions of sustained acute inflammation, that pathological conditions are created.  The wound gets stirred, cell populations get intermixed, and the load of inflammatory debris goes up, including the exposure or creation of potential auto-antigens.  This brings us to the question, what auto-antigens?  What is present in the stew of sustained inflammation that can be revealed or altered enough that the body’s defenses will perceive it as unnatural and worthy of immunization?

 

In principle, a wide variety of chemicals could be the antigens, coming from any and all tissues, depending on where, why, and other circumstances of the sustained inflammation.  However, our focus here is on the generic injury-infarct-wound.  What is in the sustained generic wound?  Acute inflammation interspersed with the stroma itself.  Acute inflammation leaves behind its own degradative debris (leukocytic “poly dust”).  It also leaves behind degradation debris of the generic stroma – angiocytes, fibroblasts, vessels, and matrix – that have been damaged and renewed, damaged and renewed.  Also in the mix are the active and alive fibro-vascular structures and cells of the stroma.  The antigens being released or exposed in the sustained acute wound are in, on, and derived from the stroma.  The debris that macrophages are cleaning up are the degraded stromal elements and antigens.  When lymphocytes start to appear and macrophages have opportunities to present antigens to them, it is stromal degradation products which are exchanged.  Whether these are occult endocellular chemicals or else open matrix chemicals which have been modified-opsonized-haptenized, the net effect is the same.  Once lymphocytes and plasma cells have become immunized against one of these antigens, you are now immunized against your own stroma.  And the stroma is not unique to the wound.  On the contrary, the wound is just a specific instance of “stroma”, repairing itself after disruption.  Thus auto-immunization against stroma means negative effects on the wound, but it also means effects on the general stroma throughout the body, thus becoming the collagen-vascular diseases and connective tissue disorders.

 

At this point you might ask, “what if there is no wound? . . . what if the patient just has some minor trauma or synovitis or a little blood clot with a minor microscopic infarct? . . . do the same events happen if there is no real wound?”  The answer is twofold.  First, we are not talking about incidental events – they are safe from auto-sensitization.  Only sustained conditions have this risk.  The second answer is that these scenarios are all wounds.  Any little thrombus and infarct will trigger inflammation or necrosis.  Any allergy-atopy event will trigger acute inflammation.  Any flare-up of a granulomatous or atypical infection, any traumatic bump or ding, any inflammatory event due to any primary event – all – all will result in the cycle of injury recognition then thrombosis then acute inflammation then repair.  Each and everyone of these events, by virtue of the fact that they trigger the inflammation-then-repair process is ipso facto a wound.  And the key to stromal sensitization is in that fact, that repair events are triggered, meaning that angiocytes and fibroblasts must show up.  MUST.  Any primary thrombosis, infarct, injury, inflammation, allergy, immune event, etc. – any and all trigger the sequence of events that leads to the repair phase, and angiocytes and fibroblasts must be invited.  Their presence is unavoidable and inescapable.  So, when the wound becomes sustained, and cells and structures and strata are mixed, and phagocytes are processing lots of debris and trying to feed it to immune lymphoid cells that are appearing, then angiocytes and fibroblasts are what is caught in the melee.  If the sustained problem is exposing potential parenchymal antigens because the process is in the liver or thyroid or stomach, then sensitization to specific organs might occur (and there are certainly many diseases of parenchymal auto-immunity).  But regardless of where the problem is, anything that triggers injury-infarct-inflammation must perforce trigger angiocytes and fibroblasts, vessels and connective matrix, and thus these cells and structures will ALWAYS be in the center of those activities which induce tissue auto-immunization.  Thus, stromal auto-immunization is almost inescapable under the right circumstances of sustentation or chronicity, which is why wound healing problems and connective tissue diseases are not such rare or unusual disorders.

 

 

 

Summary of sustained acute inflammation and the induction of stromal auto-immunization

We have been looking at the chain of events starting with a primary state of injury-thrombosis-inflammation, then sustained acute inflammation, then stromal auto-sensitization, then clinical sequelae of auto-immunization.  This process does not happen with normal one-shot injury and acute inflammation, because debris loads are smaller and cell populations do not get mixed.  This pathology occurs when there is sustained acute inflammation, which can result from any number of underlying primary disorders.  This sustained state exposes various sequestered endocellular chemicals or creates novel chemicals from open matrix, leading to autoimmunity which occurs when the immune system “sees” these antigens.  The generic stroma is not only caught in the middle of this sustained inflammation and sensitization, but the presence of angiocytes, fibroblasts, and their derivative structures is an inevitable consequence of any of the primary wound inducers (injury-thrombosis, inflammation).  The obligatory presence these stromal elements means that angiocytes and fibroblasts, vessels and matrix are in harm’s way regarding immune recognition, eventually leading to stromal auto-immunization.

 

This pathology also lets us answer the question what came first, thrombosis or inflammation, hypercoagulability or autoimmunity, the thrombophilic disorder or the connective tissue disorder?  The thrombotic disorder is the cause – or the chronic primary infection, or the allergic-atopic state or the repetitive trauma – they all come first, and the connective tissue disorder is a consequence of the sustained state of injury-thrombosis-acute inflammation that then leads to lymphoid auto-immunization.  The more severe and more sustained the primary disorder, the greater the chances of auto-sensitization.  That is why so many hypercoagulable patients have auto-immune disorders, be it an overt classifiable clinical syndrome, or else a mixed set of autoimmune symptoms, or else just positive laboratory serologies.  When patients with factor V Leiden or prothrombin 20210G genetic mutations have rip-roaring rheumatoid or lupus, the cause-and-effect connection is real.

 

Note that the lymphocytes and plasma cells which are the agents of auto-immunity are not inherently disordered or diseased.  They are behaving properly in response to the conditions that they are presented with (more on this in Part 3).  The whole immune system is behaving the way it is meant to, but it gets confused about who the enemy is when primary acute inflammation is sustained, rather than being a one-shot, and wound structures and phases then become corrupted and intermixed.  Once stromal auto-immunization occurs, with vessels and connective matrix as the targets, then protean clinical sequelae can ensue.  Chronic lympho-plasmacytic inflammation can appear in the wound, disrupting its functions.  Systemic effects and disorders of the generalized stroma lead to the connective tissue collagen-vascular disorders,  On the following few slides, we will look specifically at how wound healing is altered in the presence of the autoimmune connective diseases, and then make the formal connection between autoimmunopathy, connective tissue disorders, and altered wound healing.

 

 

 

54

In the last several slides (46 – 53), we looked at how the intermix of acute inflammation, sustained acute inflammation, and chronic inflammation occurs, induced by some sort of sustained primary disease or injury that creates repetitive inflammation, thrombosis, necrosis, or allergy and immunity.  We looked at the histopathology of that cell mix in chronic non-healing pathological wounds, and why that cell mix is at variance with the normal spatial and temporal distribution of cells in a wound,  We then addressed the consequences of that cell intermix, leading to stromal auto-immunization.  Since the wound is nothing more than the fibro-vascular stroma putting itself back together after injury, pathologies of the stroma should affect wound healing, and that is precisely what happens.  In addition to their clinical and dynamical effects, immunopathic and other chronic and pathological ulcers have distinctive histological variances from normal wound healing (in addition to signs of the primary pathology).  Seen here is a sampler of effects.  Other examples follow on the next few slides, followed by a more comprehensive listing of observable changes in immunopathic wounds.

 

Complex inflammation profiles:  shown is a chronic non-healing popliteal ulcer, free of significant gross inflammation, but with diffuse neutrophil infiltrates in the tissues and packed in organizing vessels.  Also visible is an angiocyte mitosis, which were numerous, as many as might be seen in some cancers.  Lympho-plasmacytic infiltrates:  these should be familiar by now, after looking at the examples on preceding slides.  Lymphocytes have little presence in a normal healthy one-shot wound, and plasmacytes essentially none.  Dense infiltrates are of pathological significance and correlate with wound refractoriness.  Acute-chronic population admixture:  likewise, we have just looked at examples.  It is the intermix of the acute (neutrophilic) and chronic (lymphocytic) cell populations which assures perpetuation of the wound.  Failed and missing wound strata:  in the sample shown of a particularly long standing and refractory ulcer, the inflammatory and plasma strata at the top give way to a fibrous histio-organization layer without any overt aminoglycans or mid-strata of the wound.  Bizarre cell kinetics and disorganization:  an organizing vascular locus is seen with disoriented misdirected angiocytes and a plasma protein cuff that sits inside rather than outside.  Epithelial arrest:  a hallmark of many non-healing wounds, this is one feature that is easy to observe grossly.  The acute abruption of the epidermis, without any migration or squamous metaplasia, is a distinctive feature of arrested wounds.

 

 

55

This and the next 3 slides will illustrate aberrant wound histology in patients with a priori connective tissue diseases, underlying causative disorders, or localized wound auto-immunization under conditions of chronicity and sustained injury.  Some of these examples illustrate acute destructive events “caught in the act” of active ulceration, whereas others are samples of chronic non-healing wounds illustrating wound healing impairments from the chronic and admixed inflammation.

