Surgical Treatment and Reconstruction of Necrotizing Soft Tissue Infections.

 

Marc E. Gottlieb, MD

 

Presented at the Annual Meeting of the Musculoskeletal Infection Society, August 12, 2006, Squaw Valley, CA.

 

 

 

 

 

SLIDE SUMMARY:  Presentation overview.  Successful management of necrotizing fasciitis means prompt and thorough surgical excision.  Modern skin restoration technologies are effective, dependable, and can avoid the need for late reconstruction.

 

------------------------------------------------------------------------------------------------------------------------------------

This presentation assumes that the reader has some familiarity with the subject of necrotizing fasciitis:  basic concepts about the causative bacteria, their spectrum of clinical presentation, the severity of the illness and the urgency of treating it, and some general familiarity with treatment principles, including surgery, antibiotics, and general patient support.

 

This presentation will focus on the surgical aspects of these diseases, with two major points to be made:

 

1 - Surgical treatment must be prompt, aggressive, and thorough.  The disease should be cured by one operation of drainage and excision.

 

2 - Surgeons who are unfamiliar with the arts of plastic surgery need not be intimidated by excising and draining whatever is infected.  Skin loss is easy enough to manage and reconstruct in patients whose lives have been saved.  Modern skin reconstruction technologies have advanced in the past decade, bringing unprecedented  reliability and ease to the process of skin restoration, while giving superior results which do not need later revision.

 

------------------------------------------------------------------------------------------------------------------------------------

LEFT - The progression of a patient with Group A streptococcal necrotizing fasciitis, with severe toxic shock and multi-organ failure.  Prompt complete excision, followed by good wound care saved a life (top).  Wound closure and reconstruction with a modern skin regenerative device healed the wounds without risk (middle).  The final result, free of scar and contractures, meant that followup reconstruction was unnecessary.

 

 

 

 

 

A copy of this presentation and these notes are available on line at Arimedica.com.

 

Arimedica is a non-commercial site strictly for the posting of presentations and educational materials.  It is not funded nor in any other way supported by any third party or commercial interest, neither monetarily nor administratively nor otherwise.

 

 

 

 

 

SLIDE SUMMARY:  Necrotizing fasciitis is characterized by pannicular and fascial necrosis.  However, it can be caused by a variety of infectious agents, and each syndrome has some distinctive pathological and therapeutic features.  If not otherwise specified, “necrotizing fasciitis” tends to imply that due to streptococcus.  Surgical treatment by complete excision and drainage is mandatory.  Later reconstruction depends on principles related to large wounds of any cause.

 

------------------------------------------------------------------------------------------------------------------------------------

Numerous papers and book chapters exist to educate you on the basic biology and clinical science behind these infections.  This presentation will focus on the clinical arts of managing these problems for good results: for acute life-saving treatment and for long term function-restoring management.

 

Necrotizing fasciitis can mean any of several forms of severe, rapidly progressive and lethal (if untreated) infections.  Much of the drama and public attention to “necrotizing fasciitis” goes to classic Group A streptococcal panniculitis.  The terminology is not important.  Understanding the behavior of these infections, is important: the generic implications for life and death and urgent thorough treatment, but also the relative differences and nuances of care that arise from the types of organisms that are responsible.

 

All necrotizing fasciitides have in common that the infection causes infarction and destruction of tissue, far in excess of the normal injury that occurs from reactive inflammation.  As with most inflammatory soft tissue pathologies, the primary target or susceptible tissues are the subcutaneous adipose fascias.  Rapid extension of the disease, tangentially through the fascias, is the norm.  Skin necrosis is typically a secondary event, due to loss of the trans-pannicular perforators which provide blood supply to the skin, or due to toxic chemical injury from the organism (depending on the type of infection).  Muscular fascias are likewise more resistant, and muscles underneath, or viscera, can be involved by extension (or they can be a primary target for Clostridia).

 

When the disease is active and rapidly spreading, gross pathology can be divided into several zones which have implications for surgical treatment (see Slide 7).

 

General classes of rapidly progressive infectious panniculitis, or toxic necrotizing fasciitis include these:

 

Synergistic gangrene:  This is the most common type in daily medical practice.  It is usually due to a mixed flora of pyogenic enteric organisms, typically aerobes and anaerobes, which create synergistic microenvironments which facilitate each others growth and metabolism.  Being due to enteric flora, these infections are most prevalent in abdominal and pelvic related problems, including bowel perforations, complicated genitourinary infections, enteric contamination of skin and musculoskeletal laceration or ulceration, perianal or perirectal abscesses, and so on - including the classic Fournier’s gangrene.  Pathologically, there is progressive suppuration and abscess formation in the adipose panniculus, working its way into various fascial planes, and sometimes killing muscle.  Patients can be extremely ill from general inflammatory effects and from endotoxins and others toxins.  These patients can be gravely ill, and prompt drainage and debridement are mandatory.  However, the biology of these infections are distinctly different than the “necrotizing fasciitis” of streptococcal infamy.  These infections are due to organisms which are individually fairly benign, the stuff of everyday GI and GU infections.  It is in the synergy of mixed flora that they become more destructive.  There is a bit of latitude in the surgical treatment:  there is no lesser sense of urgency, and delays in care ARE NOT excusable, and thorough debridement remains the goal - BUT - if the exigencies of the illness and logistics of a trip to the OR are hampered in any way, these patients have a bit more leeway for a simpler drainage and debridement.  For example, if the problem occurred in the groin after a vascular procedure, and the patient is on potent anti-platelet drugs, these abscesses can be effectively managed by gross debridement of loose necrosis and pus, and wide opening of the wound, but without incurring the bleeding of a formal sharp excision through still viable but highly inflamed and hyperemic tissues.  This will generally arrest progress of the infection, while maintaining a good risk-benefit balance for the patient.  Broad spectrum antibiotics are obviously mandatory.

 

Clostridial myofasciitis - Aka “gas gangrene”, is often the result of ranch and soil injuries, or enteric injuries.  This is a serious fulminant disease which requires a serious expedited surgical response.  Muscles as well as fascias are targets.  Exotoxins have lytic necrotizing effects on the infected tissues, but they also have disseminated intercurrent toxicities for other organs.  No delays in management can be tolerated.

 

Streptococcal fasciitis.  This is what people really mean when they talk about the classic N.F.  Strep species other than in Group A, and staphylococcal species can all cause the same syndrome.  Incidental other organisms can cause the same thing, including unexpected oddballs such as salmonella.  However, it is the exotoxins in Group A strep which are particularly pernicious and prone to rapid spreading and “streptococcal toxic shock syndrome” (STSS) with intercurrent organ failure.  It can start off a bit more insidiously than some of the other types of fasciitis, but when the diagnosis is made, the imperative for rapid surgery is the same as for gas gangrene.  These types of fasciitis can have distinctive findings, including:   non-odorous (as opposed to synergistic or enteric gangrene); fascial necrosis and suppuration are often not lytic and cavitary (as is the case for enteric abscesses); severe watery edema, which is a survival and proliferative advantage for the organisms;  scarlet color.  Complete thorough excision is required.  See Slide 7 for more details.

 

Atypical infections.  These are due to fungus, mycobacteria, actinomycetes, and such atypical non-bacterial pathogens.  They tend to be “slow” infections - think TB versus pneumonia or a post-pneumonic abscess - but once vessels start to occlude and tissues infarct, the destruction can seem to occur quickly.  Typically, a relatively slow granulomatous inflammation was cooking in the fascias prior to severe skin involvement.  Mucormycosis is distinctive in that vascular occlusion rather than inflammation or exotoxicity is the cause of problems.  These patients typically have a more insidious and seemingly less urgent onset, but the implications for curative surgery and reconstruction are the same.

 

As discussed in later slides, surgical excision is mandatory, and the sooner the better, with Clostridial and Streptococcal N.F. having the most immediacy for surgery.  However, the nature of the required surgery is the same for all such patients with any of these diseases.  Surgery is required for three components of the problem:

1 - GET RID OF THE DISEASE, by as thorough and complete wound excision or debridement as possible.

2 - PATCH UP THE RESULTING WOUNDS, by the the usual arts of plastic surgery, whenever wound conditions and patient conditions permit.

3 - RECONSTRUCT LATE SEQUELAE such as scar contractures, or amputation management, etc.

 

The surgery is analogous to the surgery needed for burns, deglovings, and any large or acute wound.  Burns and trauma do not have the same type of illness, and acute and critical patient management are different than N.F. in many ways.  But, the surgery of cleaning up the mess, preparing the wounds for closure, then patching them up, then restoring function - that is what core plastic surgery is all about.  Large wounds, small wounds - it doesn’t make a difference - the surgical principles and methods arte the same for all of these conditions.