 

Shown here is an abdominal wound in a 53 year old woman with lupus since age 18.  The patient minimized her lupus history and symptoms, and she was on no active treatment.  However, she had a variety of features such as a malar rash, sicca, arthralgias, malaise, etc.  She was also chronically short of breath from an undiagnosed non-emphysematous cystic degenerative lung disorder which also proved to be due to lupus.  A week or two after otherwise uncomplicated abdominal surgery, she started to develop active necrosis of the scars and wound margins.  The active ulceration was of the inflammatory-lytic pattern.  Biopsy, as shown here, confirmed that this was a lupus related event.  With regard to wound pathologies, the dissolution of new and old scars is a not-too-unusual distinctive complication of systemic lupus erythmatosus.  She was started on steroids, and all of her symptoms improved, and the wounds stopped dissolving and then healed after a few weeks of basic topical care.

 

Left:  this view comes from the skin at the margin of active dermal lysis and ulceration.  It shows a vascular locus within the dermis.  The dermal architecture was normal and free of acute inflammation.  However, most vessels in the dermis had infiltration with lymphocytes and plasma cells.  The lymphoid infiltration became dramatically intense, as seen here, at the margin of ulceration.  In this view, large pale angiocytes look intrinsically normal, but are somewhat disorganized among the lymphocytes.  The infiltrate is predominantly lymphocytes.  Right:  seen here is the nearby zone of active lysis and ulceration.  Note that this pathology was acute but not sudden (sudden, as might happen with a vascular infarct or suppurative abscess).  The “slow burn” of lysis over a period of two weeks allowed wound healing events such as angiocyte proliferation and migration to occur.  Thus this view does show migratory angiocytes and early vascular structures.  Intermixed are neutrophils, poly dust, monocyte-macrophages, eosinophils, lymphocytes, and plasma cells.  It is another “perfect storm” of reactive destructive inflammation, wound detritus, opportunities to process antigens and trigger sensitization, and then have chronic immunized cells retrigger these events, destroying tissue and disrupting healing.

 

 

56

Left:  is an 81 year old woman with a chronic refractory ankle ulcer following radiation for melanoma.  The tibialis anterior tendon was also open and shearing in the wound.  Skin reconstruction was done with a regenerative matrix.  Rapid total re-ulceration occurred unexpectedly, without any seeming provocation.  This cycle and events repeated, always with a typical inflammatory-lytic pattern of ulceration.  The images are from a biopsy at the edge of active ulceration during the latest rapid re-ulceration.  There was typical necrosis and non-specific acute inflammation in the ulcer itself.  However, the dramatic findings were the lymphoid infiltrates, occurring in the ulcer and in the skin near the wound margins, as seen here.  Far left:  essentially every vessel and vascular locus in the scar or dermis at the margins had an intense infiltration with lymphoid cells, mostly plasmacytes.  These infiltrates lessened and disappeared at deeper layers, a few millimeters down, but near the epidermis and wound surface, virtually no vessel was spared.  Near left top:  is a close view of the infiltrates, mostly plasma cells densely packed around blood vessels.  Near left bottom:  is another close view, near the edge of active ulceration.  The vessels traversing the lymphoid aggregates are laden with neutrophils.  This was an unusually difficult ulcer to heal and keep healed,  This is another case (see slide 50-right) where there was more to the wound impairment than just the nominal history of radiation.  One can speculate on the origins of the lymphoid sensitization in this case, but radiation injury, sustained acute inflammation, and prolonged time probably all had a role.

 

Right:  is a 65 year old woman with a chronic refractory leg ulcer.  History and laboratory profile were consistent with a hypercoagulable state, and she had active rheumatoid arthritis.  Just as for the radiation case on the left, neutrophils in this specimen were generally sparse and consistent with generic acute inflammation (as opposed to the intense infiltration that would be seen with suppuration, polyarteritis, neutrophilic dermatoses, etc).  The prominent pathology is the lymphoid infiltrates around vessels and within the vascular loci.  All three of the images demonstrate the infiltrates and aggregates, made predominantly of lymphocytes with some plasma cells.  This ulcer also went through cycles of healing then re-infarction and re-ulceration over a year before finally healing and remaining stable.

 

 

57

This is a 55 year old woman who had a chronic abdominal wound over a large ventral hernia.  Her history was otherwise benign.  The plan was to get the open abdominal wound healed, let it mature for so many months, then do a definitive abdominal wall reconstruction.  Ultimately that plan was successfully implemented with good final results.  However, prior to reconstruction she went through a period in which the long-healed regenerative epithelium on the old wound started to spontaneously re-ulcerate for no overt reason or provocation.  Biopsy showed the findings illustrated here.  Steroids helped control the ulceration, and later allowed the hernia to be fixed without incident.

 

Left:  is a wide view of the edge of one of the actively enlarging lesions.  The open ulcer is at the left  The dermis or scar is inflamed in the upper strata, with a mix of acute and chronic inflammatory cells.  At center is the edge of the epidermis, and to the right the epithelium sits over “granulation tissue” of excess hyperemic vessels.  In the center and at the far upper right, note the presence of the basal layer (stratum germinativum) and the relative thickness of the epidermis.  In between, the epidermis is thinner, with loss of the basal layer.  Below this is an area of basophilia and darker cells interspersed with the blood vessels.  Right upper & right lower:  are progressively zoomed in views of this area of interest.  The lower layers of the epidermis have been eroded by a front of acute leukocytic inflammation, predominated by neutrophils, but with a fair number of eosinophils.  This acute inflammation sits above a zone of lymphoid infiltrates, recognized by their round dark nuclei.  These infiltrates have plasma cells but mostly lymphocytes.  They are interspersed within a vascular locus of regenerated immature vessels and migratory angiocytes.  It would appear that the chronic lymphoid inflammation triggered an acute neutrophilic event which is the immediate cause of the ulcer.  Why the lymphoid cells are attracted to the vascular locus presumably represents sensitization that developed in the past during prolonged periods of acute inflammation and persistent ulceration.

 

 

58

This is a 65 year old woman with a 10 year history of scleroderma-crest with other rheumatoid or mixed connective tissue symptoms, presenting with a chronic ulcer at mid leg over the tibia.  The patient has a history of thrombophlebitis and miscarriage, and she is Factor V Leiden heterozygous.  The gross findings show infarction as well as lysis, and histology of the excised wound shows acute and chronic thrombi and peri-thrombotic infarcts.  Right:  the gross appearance of the ulcer at the time of consultation.  The erythema and dermal lysis at the 6 through 9 o’clock position is a typical inflammatory-lytic pattern of ulceration, whereas the yellow fat necrosis at the base and the black shreds of dermis are characteristic of thrombo-infarction.  Center left:  is from an area of necrosis.  There is thrombus and organization in vessels.  Lymphoid cells are present, but they are few compared to the dense neutrophils.  The darker more homogeneous basophilic material is necrosis, as expected around the thrombosed vessels,  Left:  is from the wound in an area of viability.  There is no necrosis here.  Scar or dermis (pink areas) is relatively bland, without diffuse or concentrated neutrophilic infiltrates.  The basophilic nodule in the center is due to dense cellularity.  This is a vascular locus with typical hypertrophic and migratory angiocytes, dense vessels, and also some fibroblasts and young matrix, i.e. relatively normal “granulation tissue”.  However, it is heavily surrounded and infiltrated with lymphoid cells, mostly lymphocytes with some plasma cells.  While neutrophils are not especially prominent in the pink matrix areas, they are abundant within the lymphocyte-infiltrated central vessels.  Center right:  another view under the ulcerated surface.   In the pink collagen matrix areas of the dermis or fascias, mixed acute and chronic inflammation are present, but inflammatory cell density is fairly low.  (The wound had been cared for with good hygiene and topical silver sulfadiazine, so the inflammatory layer at the top is sparse and there is no suppuration.)  The dominant finding is the intense lymphoid infiltrates surrounding.  Something has attracted immune cells to the vessels.  The thesis presented here is that it is the primary hypercoagulable state which has caused repetitive opportunities for immune cells to recognize components of the vascular locus.  Once the system is auto-sensitized, some influence or activity of the lymphoid cells triggers neutrophil attraction and activation, leading to ulceration, and then interfering with healing.

 

 

59

Here is a list of common histological features and variances from normality that can be seen in chronic and pathological wounds that are due to auto-immunity, collagen-vascular disease, and chronic lymphoid inflammation.  These are changes observable with routine light microscopy and stains such as hematoxylin-eosin or trichrome.  Even more features are revealed by immuno-staining.

 

Active disease and injury:  These include signs of the primary underlying disease or injury that led to the state of sustained acute inflammation and then lymphoid immunity.  These also include signs of active injury and ulceration.  For coagulopathic states and thrombo-infarctive patterns of injury, what can be observed includes thrombosis, vascular necrosis, vascular hyalinization, and tissue necrosis and wound infarcts.  For acute phase inflammatory-lytic ulceration, active neutrophilic epidermolysis can be seen, along with generalized neutrophilic and mononuclear inflammation within dermis or other mesenchyme.

 

Acute inflammation:  Acute inflammation is present to some greater or lesser extent in virtually all wounds and injuries.  (Since the subject here is auto-immune wounds, this discussion excludes abscesses and suppuration and similar pathologies where extensive and aggressive neutrophilic inflammation is supposed to be there.)  What is implied here is not the normal incidental one-shot reactivity to the primary injury that exists in the upper wound strata, but rather the sustained acute inflammation that results from some prolonged injury, pathology, or other perpetuation of the process.  It also implies the spatial as well as timewise scrambling of the process, with admixture into other strata or cell domains where it should not normally be.  These findings include acute or sustained primary neutrophilic inflammation not due to injury or other overt exogenous provocation.  Acute inflammation can be present in deeper wound strata (the various fibroblast and connective matrix strata) where neutrophils normally should not be present (this is the spatial mixing that can lead to eventual stromal auto-immunization).  Acute inflammation (neutrophilic and mononuclear) can be intermixed with chronic inflammation (lymphocytes and plasmacytes), a distinctive aberration from normal wound healing.  Acute inflammation can be targeted against various stromal structures or strata, such as seen in non-specific leukocytoclastic vasculitis, polyarteritis and similar immunopathic arteritides, and immunopathic dermatoses and panniculopathies.  Coagulative lysis or dissolution of tissue (as opposed to infarctive necrosis) will be present in areas of neutrophil concentration or activation.  Eosinophils, as mediators of allergy, may be scattered non-specifically in inflamed areas (like the normal non-specific presence of neutrophils), but they can also be seen admixed with neutrophils in the dense forward edge of active tissue lysis.

 

Chronic inflammation:  Pathologists describe “chronic inflammation” as lymphocytes, plasma cells, and eosinophils.  As we are starting to see here, and as will be presented in detail in Part 3, the presence of these cells has serious implications and effects related to immunity and auto-immunity.  “Chronicity” in the sense of “long duration” is not the biological implications of these cells.  Nonetheless, they are late phase constituents which mark the onset of chronicity and intrinsic pathology in the wound, and they do not belong in a normal healthy one-shot wound.  Observable changes include lymphocyte infiltrates, plasma cell infiltrates, and eosinophil infiltrates.  There may be mixed “chronic inflammation” with admixture of the three cell types, but oftentimes one cell type will predominate.  Chronic vascular or perivascular infiltrates and aggregates of these cells, especially lymphocytes and plasmacytes, are a distinctive feature of the most “intrinsified” and refractory ulcers.  Diffuse interstitial lymphoplasmacytic “chronic inflammation” is seen in wounds undergoing active lysis and dissolution, and in those which are “stable” but refractory and persistent.

 

Admixture:  The significance of admixture was explained on slide 52 (and others).  During normal incidental one-shot reactive wound healing, the acute inflammation module (AI) and the wound healing module (WM) are contingent events with dependent blocks on the control loop, but they remain largely separated  in time (wound phases) and in space (wound strata).  Under chronic and pathological circumstances, that separation breaks down, and it is the admixture which is a crucial component of auto-immunization, chronic inflammation (CI), and “intrinsification” of the wound.  Histologically, this is seen as complex inflammation profiles, in which acute inflammatory cells are present in many strata, side-by-side with chronic and immune inflammatory cells.  Monocytes (AI) mix with lymphocytes (CI), an opportunity for antigen presentation.  Neutrophils (AI) are interspersed with blood vessels and fibroblasts (WM), an opportunity for lysis and disorganization of repair elements.  A dispersed “well-stirred” intermix of acute-chronic inflammation can be seen in two places:  (1) the developing ulcer, i.e. the zone of active acute necrosis and lysis, and (2) the chronic established wound where gross active necrosis is controlled, but the wound is not healing.  In areas of active ulceration, neutrophil activation and tissue lysis can also be seen adjacent to chronic lymphoid aggregates, presumably being triggered to activity by the lymphocytes.

 

Disordered proliferation:  Whatever the detailed biological reasons why the presence of chronic lymphocytic inflammation inhibits or disrupts wound healing, those disruptive effects can be seen in the failing wound.  What can be seen are (1) disorders of specific cells and structures, and (2) failure of multiple cells and structures to organize and assemble.  Regarding the appearance individual elements, what can be seen are bizarre cell kinetics (mitosis and evidence of proliferation, without cell persistence and tissue formation), cell disorganization (failure of cells to appear in the correct strata or with proper density or census), vascular disorganization (failure of angiocytes to coalesce into proper vessels and patterns), and fibrous disorganization (failure of fibroblasts to appear where expected).  Epithelial growth can be completely arrested.

 

Failed organization:  Failure of wound structures to assemble properly is manifest as a changes in the overall architecture or histo-anatomy of the wound.  This includes “blurring”, “diffusion”, overlapping, and other intermixing or loss of definition between normal wound strata.  Certain strata may be failed, unusually thin, or missing altogether.  Loss of the aminoglycan layer is common.  Since this layer is essential for normal vascular attraction and assembly, the vertical migration zone (angio-attraction and angio-organization strata) is also disrupted.  Variations or absence of the other proliferative zones (histio-attraction and organization) also occurs.  It is interesting that many chronic wounds do become progressively fibrotic as time goes on, due to slow fibroblast activity and fibroplasia in established deep strata at the base of the wound.  However, they refuse to epithelialize, and absence of the aminoglycan and proliferative strata, aka “granulation tissue” is key to epithelial arrest.  In other wounds with hypertrophic granulation tissue, these strata can be unusually thick, yet angiogenesis and fibroplasia may be disorganized.  Variations in strata means that their relative thickness and “anatomical depth” of the wound can be altered, and so too the absolute physical depth, either greater or lesser than normal or expected.

 

These aberrant histological changes are to be expected in people with CVD-CTD.  However, they also in wounds and patients with immunopathic symptoms (without a strict nosological “rheumatological” diagnosis).  They also occur in those patients with underlying primary risk factors (e.g. hypercoagulability and allergic-atopic states), and even in those with “no history” where wound appearance and behavior are altered in ways consistent with these pathological states.

 

 

 

Intrinsic wound pathologies – auto-immunity versus other theoretical diseases  

On slides 9 & 32, we asked why the connective tissue and stromal pathologies are due to autoimmune states as opposed to some other general class of disease.  Throughout this section we have established the connection between autoimmunity and the diseases of the general stroma.  However, we have yet to answer the other side of that question: why are there no common diseases of the fascias, connective tissues, and general stroma related to metabolic alterations or genetic deficiencies?  The full annotated answer is beyond the scope of this presentation, but a few basics can be explained.

 

The stromal cells, fibroblasts and angiocytes, represent evolutionary and phylogenetically ancient cells.  Multicellular life appeared about 1 billion years ago, as single celled life learned that there is strength and survival advantage in cooperative association and the division and specialization of labor.  As mentioned already on slide 53, there are two quintessential constructs needed to permit multicellular association and function: some system for holding everything together in a stable functional anatomical form, and some sort of distribution system to permit the interchange of nutrients, metabolites, and information.  In animals, the system that evolved for holding things together is based on connective proteins, the most abundant of which is collagen.  Collagen structures and anatomy became increasingly complex as life advanced, but collagen is present even in the most primitive of multicellular organisms, the Porifera, the sponges.  Evidence of a bulk transport system – a vascular system – is also seen in some sponges, and it is permanently established by the Cnidaria, the hydras and jellyfish.  Primitive invertebrates do not have a blood circulatory system.  Instead, their gut has extensions into all parts of the organism to directly deliver food, a gastrovascular cavity that handles both digestion and distribution.  Nonetheless, this is a vascular distribution network, and our blood circulatory vascular system is a direct evolutionary descendant of the gastrovascular cavities of the Cnidaria.  Only one gene and its product are required to govern the formation and morphology of this vascular distribution system, and that gene is VEGF (vascular endothelial growth factor; well, actually 2 genes, VEGF and VEGFR, its receptor).  Genetic sequencing allows us to recognize the specific nucleotide “spelling” of each gene, and jellyfish and human VEGF and VEGFR are highly homologous, spelled almost exactly the same.  Also, the observable functions of VEGF on vascular cells and structures are identical for jellyfish and humans.  As life evolved, many new genes appeared, old ones disappeared, and many morphed and changed.  But, over eons of multicellular evolution, VEGF and its functions are unchanged.  Why?

 

Why has VEGF remained unchanged?  Because multicellular life is wholly contingent on a bulk transport vascular distribution system.  Without it, complex multicellular life is categorically impossible.  Once this core infrastructure element of life had been written, it needed no revision, because it worked so well.  What this means is that for the few quintessential genes that permit multicellular life, there is little room for mutation.  VEGF is so crucially essential for life that without it, an embryo unconditionally cannot develop – period - exclamation.  (In some experiments, VEGF knockout is categorically lethal; in other experiments, other angiogenic factors can keep a conceptus alive, but with significant developmental defects.)  Whatever VEGF mutation might occur in a gamete, it cannot be propagated, because a conceptus simply cannot develop beyond just a few cells (the gastrula stage).  The basic stromal structure of multicellular life – connective matrix and vascular distribution system – was worked out from the beginning, 1 billion years ago.  The formation and function of these structures and cells has been thoroughly tested and debugged, meaning they are essentially error free.  These core infrastructure functions of multicellular life are so consistently conserved and dependable, so thoroughly robust, that there are no major genetic or metabolic disorders of the stroma, and consequently none of the mesenchymal component of wound healing.  Because these cells and structures have extraordinarily few intrinsic disorders, when wound healing goes bad it reflects some sort of exogenous disorder or damage, some sort of deprivation or predation affecting these cells and structures.  These extrinsic conditions include non-specific non-targeted conditions such as trauma, ischemia, toxicities, and severe metabolic-nutritional inadequacy.  It also includes targeted damage directed against these cells and structures, and as we have seen here, that means auto-immunity and lympho-plasmacytic inflammation.