 

------------------------------------------------------------------------------------------------------------------------------------

TOP - A young derelict paraplegic patient with long standing pressure sores.  Synergistic fasciitis - Fournier’s gangrene - is a very infrequent complication of ordinary ischial pressure ulcers, and in fact, it was not the problem here.  Rather the patient developed pressure necrosis of the anus, leading to ischiorectal infection, which then spread rapidly, involving tissues throughout the buttock, pelvis, and thigh, including other pressure bursas.  The image here is a couple of weeks after debridement and wound care, ready to begin closure.

 

CENTER - A patient with severe rheumatoid and multi-drug immunosuppression developed fairly rapid skin necrosis, leg ulceration, and febrile toxicity.  While rheumatoid panniculitis notoriously causes extensive ulceration of the leg, that process is relatively slow and indolent, and does not involve the muscular proximal leg.  Biopsies and cultures showed aspergillus.

 

BOTTOM - This is a 19 year old man who developed fevers and malaise after a minor skin scrape.  This was followed by rapid erythroderma, edema, pain, and progressive toxicity.  This is the quintessential Group A Strep N.F.

 

 

 

 

 

SLIDE SUMMARY:  Infections of the soft tissues are often misdiagnosed, over-diagnosed, or diagnosis missed.  These cases were all designated “necrotizing fasciitis”, when in fact none of them had anything to do with that disease.  Safe and effective management starts with proper diagnosis.  Discriminating diagnoses are essential.

 

------------------------------------------------------------------------------------------------------------------------------------

“Necrotizing fasciitis” may have some breadth to its meaning - various organisms and clinical profiles - but those words have a specific pathological meaning and implications for prognosis and care.  Not every infection is N.F.  Not every necrosis is N,F.  Every time there is a media report on N.F., then suddenly every inexperienced physician is diagnosing anything on the skin as N.F.  Wrong.  Here are samples of things that are definitely not N.F., but were advertised as such when they were referred.

 

------------------------------------------------------------------------------------------------------------------------------------

LEFT TOP - This is trivial, and barely qualifies as infection.  A heavy object fell on his foot, resulting in hematoma and skin necrosis.  Acute inflammation reflects a 100% lack of wound care.  Thrombus and debris were curetted, soap and silvadene were started, and edema was controlled.  Antibiotics are irrelevant, unnecessary, and were not given.  Two weeks later, the foot is nearly healed.  Not everything red and swollen is an infection.  Not every infection needs antibiotics.  Not every infection is N.F. or needs aggressive surgery.  Every wound does deserve basic competent wound care.

 

LEFT BOTTOM - This is a genuine infection - staphylococcal “scalded skin syndrome”, a destructive or ulcerative form of impetigo.  The patent had several such lesions on the lower extremities.  They healed promptly with oral antibiotics and basic wound care (simple debridement, topical hygiene, SSD or suitable substitute, edema control).  When seen in consultation, the problem was already a couple of weeks old, and he was not ill - real infection, but not N.F., and surgery was not needed.

 

RIGHT - This obese patient lost 70 lbs.  As the abdominal panniculus deflated, it became more ptotic.  Ptotic obese abdominal folds all have chronic dependent edema, which causes chronic inflammation.  Occasionally, people develop pannicular fat necrosis or abscess in the inferior edematous portion.  her doctors declared it “necrotizing fasciitis”, even though the patient was not ill, and the process remained localized.  They did drainage (good), but missed the opportunity to do a simple panniculectomy, and thereby cure all of her problems in one simple step - adequate but inexpert management.  Note the simple clean minimally resected wound with no eschar - unlike real N.F.

 

Moral - DON’T diagnose ever infection or every red spot as N.F.  Understand what “necrotizing” means and what “fasciitis” means.

 

 

 

 

 

SLIDE SUMMARY:  The patient with necrotizing fasciitis must go through several treatment phases - acute control of disease, subacute closure of wounds, and chronic management of sequelae.  The wounds themselves have three phases of care: excise the disease, then care for the wound until ready for closure, then close the wounds.

 

------------------------------------------------------------------------------------------------------------------------------------

The general overall management of necrotizing fasciitis is like that for any serious soft tissue injury.  There are three general phases:

1 - Manage the acute illness and cure the disease.

2 - Once the patients are stable, and the wounds meet criteria for safe closure, then the wounds are closed, and the patient is carried through to the logical end of the acute illness.