 

 

 

60

This presentation was organized to show first the anatomical and tissue pathologies that result from the autoimmune diseases, and how they affect primarily the fibrous and vascular stroma, and thus why they are called “collagen-vascular diseases” and “connective tissue disorders”.  We then looked at why autoimmunity develops in the first place – due to a sustained inflammatory state that unmasks immunogenic antigens in the connective and vascular stroma  - and thus why it targets the connective-vascular stroma.  We then demonstrated that autoimmune wounds have altered histological findings, confirming that wound healing itself is pathological.  We will now take the final step of putting these premises together to show the connection between autoimmunopathy, connective tissue disorders, and wound healing, and why wound healing is sick in these disorders.

 

The connections between these states is derived from a pair of simple syllogisms.  At first, it might seem that a simple mathematical abstraction of these complex pathophysiologies and clinical syndromes is an injustice to nature and a disservice to the medical arts and sciences.  But the syllogisms are real, and like most systems in nature, these concepts can be reduced to simple principles.  The dynamics of complex systems and the physics of self-organization are discussed in detail in Part 3, after which the simplicity and mathematical beauty of these syllogisms might be better appreciated.

 

To state the connection between autoimmunity, connective tissue disorders, and pathological wound healing, we must start with three axiomatic predicates.  (1)  All mesenchymal stroma is composed of 2 cell types and their derivative structures:  fibroblasts and angiocytes, blood vessels and connective matrix.  (2)  Wound healing, the proliferative mesenchymal wound module, depends on 2 cell types:  fibroblasts and angiocytes, to remake vessels and matrix.  (3)  The target of mesenchymal autoimmune attack is the collagen-vascular stroma, i.e.  fibroblasts and angiocytes, blood vessels and connective matrix.

 

Assertion 1:  The collagen vascular connective tissue disorders are a disease of wound healing.

Basic syllogism :

A - Diseases that affect the collagen-vascular connective stroma ipso facto affect the mesenchymal wound module.

B - The autoimmune CVD-CTD’s are diseases that affect the collagen-vascular connective stroma.

Conclusion:  Therefore, the CVD-CTD’s are diseases of wound healing.

 

Assertion 2:  Intrinsic wound chronicity is a collagen vascular connective tissue disorder.

Basic syllogism :

A - Autoimmune diseases that affect the collagen-vascular stroma are the CVD-CTD’s.

B - Intrinsic lymphoid wound chronicity is an autoimmune disorder that affects the collagen-vascular connective stroma.

Conclusion:  Therefore, intrinsic wound chronicity is a CVD-CTD.

 

To reiterate:  the connective tissue disorders are diseases of wound healing;  intrinsic wound chronicity is a connective tissue disorder.  Recall what we mean when talking about “intrinsic wound chronicity”.  It is that state where some condition of sustained acute inflammation has led to stromal auto-immunization and infiltration with lymphoid cells which continue to sustain wound healing impairment or inhibition even after the primary disorders have been alleviated.  Why this state becomes intrinsic, perpetual, and hard to break is the subject of Part 3.  Connective tissue disorders and intrinsic wound failure are essentially the same thing, different facets or avatars of sensitization or predation against the cells and structures of the stroma.  The same tissues that are the targets of the collagen-vascular diseases are therefore apt to become the casualties of wound healing, the places where skin ulcers and musculoskeletal ruptures occur, the places where surgery is likely to have complications, the places where wound healing is retarded or incompetent.  The adverse effects of stromal auto-immunization and the connective tissue disorders can affect all phases and states of the wound, because regardless of what phase it is in, it is still just stroma.  This causes one of the most perverse and pernicious aspects of auto-immunopathic wounds compared to other diagnoses, the duality of their effects:  (1) they have an afferent effect to cause necrosis and ulceration, and then (2) they have an efferent effect to continue injuring or inhibiting the wound thus preventing healing.  These disorders make the wounds, then they keep them from healing.  These effects continue even after the wound is nominally healed, leading sometimes to chronic or intermittent cicatritis, localized panniculitis, and recurrent scar ulcers (a problem most apt to be seen with lupus and its close allies).  Then, there are the remote or systemic effects against stroma which are the manifestations of the cvd-ctd.

 

We have made the case that the autoimmune connective tissue disorders are the true intrinsic diseases of wound healing.  For those who have never formally studied wounds, who only have the cursory awareness of the commonly appreciated wounds (trauma wounds and the “classic 4”), this may sound surprising,  But it should not be.  If wounds are made of fibroblasts and angiocytes, then diseases of fibroblasts and angiocytes are the wound diseases.  If you have not been seeing these wounds and diseases, it is because you have not been looking, merely ascribing all wounds to a limited set of commonly known diagnoses.  All effective care starts with diagnosis specific therapies, and that means making the correct diagnosis.  Once you start to recognize these wounds, and start to get the good results that come from specific therapies, the straightforward validity of the syllogisms above will be evident.

 

 

61

Understanding how auto-immunopathy affects wound healing.

Synopsis 1

 

Not all chronic and pathological (CAP) wounds are in a state of intrinsic chronicity and self-sustaining auto-immunization.

Many have identifiable active primary pathologies that can be treated and the wounds healed easily enough.

 

But many chronic wounds are difficult to heal because they have transitioned into a state of lymphoid autoimmune intrinsic chronicity (LAIC).

This state exists when auto-immunization occurs against mesenchymal stromal cells and their constructs (angiocytes & fibroblasts, vascular & connective structures).

 

====================================

 

 

 

The normal response to incidental injury is the sequence :  thrombosis  -->  acute inflammation  -->  repair (wound module).

For incidental injury in healthy subjects, these events are sequential one-shots without feedback, retrigger, or other sustentation.

 

These sequential events define the wound in time.  The physical anatomy of the wound (strata) defines the wound in space.

Acute inflammation normally operates early in upper strata.  Repair cells normally operate later in deeper strata.

 

This separation in time and space ensure that there is little admixture between acute inflammatory cells and stromal repair cells.

Without sustained acute inflammation & population admixture, sensitization (and then chronic lymphoid inflammation) cannot occur.

 

====================================

 

Under various conditions of persistent primary disease or injury, acute inflammation can become sustained.

Causative primary pathologies include chronic injury, thrombosis, allergy, infection, or anything that triggers sustained inflammation.

 

Sustained acute inflammation (1) creates matrix degradation debris and increases the load of normally sequestered endocellular elements.

These exposed chemicals are potential auto-antigens that the immune system is naive to and would ordinarily never see.

 

Sustained inflammation (2) disorganizes timewise & spatial wound structure, causing an intermix of cells & strata, inflammatory & repair.

Potential antigens from ongoing degradation now include those from repair elements - angiocytes, fibroblasts, and their structures.

 

 

62

Understanding how auto-immunopathy affects wound healing.

Synopsis 2

 

As acute inflammation is sustained, there is increased antigen processing by macrophages and then the appearance of lymphocytes.

Eventually there is antigenic recognition of items normally hidden from immune cells by time, space, sequestration, & wound anatomy.

 

Autoimmunity occurs when lymphoid cells in the wound eventually “see” endocellular or other antigens that they should never have seen.

(Auto-immunization against mesenchymal stroma could not have occurred absent sustained acute inflammation and population admixture.) 

This pathological state is marked by appearance of a 3rd population - chronic inflammation - lymphocytes, plasmacytes, & eosinophils.

 

Auto-sensitization includes angiocytes & fibroblasts, vascular & connective stromal elements, because their antigens were in the melee.

Presence & persistence of lymphoid cells in the vascular locus attest to the significance of angioid elements as targets of auto-immunity.

 

====================================

 

Once the stroma is auto-sensitized, the 3rd population (chronic lymphoid cells) has three pairs of pathological effects.

(1a) Chronic inflammation effects to perpetuate acute inflammation.  (1b) Autoimmune predation or inhibition against stromal elements.

Chronic inflammation effects:  (2a) Afferent effects to create or sustain injury & ulceration.  (2b) Efferent effects to impair healing.

Autoimmune effects:  (3a) Local effects against the reparative stroma.  (3b) Systemic effects against stroma in general.

 

Chronic inflammation can retrigger or sustain the wound as much as primary injury or disease does.

Afferent effects:  Triggering and sustaining acute inflammation & thrombosis is what causes necrosis, lysis, ulceration.

Efferent effects:  Disorganizing the cell mix, strata, & interactive biology of the repair process is what impairs healing.

 

Auto-immunization against stroma causes many pathological and clinical sequelae (based on specific antibodies, origins, circumstances).

Local effects:  Limited effects presenting as localized vasculitis, panniculitis, etc., or as impairments of wounds & wound healing.

Systemic effects:  Global morbidity recognized clinically as nosological entities, e.g. rheumatoid, lupus, scleroderma, etc.

 

====================================

 

Intrinsic wound chronicity and impaired healing are the local effects of auto-immunity directed against fibro-vascular stroma.

The CVD-CTD’s are the systemic effects of auto-immunity directed against fibro-vascular stroma.

 

 

63

Understanding how auto-immunopathy affects wound healing.

Synopsis 3

 

Because their auto-immunopathy is against stromal cells,

. . . the CVD-CTD’s have high incidence of ulceration & impaired wound healing.

. . . wounds with lymphoid autoimmune intrinsic chronicity have a high incidence of CVD-CTD disease or symptoms.

 

Diseases that affect collagen-vascular connective stroma ipso facto affect the wound module (stroma in a repair phase after injury).

The autoimmune CVD-CTD’s are diseases directed against stroma.  Therefore, the CVD-CTD’s are diseases of wound healing.

 

Autoimmune diseases that affect the collagen-vascular stroma are the CVD-CTD.

Intrinsic lymphoid wound chronicity is autoimmunity directed against stroma.  Therefore, intrinsic wound chronicity is a CVD-CTD.

 

====================================

 

Wound healing is just a connective tissue event, stroma in a repair phase after injury.

Its impairment is just another manifestation of connective tissue pathology.

 

The two pathologies, classic connective tissue disorders and intrinsic wound chronicity are essentially the same disease.

They are autoimmunopathy directed against fibro-vascular stroma, both induced by the same underlying instigating disorders.

 

They are different manifestations, different syndromic avatars of the same process,

. . . one acting locally, causing stromal inflammation & ulceration, then inhibiting stromal repair by damage, inhibition or disorganization.

. . . the other acting systemically, causing arthritis, synovitis, serositis, vasculitis, panniculitis, myofasciitis, etc.

 

====================================

 

In autoimmune wounds, impaired wound healing and chronic inflammation are conjoined,

intermixed with acute inflammation and variable expression or competence of the reparative wound module and its elements.

 

The connective tissue disorders and lymphoid wound chronicity are true intrinsic diseases of wound healing.

Inflammation & immunity are targeted against stroma, meaning ipso facto they are targeted against the wound healing machinery.

 

 

64

Autoimmune & immunopathic diseases do double damage to wounds.  They cause wounds and then they also impair wound healing.  As diseases of fibroblasts & angiocytes, they impair the intrinsic ability of the wound module to function.  Immunopathic ulcers are a challenge to treat because wound healing is “broken”.  Comprehensive management of the wound and the underlying disease will prevail, and most of these wounds are curable.  The caveat is that, because wound healing is “broken”, many of them take an unusually long time to heal.

 

Healing rates and times.  In support of this thesis, one need look only at the healing rates or healing times of various wound diagnoses.  The graph on the slide shows data from my clinic looking at days until healed stratified by diagnosis.  The rheumatoid and other autoimmune diagnoses take longer to heal.  This is because wound healing is broken in these disorders.  For the other diagnoses, generic wound healing throughout the body is intact, and wounds heal once local pathologies, injuries, and inhibitors are removed.  For the auto-immune disorders, wound healing itself is impaired.  Another diagnosis where wound healing is intrinsically impaired is radiation injury, but the cause is always known, and this is just a small fraction of all ulcers.  In contrast, the autoimmune chronic and pathological ulcers are a very big group of wounds.  Again, if you have not appreciated this, it is because you have not been looking nor being discriminating and exact about your diagnoses.

 

The pernicious effect of immunopathy on wound healing is also demonstrated in the table below.  This is Table 4 from the paper Gottlieb ME, Furman J:  Successful Management and Surgical Closure of Chronic and Pathological Wounds Using Integra®.  Journal of Burns & Surgical Wound Care, 3:2, 2004.  (The journal is now Eplasty, the Open Access Journal of Plastic Surgery, at www.eplasty.com.  The paper can also be read at the Arimedica website.).  Integra® collagen-gag matrix is an artificial skin and regenerative scaffold that has many uses in reconstructive plastic surgery and chronic wound care.  This table shows length of treatment time for 95 patients with chronic wounds, stratified by diagnosis.  Integra® is a two-step process:  (1) the matrix is placed on the wound and allowed to regenerate, then (2) skin grafts are placed on the regenerated neo-dermis.  The first set of data, “Integra-to-skin grafts”, shows the average regeneration time in weeks, the time between placing the material then placing the skin grafts.  It should be noted that Integra® has an effect to suppress normal wound healing, and instead turn on an embryonic model of dermis formation.  The length of this  phase, overall average 5.3 weeks, is largely independent of diagnosis, and immunopathy had no effect on this process.  However, skin grafts were not always completely successful, necessitating additional topical care or secondary skin grafts.  This latter phase of additional care was a matter of normal wound healing and wound care.  The second set of data shows the time to full healing, full epidermal restitution.  The average time to full healing was roughly 5 – 6 months for most diagnoses, but it was nearly 10 months for immunopathic and radiation ulcers, the two diagnoses where the local stromal cells and wound healing are rendered incompetent and intrinsically dysfunctional.

 

                Table 4.   Length of treatment

                Primary diagnosis                         Integra – to – skin grafts  (weeks)               Integra – to – healed  (months)                                .

                                                                        No. pts                   mean                       std                            No. pts                   mean                       std                            range

 

                Macro-arterial                                22                   5.3                  1.2                  16                   5.0                  2.5                  1 - 9

                Immunopathic                                 21                    5.4                   1.6                   12                    9.6                   5.3                   2 - 18

                Venous / lymphatic                       17                   4.6                  1.3                  11                   6.2                  3.2                  2 - 11

                Hypercoagulable                           6                      5.3                  2.0                  7                      5.8                  2.1                  4 - 9

                Mechanical / anatomical               8                      5.0                  1.3                  6                      5.2                  1.5                  3 - 7

                Radiation / malignancy                 6                      7.4                  3.9                  4                      9.8                  4.3                  5 - 15

                Diabetes                                         5                      4.3                  1.1                  3                      6.5                  2.1                  5 - 8

                Unknown                                         5                      4.1                  1.4                  4                      7.0                  0.8                  6 - 8

                Micro-occlusive                              1                      6.0                  - - -                 1                      4                      - - -                 - - -

                Trauma and surgery                       2                      4.6                  1.5                  1                      3                      - - -                 - - -

                Granulomatous / infectious           2                      4.1                  1.6                  1                      2                      - - -                 - - -

 

                Total                                               95                    5.3                   2.0                   66                    7.2                   4.3                   1 - 19

 

 

Wound chronicity.  The long duration, long healing times, and long treatment times of these ulcers means that they are “chronic” in the common vernacular meaning of that word, i.e. “a long time”.  However, “chronicity” in a wound has far greater implications than just the common trivial use of that term.  Remember from slide 21 and following that these problems have pre-ulcerative, then active-early ulcerative, then chronic-late features.  During early ulceration, you are apt to see disease specific findings, such as synovitis or panniculitis or cicatritis.  As the acute events wind down and the chronic ulcer persists, the ulcers develop a wide spectrum of changes which mark them as chronic.  These changes include gross, histologic, biochemical, and behavioral-dynamical features which characterize CAP wounds as being distinctly different than acute healthy wounds.  In this presentation, we have been focused on a specific thesis, and thus the discussion of wound chronicity has focused on sustained pathological dynamics and the appearance of lymphoid auto-immunity, i.e. “chronic inflammation”.  Here is a brief synopsis of other aspects of wound chronicity.  [1]  Gross findings of chronicity are more or less the same for CAP wounds of any cause.  This is analogous to the end stage liver or kidney – each organ has a generic final pathological appearance regardless of a priori causes.  The gross features of chronic non-healing wounds, as opposed to the appearance and physical signs of a healthy healing wound, are obviously very familiar to anyone caring for them.  If you are unfamiliar with  the subject, look at the many examples shown on slides 11 – 44.  Always keep in mind the diagnostic significance of the thrombo-infarctive versus inflammatory-lytic patterns of injury.  [2]  Biochemical features of chronicity may not be as familiar to many practitioners, but this subject has garnered major attention from wound research bioscientists over the past decade.  To date, there are many characterizations of chronic versus acute wound chemistry.  In the past few years we have started seeing many proteomic and gene chip analyses that let us look directly at what genes are on or off for chronic versus acute wounds.  What has been learned in a short time is that wound biochemistry and genomics for chronic versus acute are dramatically different, reflecting two entirely different dynamical attractors.  (The concept of “dynamical attractors” will be presented in detail in Part 3 of this series.)  [3]  Histologic features of chronicity were addressed in the past few slides (54 – 59).  The appearance of chronic inflammation and alterations in the wound module are easily observed and reflect fundamental differences between healthy and pathological, and between acute and chronic.  [4]  Behavioral & dynamical features of chronicity are self evident – if it is not healing, it is chronic.  However, throughout this presentation we have seen why chronicity develops, because of the effects of sustained primary disease, injury, and inflammation, then the appearance and abnormal interactions of lymphoid inflammation.  In Part 3 of this series, we will look at the physics that govern the dynamical effects of lymphoid inflammation.

 

What is important to realize overall is that wound chronicity is not just a matter of a “long time”.  It is a global concept about what happens in the impaired wound, the chronic and pathological CAP wound.  Keep in mind that time is an inherent and crucial concept in wound healing.  Wound healing is a time-based process.  We can assess many biological states by their incidental values.  Many other biological activities are perpetual.  The wound is different.  It comes, it does it’s thing over so many days or weeks, and then it recedes.  When healthy, the whole process is an efficient composite one-shot derived from constituent one-shot events.  Anything that interferes with its inherent health can only make the one-shot dynamics be perturbed, meaning that time delays are introduced, and the process gets longer.  At some critical point, the pathological state becomes self-sustaining, and that is the quintessence of wound chronicity.  Everything else are just markers of the chronic state.

 

 

65

Effects of wound auto-immunopathy:  the arrested wound module.

 

The next few slides demonstrate the clinical consequences to the wound of stromal auto-immunopathy and connective tissue disorders.  We begin by looking at the arrested wound module.  As we have seen, auto-immunopathic states disorganize the wound module and break wound healing.  This results in prolonged healing times compared to other wound diagnoses which are extrinsic to the wound healing process.  What does broken wound healing look like?  That is, what does it look like when it is REALLY genuinely broken?  On this and the next slide, you will see 5 patients in whom wound healing is busted to the point that the mesenchymal components of the wound module simply do not exist to any meaningful or recognizable degree.