3 - Late wound and debridement related sequelae, such as joint contractures or missing muscles and tendons, can be reconstructed as required or convenient.

 

Surgery has a central role in each of these phases:

1 - EXCISE, debride, drain (Acute, save a life and cure the disease).

2 - REPAIR the wounds (subacute).

3 - RECONSTRUCT deficits (late).

 

The wounds per se have their own three phases of management:

A - The acute excision for control of the disease.

B - Interim wound management, getting the wounds ready for closure, which for N.F. means days-to-weeks.

C - Close the wounds, using whatever methods are required, meaning the usual paradigms of wound closure - repair, grafts, flaps, and the newer paradigms of repair (in situ tissue engineering with regenerative matrices).

 

The wound closure issues will be the greater part of this presentation.

 

 

 

 

 

SLIDE SUMMARY:  Necrotizing fasciitis is cured by surgery.  Complete excision and drainage must be done.  The disease will have a continuum of findings, from incipient disease at the advancing margin to skin necrosis at the original center.  Recognizing the full extent of disease and draining or excising it all is mandatory.  The goal and standard of good care is to CURE THE DISEASE WITH ONE OPERATION.  The surgeon must be confident with this, and the non-surgeon must expect this from the surgeon consultant.

 

------------------------------------------------------------------------------------------------------------------------------------

This slide focuses on Step A of managing the wound - the acute curative debridement.

 

It is assumed that everyone understands the quintessential importance and central role of excision in the management of necrotizing fasciitis.

If this is a new subject for you, this is the main lesson:  CUT THE DISEASE OUT TO CURE IT.

 

But, there are some constraints and options.  With N.F., there is usually diffuse or multifocal disease, unlike a singular abscess.  But, there is also a boundary or margin of disease, and surgical options have some latitude in the more peripheral zones.

 

“Central” zone - This is where skin necrosis has occurred, a consequence of thrombosis of the cutaneous blood supply (fascial perforators), and advanced effects of exotoxins and inflammation.  This is obvious disease, but it can be a late finding, or it may be absent.  Not having skin changes is a common cause of naive physicians not recognizing the disease and diagnosis and delaying proper care.  If it’s there, the patient is generally very sick.  Don’t wait for these findings to make the diagnosis and treat.  COMPLETE EXCISION mandatory.

 

Fascial necrosis zone - Even where skin may seem normal, the adipose fascias can be thoroughly infarcted.  It will be recognized by degeneration and suppuration of the fascias - i.e. fat necrosis and pus, “pyofascia gangrenosum” if you will.  In enteric or synergistic gangrene, the involved tissues are typically liquefied, brown, and putrid.  With strep and staph, the tissues have a granular pearly opacification with areas of “white” suppuration.  In either case, this is all dead and abscessed.  COMPLETE EXCISION mandatory.

 

Fasciitis zone - This is a more peripheral zone where inflammatory changes are present, but necrosis and suppuration have not yet occurred.  (Remember, that one of the things which makes clostridial and strep fasciitis so problematic is that these areas will degenerate quickly - hour by hour changes - and the quicker the surgery, the less damage.)  These areas need drainage and debridement, but complete excision and skin removal can be avoided.  Drainage and debridement means that the fascial planes are complete dissected and opened for drainage, and fat is excised piecemeal, removing suspect areas, but leaving areas that are not necrotic, and leaving skin.

 

Marginal edema - The above comments are true for all N.F., but the profuse watery edema issue is more distinctive for streptococcal and other Gram + N.F.  The profuse watery edema is obvious, and it is active disease.  But bacterial loads and toxin levels are relatively low here, and the tissues are still intrinsically healthy.  Remember, that the edema is a promotional factor for Gram + organism, and controlling edema alone can eliminate minor infections or infection risk in many situations - one of several reasons why edema control is one of the quintessential cornerstones of good care for all soft tissue pathology.  For N.F. simply incising and opening the edematous areas (thoroughly), and letting the edema run out, will arrest the disease in these marginal areas.

 

SURGERY IS MANDATORY - good surgery.  No cheating allowed.  Antibiotics are required for good outcomes, but antibiotics do not work when the surgery has not been thorough.  Aggressive surgery alone can often cure these patients - especially the mixed-enteric N.F.  Antibiotics alone mean death.  Good care means aggressive use of both, but do not misunderstand the pivotal role of THOROUGH surgery.