 

Left top:  the thigh in a patient with acute lupus (see slide 25).  The skin necrosis is more thrombo-infarctive in nature, rather than inflammatory-lytic, and she had hypercoagulable markers along with the immune markers, meaning that both pathologies are present.  Note the appearance of the femoral fascia.  Fascia fibers and subcutaneous adipose are still visible weeks after these wounds occurred, with only the slightest hint of a pink blush to indicate some abortive angiogenesis.   Left bottom:  the ankle in a patient with chronic overlooked rheumatoid (see slides 17 and 25).  This wound had been present several years, and there is essentially zero wound proliferation – you are looking at native anatomy as though the tissues had been excised just yesterday.  Right:  the dorsal foot in a patient with rheumatoid (see slide 23).  Over an interval of a few weeks of basic care, areolar fascias and tendon sheaths are still visible, with no wound proliferation over them.

 

 

66

Effects of wound auto-immunopathy:  the arrested wound module.

 

Here are two more patients with auto-immunopathic diseases and ulcers in whom wound healing is broken and a wound module has failed to appear.  Left:  the buttock in a woman with rheumatoid, 6 months following some injury or ulcerative event.  While there is a pale pink blush of angiogenesis, all of the fat lobules of the subcutaneous adipose maintain their native anatomy, texture, and mechanics as though the wound had been created just 3 or 4 days ago in a normal person.  Right:  the leg in a woman with severe polymyositis following minor household trauma (bumping into a bed frame).  We have all seen wounds that look like this, but they are usually acute.  If the injury had occurred just a week ago, and if care had been neglected, and she then showed up in the emergency room, nobody would be surprised that an otherwise normal injury and wound could look this way under those circumstances.  However, this wound did have basic hygienic care, and it occurred 4 months ago.  Wound module events are so impaired that even eschar is not fully separated yet.

 

 

67

Effects of wound auto-immunopathy:  treatment with steroids.

 

If a wound has become chronic and intrinsically pathological due to lymphoid auto-immunization, then miscellaneous “wound treatments” may not have any effect or success.  In principle, nothing will prevail short of arresting the cause of the problem, the chronic inflammatory and auto-immune state.  The next few slides demonstrate chronic difficult-to-heal wounds that responded promptly and thoroughly to treatment with steroids or other anti-immune drugs.

 

Shown is a 71 year old man with rheumatoid for 20 years, poorly treated and uncontrolled.  Ulcers have been present for 2 years behind the medial and lateral malleoli on the left ankle.  His hands and wrists are a mess.  He lives in a perpetual state of arthralgias and stiffness, and it has become such a way of life for him that he has forgotten what normal is.  The ulcers have obviously had some sort of basic competent topical care, keeping them clean, hygienic, and free of gross complications and acute inflammation, but they have not changed much in 2 years.  When seen in consultation, intralesional triamcinolone was injected into the ulcers and periwound, and the patient was started on prednisone for systemic control of disease.  These ulcers are prototypical and pathognomonic of ulceration due to rheumatoid, lupus, and other classic connective tissue disorders.  This story continues on the next slide . . .

 

 

68

Effects of wound auto-immunopathy:  treatment with steroids.

 

Within 10 days of initial treatment, pain and symptoms were eliminated from the wounds, and generalized pain and stiffness were almost fully abated from his joints.  His wrists went from just a few degrees of motion to about 40-50 degrees combined volar and dorsiflexion.  MP and IP synovitis had subsided dramatically.  Other major joint groups had become more mobile and less painful.  The ulcers already showed improvements.  At 3 weeks, the medial ankle ulcers were nearly healed, and the larger lateral wounds had decreased in measured area by 35%.  At 3 months, all ulcers were healed and stable, and systemic disease remained well controlled as the patient was transitioned onto more suitable long term pharmacological management.  The key message here should be clear.  Chronic inflammation is a potent inhibitor or disruptor of the wound module.  Control the inflammation, and wound dynamics should tend toward normal.

 

 

69

Effects of wound auto-immunopathy:  treatment with steroids.

 

This is a 51 year old woman with a 5 year history of mixed connective tissue disorder.  Scleroderma-crest signs and symptoms are the most overt, but she has also been designated as lupus, rheumatoid, and mctd.  She has had episodes of large vein thrombosis in leg and arm, and anticardiolipin antibodies are confirmed.  History also includes multiple severe drug allergies and anti-drug antibodies.  This is another good example of a patient with dual pathologies – hypercoagulable and auto-immune.  The medial malleolar ulcer resulted from a minor household injury.  It has persisted as is, inflamed and painful for 7 months without response to various treatments.  Her auto-immune symptoms are active and have been for the past year.

 

Steroids were the key to successful treatment.  The patient reported good control of disease when she was on methylprednisolone.  However, she was switched to prednisone about a year ago because of Cushingoid symptoms, which is when disease symptoms became active.  The patient is on warfarin already for the thrombotic history.  Note that the appearance of the ulcer and periwound is inflammatory-lytic, not thrombo-infarctive.  Based on exam and history, the immune-inflammatory state is likely to be the predominant pathology.  In addition to basic hygienic topical care and some light compression, the only treatment was an adjustment of her steroids back to an effective agent and dose.  She was started on methylprednisolone 12 mg daily.  As the pictures demonstrate, periwound inflammation was settled within one week, wound proliferation was evident at 2 weeks, and the wound was healed shortly after 1o weeks.  All other systemic autoimmunopathy symptoms improved.  This case reiterates the message that chronic inflammation and autoimmunopathy are potent inhibitors or disruptors of the wound module.  Control the inflammation and the underlying disease, and wound dynamics should tend toward normal.

 

 

70

Effects of wound auto-immunopathy:  Rx with anti-immune drugs.

 

This is a 25 year old woman with hypercoagulable and immune markers (same patient as on slide 45-right).  Hypercoagulopathy was considered to be the primary state.  She presented with multifocal vascular stasis and skin infarcts and ulcers.  The patterns of injury, ulceration, and diffuse skin changes were predominantly thrombo-infarctive.  Histology showed chronic periarteritis, but no signs of primary leukocytoclastic arteritis or polyarteritis nodosa.  For two years, we treated her with warfarin anticoagulation.  This tended to keep disease quiet, and the various ulcers and skin changes healed at times.  However, disease was never completely quiet, and she would periodically have recurrent events.  After two years, disease activity accelerated.  The addition of steroids was helpful, but not curative.  To the extent that it did help, prednisone doses crept up, but the patient developed a variety of hyper-cortisolism side effects.  A switch to auto-immune drugs was tried, but azathioprine and others were ineffective.  However, as soon as the patient was put on cyclophosphamide, the disease was put to sleep, and she healed.  Steroids were withdrawn, and the process has stayed quiet.

 

Top left (1):  The problem at the beginning of the third year, when disease and ulceration accelerated and became unresponsive to just anticoagulants.  Note the gross inflammatory signs of dermatitis and panniculitis.  Top right: (2):  A few weeks later, the scene in image 1 is settled a bit with steroids, but not cured.  Bottom left (3):  Three months later, the patient had an intense resurgence of disease with diffuse focal ulceration, severe pain, and related thrombotic and inflammatory changes in the skin and lesions.  This is when therapy became more aggressive.  Bottom right (4):  Seven months later, a few months into cyclophosphamide therapy, the legs are completely healed, all inflammatory changes are gone, all thrombo-infarctive and vascular stasis changes are gone, and general status is improving including involution of Cushingoid changes.

 

Regardless of what the original primary pathology was, she ultimately got better only with a potent antimetabolite that is used to arrest the proliferation of reticuloendothelial and lymphoid cells.  This means that in the end the active pathology and the impaired wound healing were attributable to the chronic inflammatory state.  You have seen the problem on slides above, a chronic plasmacytic (lymphoid) perivasculitis.  This was not an acute or neutrophilic vasculitis as one might ordinarily think about the connective tissue disorders and the classic arteritides.  This is the chronic pathological wound in all of its perverse dynamical misbehavior, with chronic inflammation disrupting the wound module.

 

 

71

Effects of wound auto-immunopathy:  Rx with anti-immune drugs.

 

This is a 35 year old man, previously healthy, who recently became quadriplegic from trauma.  He soon developed multiple ulcers.  Ischial and other pelvic pressure sores were of obvious cause.  However, he concurrently developed literally thousands of small superficial ulcers (dermis-epidermis only) covering trunk and extremities.  Many were just a millimeter or a few, but some were of substantial size, especially those on the chest and abdomen.  Non-specific basic wound care was of little value.  When seen in consultation, it was obvious that the lesions were of immune or allergic origin.  Histology showed acute & chronic inflammation, plasmacytes and eosinophils, and an impaired wound module with lack of fibroplasia (slide 49).  The nominal diagnosis was a bullous pemphigoid type of atopic reaction which had progressed to latter phases of lympho-plasmacytic auto-immunization and autonomy.  He was started on prednisone which successfully resolved many of the smaller lesions, but the larger ones persisted.  The patient soon objected to the obesity which developed while on steroids, so they were withdrawn, and the patient was started on azathioprine.  All lesions then healed, and did not recur.  Azathioprine was continued for 6 months after all lesions were healed, and then it was gradually withdrawn.

 

Upper raster:  a lesion of the left pectoral area below the clavicle,  Middle raster:  lesions of the mid and lower abdomen.  Lower raster:  a lesion of the right leg above the ankle.  Left column:  The lesions after some initial non-specific hygiene and wound care, but before initiating specific therapy.  Left center:  The lesions 5 months later, after having been on steroids for 2 – 3 months.  The leg lesion is improved with some epithelial growth, but it is unstable and still inherently pathological.  The other lesions remain pathological with no net change.  (Many of the smaller lesions on his body did heal in this interval.)  This is when azathioprine was started.  Right center:  7 months into treatment, 2 months after starting azathioprine.  The leg lesion is fully epithelialized and stable.  The chest and abdomen lesions are healthier looking and actively healing.  Right column:  during the subsequent several months, all lesions healed and have remained that way.

 

 

72

We have developed a thesis about stromal auto-immunization and its detrimental effects on the wound and wound healing. Stromal auto-immunization occurs from chronic conditions of hypercoagulability, allergy, repetitive injury, and similar conditions which sustain acute inflammation.  Once auto-immunization and chronic plasma-lymphocytic inflammation ensue, the pathological state becomes self-sustaining.  Patients might first develop a generalized stromal auto-immunization, a classic connective tissue disorder which can also have subsequent wound healing impairments.  Alternately, chronic sustained wound problems might lead first to local wound auto-sensitization, which then might or might not lead to some systemic immunopathy symptoms. 

 

Key to the commonality of the connective tissue disorders and chronic auto-immune intrinsic wound failure is that both are disorders of the generic stroma, the body’s basic support framework of vessels and connective proteins made by angiocytes and fibroblasts.  When inflammation & immunity are targeted against stroma, they are ipso facto targeted against the wound healing machinery.  Simply put, (1) the CVD-CTD are diseases of wound healing, and (2) intrinsic wound chronicity is a CVD-CTD.  Wound healing is a primordial system in multicellular life which has few metabolic, genetic, or degenerative defects.  It is stromal auto-immunization, the connective tissue disorders, and lymphoid wound chronicity which are the true intrinsic diseases of wound healing.  With those basic points of the thesis in mind, here for your consideration are some corollaries and calls to action:

 

Defining wound chronicity as a distinctive entity.  The concept of the chronic wound as a distinct pathological and clinical entity, different than acute and healthy wounds, is something that must be clearly enunciated in textbooks, curricula, and other tools of wound education.  (The fact that formal education about wounds barely exists at all is another concern.)  Differences between acute and chronic wounds are being studied by modern day laboratory researchers largely by looking at variances in biochemistry and genomics.  Such investigations are important, but the result is or will be just a giant chart of changes, thousands of individual items that go up or down in the chronic wound.  Such a list of particulars offers no insight as to how the many items inter-operate in the altered multi-control system of the chronic wound, nor which are cause, which are effect, and which are passive inconsequential changes.  Like anything else in medicine, understanding how to treat and get better results begins with a more thorough understanding of wound anatomy, histology, pathophysiology, cell and tissue biophysics, and clinical presentation.  These are the subjects that truly define the chronic and CAP wound as a nosological entity, and they need more robust development and teaching.

 

Defining wound chronicity as a CVD-CTD.  Even if the idea of the wound as a connective tissue disorder seems odd, it will not as you truly study wound pathology, make accurate diagnoses, and pick the most relevant treatments.  Keep in mind the well known effects of the defined connective tissue disorders to make wounds and impair their healing.  Keep in mind also the central importance of the generic stroma – angiocytes, fibroblasts, vessels, and connective matrix – the common thread between the body structure, wound healing (the stroma repairing itself after injury), and the collagen-vascular diseases (the disorders that affect the stroma).  As part of defining the chronic wound as a distinctive entity, there is a need to identify and clarify the clinical profiles and laboratory serologies that will allow the chronic wound to be approached, diagnosed, and monitored the same as we do the other connective tissue disorders.  For wounds which have become “intrinsified” by chronic lympho-plasmacytic inflammation, anti-inflammatory and anti-immune drugs have a crucial role in treatment, and we collectively need to study and define the best therapeutics.  We need to match specific clinical and laboratory profiles of the chronic intrinsified wound to specific anti-immune drugs and treatment strategies for the best results healing those wounds.

 

Defining CVD-CTD as an intrinsic disease of wound healing.  The subject of wounds, for all the interest and enthusiasm it has generated in the past 10 years, remains only quasi-professional and quasi-informed in its approach to wound science and the clinical arts.  Unlike most traditional medical specialties which demand knowledge, precision, and accuracy in diagnosis and treatment, “Woundology” seems willing to settle for much less.  The lack of a robust physician level curriculum, the lack of formal medical education and training, and an insufficient number of those professorially ranked on this subject keep many practices limited to the simplistic diagnostic misappropriation of all wounds to the “classic 4” of arterial-venous-diabetic-pressure.  There is a wide spectrum of diseases and disorders which cause chronic and pathological ulcers, and until  physicians can start to make comprehensive and correct diagnoses, “wound care” will continue to be much less, and much less effective than it should and could be.  Among the various categories of disease which cause problem wounds, the auto-immunopathies and connective tissue disorders are not only one of the largest but also one of the most relevant to everyday practice and one of the most challenging to get good results.  The thesis presented here goes beyond the mere appreciation of CVD-CTD as a cause of chronic ulcers to a deeper understanding of the commonality of the anti-stromal diseases and the essential equivalence of CVD-CTD with certain impaired wound states.  It is time to break the anachronistic parochialism of legacy wound “practice” and start to correct the errors of wound misdiagnosis and consequent mistreatment.

 

The interconnections between hypercoagulability & auto-immunity.  We have seen here how stromal auto-immunization can occur from a number of primary disorders which create sustained injury, allergy, thrombosis, and acute inflammation.  The association is particularly demonstrable for the hypercoagulable disorders, and many chronic wounds are due to a connective tissue disorder or a hypercoagulable disorder or both.  The connection between hypercoagulability and auto-immunopathy is real and it is causative.  Hypercoagulability causes autoimmune disorders such as rheumatoid and lupus.  It is not the exclusive cause, and other chronic disorders (injury, inflammation, allergy, infection) can have the same effect.  Nonetheless, this is a major association of pathological states and diseases, causes and effects which warrants substantial scientific investigation and revision of conventional medical thinking.

 

Auto-immune intrinsic chronicity and the physics of wound failure.  Simply put, intrinsic wound pathology and chronicity is a dynamical disorder of complex populations caused by auto-immunopathic disruption of the wound module.  The “dynamical” and “complex populations” aspects of this will be explained in Part 3 of this series.  For this, Part 2, the conventional medical part that looks at traditional pathology, the message is about the commonality of the anti-stromal diseases.  This commonality implies the equivalence of CVD-CTD and those chronic wounds rendered intrinsically pathological by the effects of stromal auto-immunization and lympho-plasmacytic chronic inflammation.

 

Here are two additional related items not on the slide:

 

Research needs.  While this presentation is not discussing therapies and management, this slide is a good moment to mention a serious clinical research need in wound practice, the need to tailor therapies to specific flavors of immunopathy.  Just as rheumatology research has identified which of many anti-inflammatory and anti-immune therapies are best suited for specific nosological diagnoses, so too we in wounds have a need to match specific immunopathies, dermatoses, and wound profiles to the most effective anti-immune drugs for healing those wounds.

 

Localized versus systemic auto-immunity.  This is also a good place to mention auto-immune wounds versus generalized auto-immune states.  If a patient becomes sensitized to components of the connective stroma, then a global connective tissue disorder and inflammatory state could occur.  That is certainly the case with acute rheumatic fever, acute lupus, acute and chronic rheumatoid arthritis, etc.  For patients with chronic wounds, some do have active generalized inflammatory states or classic rheumatological diagnoses.  However, some seem to have clinical effects just on wounds and wound healing.  It is likely that for many of them, they are sensitized or immunized to occult antigens, or else they breed unique lymphocyte and plasma cell “hives”, either event occurring only locally and incidentally in the wound itself.  These would be antigens unmasked or lymphocytes bred during conditions of acute injury, inflammation, thrombosis, allergy, or wound healing, with activities directed against the debris of localized thrombosis, inflammation, vascular and matrix degradation, and the proliferation and degradation of angiocytes and fibroblasts.  For the research-minded among the wound healing brotherhood, there is a lot of work to be done to identify the details of all of this.

 

 

73

This slide is a reminder that this is a three part presentation that looks at wound pathology from the point of view of its applicable physics, elucidating the intrinsic dysfunctions of the wound as a result of dysdynamia, especially when stromal auto-immunization has occurred due to prolonged population admixture in a repetitively injured wound.

 

Part 1 – The Wound as a System and a Controlled Machine

 

Part 2 – Auto-Immunopathy and the Intrinsic Disease of Wound Healing

 

Part 3 – Chronicity and the Physics of Wound Failure

 

These presentations and supplementary materials are all available at www.arimedica.com .

 

 

74

Summary of autoimmunopathy and wound chronicity.

 

The connective tissue disorders and collagen vascular diseases (cvd-ctd) and pathological wound chronicity are essentially the same disease, and they are the true intrinsic diseases of wound healing.  These are the disorders which target stromal cells & structures –  fibroblasts and angiocytes, vessels and connective tissues – which are also the principal agents of wound healing.