 

The guiding principle is that the disease should be controlled or cured with ONE operation.  Subsequent trips to the OR for cleanup debridement are meritorious, but if you are going back to arrest progressive disease, then the first operation was inadequate.  DON’T LET THIS HAPPEN.  Do a CURATIVE procedure the first time.  PERIOD.  If this is all new to you, and you are unfamiliar with recognizing what is and isn’t viable or what MUST be excised versus optional areas, then BETTER to excise more, not less.  Skin is easy to reconstruct on living patients.

 

------------------------------------------------------------------------------------------------------------------------------------

RIGHT - Schematic illustration of the relative zones of involvement.

 

LEFT TOP - An incision near the peripheral margin of strep A fasciitis.  Note the high volume watery edema “flooding” the subcutaneous panniculus.

 

LEFT 2nd - An incision reveals necrosis and suppuration in the adipose and muscular fascias.  This is the same patient as the top picture, but in a more central zone where actual fascial necrosis has already ensued.  Overlying skin is still completely viable.  Thorough excision of the inflamed, abscessed, or infarcted tissues is mandatory, but if thorough, and the circulation to the skin has not been destroyed, then the skin can be saved.

 

LEFT 3rd - An external view of strep fasciitis.  The bright erythroderma and edema are characteristic, accompanied by pain and tenderness.  The skin is viable and salvageable, but the fascias underneath are actively infected and need complete drainage-debridement-excision.

 

LEFT BOTTOM - (Acquired image, source unknown - credit to the originator) - Strep A fasciitis, with evolving skin infarction.  The skin in this zone needs excision.

 

 

 

 

 

SLIDE SUMMARY:  The message cannot be overemphasized, so take it from this guy:

The goal and standard of good care is to CURE THE DISEASE WITH ONE OPERATION.

Git-r-done.

 

------------------------------------------------------------------------------------------------------------------------------------

This is an important principle that requires repetition and reiteration:  DO A CURATIVE OPERATION.  As was stated on the last slide:

 

“SURGERY IS MANDATORY - good surgery.  No cheating allowed.  Antibiotics are required for good outcomes, but antibiotics do not work when the surgery has not been thorough.  Aggressive surgery alone can often cure these patients - especially the mixed-enteric N.F.  Antibiotics alone mean death.  Good care means aggressive use of both, but do not misunderstand the pivotal role of THOROUGH surgery.

 

“The guiding principle is that the disease should be controlled or cured with ONE operation.  Subsequent trips to the OR for cleanup debridement are meritorious, but if you are going back to arrest progressive disease, then the first operation was inadequate.  DON’T LET THIS HAPPEN.  Do a CURATIVE procedure the first time.  PERIOD.  If this is all new to you, and you are unfamiliar with recognizing what is and isn’t viable or what MUST be excised versus optional areas, then BETTER to excise more, not less.  Skin is easy to reconstruct on living patients.”

 

If you don’t believe this, maybe you’ll listen to Larry the Cable Guy.

 

------------------------------------------------------------------------------------------------------------------------------------

ILLUSTRATION - This shows a patient who had strep fasciitis of the lower extremity.  He is now stable and “healthy” after one operation.  The surgery, and the companion good wound care represent the two initial phases, A & B, of the wound management - debridement and interim wound care.  In another week or two, the wounds will be healthy enough for closure.

 

 

 

 

 

SLIDE SUMMARY:  These slides illustrate cases of NF where one operation cured the disease, and the patients went on to survive and heal.

Here are more examples of what it means to excise and drain the disease.  Each of these patients had just ONE operation to control the infection.  Subsequent procedures were for wound closure.

 

------------------------------------------------------------------------------------------------------------------------------------

LEFT UPPER - Staphylococcal N.F. arising in a leg amputation, which progressed cephalad, then into the shoulder, the down to the hand.

 

LEFT LOWER - Group A strep, following a knee arthroscopy. which extended throughout the entire trunk and both lower extremities.

 

RIGHT UPPER - Group A strep.  This is the same patient as BOTTOM on Slide 4.  Because this patient had prompt recognition and diagnosis, and expedited surgery, the surgery was done at a time when there was no skin necrosis.  There was more erythema, edema, and non-necrotic fasciitis than there was necrosis and suppuration.  Surgery consisted mostly of multiple drainage incisions and subcutaneous fascial debridement.