 

This pathology arises when sustained primary injury or disease causes sustained acute inflammation, which leads to wound disorganization and sensitization against auto-antigens.  Auto-sensitization will occur against whatever is in the sustained wound, with stromal elements consistently at risk.  Stromal auto-sensitization and lymphocytic wound chronicity (plus sustained primary disease and inflammation) cause ulceration and disrupt healing.  This and the cvd-ctd’s are a major category of chronic wounds and wound pathology.  Since these disorders affect the primary agents of wound healing, wound healing is more impaired than for other causes of chronic wounds which are extrinsic to the primary process.

 

 

75

End

 

 

76

 

Abstract (as submitted in advance of the meeting)

 

The Physics and Pathology of Wounds.  Part 2.

Auto-Immunopathy and the Intrinsic Disease of Wound Healing.

 

Marc E. Gottlieb, MD, FACS        Phoenix, AZ

 

Many chronic wounds result from disorders extrinsic to the healing process, e.g. pressure or arterial disease. What then are the intrinsic diseases of wound healing? Compare the wound to other organs. The quintessence of heart failure is that it is an inadequate pump, for lung failure it cannot exchange gases. But the wound is neither pump and pipes, nor bellows and diffusion membrane, nor is it like any organ with macro-anatomical structure. It is a transient collection of mutually interacting self-organizing cells.  Stromal angiocytes and fibroblasts (wound cells) have remarkably few inherent metabolic or genetic faults. Dysfunction of the aggregate population is almost always the result of deprivation or predation. Adverse states can be caused by (1) non-targeted exogenous conditions such as arterial ischemia or repetitive trauma, and (2) targeted damage directed against these cells and their structures. As will be presented here, predation against the wound module is due to a state of auto-immunopathy in which lymphoid cells are sensitized to wound components. Not only does this occur with classic connective tissue disorders and other well-recognized auto-immunopathies, but it happens when a wound becomes intrinsically chronic and pathological.  Hypercoagulability and other conditions of persistent thrombosis and acute inflammation are the underlying states that induce the auto-immunization. Simply put, intrinsic wound pathology and chronicity is a dynamical disorder of complex populations caused by auto-immunopathic disruption of the wound module.

 

In these chronic non-healing wound samples, the vascular locus is infiltrated with immune cells (left, plasma cells; middle, plasma cells and eosinophils; right, lymphocytes.)  On the left, plasma cells are mixed with the migratory angiocytes (spindles) that are trying to assemble the wound.  At middle and right, chronic thrombosis due to a primary hypercoagulable disorder is not only present, it is the root cause of this entire state.

 

 

77

THE PHYSICS AND PATHOLOGY OF WOUNDS.  PART 2.

AUTO-IMMUNOPATHY AND THE

INTRINSIC DISEASE OF WOUND HEALING.

 

Original presentation February 22 - 26, 2010, Maui, at the

The John A. Boswick, M.D. Burn and Wound Care Symposium 2010

 

The presentation and related materials are accessible at:

arimedica.com

 

Content may be used for non-commercial educational purposes.

Content may not be published or used for commercial purposes without prior license or permission.

 

Contact information is on the slide.

 

Copyright © 2009, Marc E. Gottlieb, MD

 

Revision 01a,  February 22, 2010

 

 

78

 

These presentations and supplementary materials are all available at www.arimedica.com.

 

The Physics and Pathology of Wounds.  Part 1.

The Wound as a System and a Controlled Machine.

 

Marc E. Gottlieb, MD, FACS        Phoenix, AZ

 

The wound is a transient organ of inter-operating cells, triggered into being by injury and inflammation, then extinguishing as it completes its repair of injured stroma. It is a system. Conventional bioscience tends to characterize properties and interactions of individual or one-versus-another elements within a system, but physics is required to understand the integrated timewise behavior of whole systems. Intrinsic wound pathology and chronicity, and wound failure and therapeutics are easily explained when wounds are seen as a non-linear System (rather than as a collection of dual-element linear interactions). For normal wound physiology and for the pathophysiology of altered and failing wounds, the governing principles are the physics of complex systems: non-linear N-element dynamics, control science, population logistics, and self-organizing automata.

 

Understanding wound physics begins by characterizing normal wound physiology. The wound is a closed-loop reference-driven non-linear multicontrol system. Sick and altered wounds have layers of added complexity, but the quintessential intrinsic machinery of wound healing – the Wound Module of post-inflammatory wound repair – functions as just a single control loop. When tissues are injured, the Main Control Loop of physiological wound repair will drive cells to reorganize back to a repaired stroma.

 

The wound control system is composed of these elements: The system state is the open wound and its conditions. It is compared (?) to a reference, normal epithelialized tissue. Variances generate an error signal in the form of inflammation. This activates macrophages which are the system controller. They in turn generate a control signal in the form of cytokines. The controlled load is the group of local responder cells. Their output are the elements of histogenesis, which modify the state of the system, which then feeds back to the loop at the summing point. Any discussion or research of the collective behavior of a wound must acknowledge this basic control system.

 

 

79

 

These presentations and supplementary materials are all available at www.arimedica.com.

 

The Physics and Pathology of Wounds.  Part 2.

Auto-Immunopathy and the Intrinsic Disease of Wound Healing.

 

Marc E. Gottlieb, MD, FACS        Phoenix, AZ

 

Many chronic wounds result from disorders extrinsic to the healing process, e.g. pressure or arterial disease. What then are the intrinsic diseases of wound healing? Compare the wound to other organs. The quintessence of heart failure is that it is an inadequate pump, for lung failure it cannot exchange gases. But the wound is neither pump and pipes, nor bellows and diffusion membrane, nor is it like any organ with macro-anatomical structure. It is a transient collection of mutually interacting self-organizing cells.  Stromal angiocytes and fibroblasts (wound cells) have remarkably few inherent metabolic or genetic faults. Dysfunction of the aggregate population is almost always the result of deprivation or predation. Adverse states can be caused by (1) non-targeted exogenous conditions such as arterial ischemia or repetitive trauma, and (2) targeted damage directed against these cells and their structures. As will be presented here, predation against the wound module is due to a state of auto-immunopathy in which lymphoid cells are sensitized to wound components. Not only does this occur with classic connective tissue disorders and other well-recognized auto-immunopathies, but it happens when a wound becomes intrinsically chronic and pathological.  Hypercoagulability and other conditions of persistent thrombosis and acute inflammation are the underlying states that induce the auto-immunization. Simply put, intrinsic wound pathology and chronicity is a dynamical disorder of complex populations caused by auto-immunopathic disruption of the wound module.

 

In these chronic non-healing wound samples, the vascular locus is infiltrated with immune cells (left, plasma cells; middle, plasma cells and eosinophils; right, lymphocytes.)  On the left, plasma cells are mixed with the migratory angiocytes (spindles) that are trying to assemble the wound.  At middle and right, chronic thrombosis due to a primary hypercoagulable disorder is not only present, it is the root cause of this entire state.

 

 

80

 

These presentations and supplementary materials are all available at www.arimedica.com.

 

The Physics and Pathology of Wounds.  Part 3.

Chronicity and the Physics of Wound Failure.

 

Marc E. Gottlieb, MD, FACS        Phoenix, AZ

 

The wound module is a transient set of interacting cells which collectively restore in­jured tissue to normality, a fibrous stroma of angiocytes and fibroblasts. Its healthy aggregate behavior is a well behaved machine, governed by the physics of control systems. A sick system can result from various extrinsic perturbations, but the core mechanism of self-sustaining persistent dysfunction, the true intrinsic disease of wound healing is chronicity itself, the paramount cause being wound module autoimmunization. This state is disruptive but not fully toxic or lethal, thus immunopathic wounds have complex behaviors, at times better-worse-stable-variable, often looking healthy, but always frustrating as they refuse to cross the finish line. How does one explain such variable behavior and the differences between normal and chronic-and-pathological (cap) wounds?

 

Simply stated, intrinsic wound pathology and chronicity is a dynamical disorder of complex populations. The physics governing complex behaviors in complex systems is non-linear dynamics (nld). In addition to control, three aspects of NLD are especially important to wound pathology. (1) Population logistics. Healthy healing is a sequence of one-shot self-completing linear events: primary injury & thrombosis –then– acute inflammation –then– wound module. Pathology creates abnormal population dependencies (nutrition, starvation, predation, cultivation) and a new population, chronic inflammation. Non-linear perpetual complexity arises in the logistics of injury & thrombosis –vs– acute inflammation –vs– wound module –vs– chronic inflammation –vs– injury & thrombosis. (2) Cellular automata & self-organization. The “cellular” agents of the wound module (real biological cells in this case) have a small set of deterministic rules of interaction with each other.  When allowed to function properly, stromal rebuilding is automatic and correct.  Under pathological conditions, self-organization, i.e. wound healing is disrupted.  (3) Chaos & N-body dynamics. The net effect is that the wound, a set of several interacting cell populations, has 3 attractors (basins, dynamically stable states or behaviors): convergence (healing), divergence (ulcerating), and self-sustained chaotic orbits (chronicity).

 

Basic methods to demonstrate non-linear dynamics: left, the logistical map of competing populations; middle, diffusion-limited-aggregation, an example of self-organizing automata; right, attractors and chaos in the Mandelbrot set of complex-plane iteration.  While seemingly abstract, these structures are directly correlated with wound events.

 

 

81