 

RIGHT LOWER - Groin infection after vascular procedure, mixed enteric flora.  The wound surface looks as expected - chocolate brown surface due to blood and thrombus mixed with silver sulfadiazine, and reduced silver from the SSD.  Note the skin margins and periwound skin: no inflammation, no erythema, no edema; and the patient is “healthy” now.

 

Remember, each of these potentially fatal infections was cured with one operation.  Some were greater and some were lesser in scope - it is what it is for each patient - but all were “cured” in one operation, regardless of how extensive the disease was.  NOTHING LESS should be acceptable.

 

 

 

 

 

SLIDE SUMMARY:  When the disease is cured, the wounds must be cared for and then closed.  The principles of good hygienic wound care must be adhered to.  When the wounds are ready for closure, the choice of method is based according to the basic principles of plastic [reconstructive skin] surgery.  However, healthy wounds heal themselves, and allowing a wound to contract on its own, with the support of good wound care, is the preferred option in many situations.

 

------------------------------------------------------------------------------------------------------------------------------------

The rest of this presentation focuses on the surgery of repair - putting the patient back together after the damage is done and the disease controlled.

 

The main message is simply that putting people back together is “easy” enough.  Like any other sophisticated process in medicine and surgery, good results depend on time, attention, and effort.  Repairing or restoring the skin is not a triviality, but the art is so well established, and the methods are so practicable, that headache-free treatment programs and good outcomes are predictable and dependable.

 

Adequate initial treatment - the curative surgery - must NEVER be compromised.  With the good methods of skin restoration that we now have, no surgeon need ever be intimidated by the need to remove whatever needs to be removed, no matter how extensive.

 

How does one manage the wound or skin deficits after the initial cure?  The focus here is on the reconstructive surgery program.  It is assumed that readers are familiar with the necessity of and principles of good wound care, including the all-important notion that no wound can be closed until it meets criteria for safe and dependable closure.  Wound therapy Part B, the daily topical preparatory care, glides into Part C, the repair, as the wound cleans up and meets the closure criteria. 

The details of good hygienic wound management have been alluded to on previous slides, and this art can be studied from many other public resources.

 

Cure the disease.

Take care of the wound.

Now what?

 

There are four classic modalities of getting a wound closed.

 

The ordinal paradigm is to let the wound close itself.  Wounds heal.  The body is programmed to do it.  For many wounds and patients, surgery is optional ... or entirely unnecessary ... or thoroughly meddlesome ... and sometimes even counterproductive or damaging.

 

There are many reasons to do wound closure surgery.  There are equally many reasons NOT to do wound closure surgery.  Choices are made case by case, for each patient or wound or part of a wound.

 

Healthy wounds heal.  Don’t meddle with a good thing.

 

------------------------------------------------------------------------------------------------------------------------------------

ILLUSTRATION - This shows a young man who speared his wrist on a splinter in a lumber yard.  Septic tenosynovitis ensued.  The flexors were drained and debrided.  the wound was managed by basic hygienic care: daily bathing, SSD, splints, edema control.  The wound contracted and closed.  Therapy restored full range of motion.  Easy.  Done.  Surgery to repair the wound would have served no purpose except to spend money and resources, and perhaps delay his therapy.

 

 

 

 

 

SLIDE SUMMARY:  When surgery is required for wound closure, there are three conventional paradigms of wound closure surgery (based on fundamental biological and technical differences).  The simplest paradigm is simple repair - direct coaptation of existing skin margins.  This slide illustrates the principles and cases of fasciitis wounds eligible for simple repair.

 

------------------------------------------------------------------------------------------------------------------------------------

When wound closure surgery is needed, the methods of surgery all fall into three paradigms:  simple repairs versus grafts versus flaps.  These three paradigms are all distinguished by some categorical technical and biological differences.  They all share one common principle - they all depend on a healthy wound and normal wound repair physiology.  Choices for closing any wound are made on some very basic criteria.

 

Surgical wound closure paradigm #1:  Simple repairs.

This means taking the wound as is, advancing its existing margins, and “suturing” them (sutures, staples, glues, tapes, whatever).

 

N.B.  Any competent wound closure surgery, regardless of method, is preceded by a period of preparatory care, and then, at the time of closure, the existing wound surfaces are excised, curetted, or otherwise cleaned up to a point that the closure will heal and not have complications or failures.  This a mandatory requirement of all surgical wound closure, large and small.  These technicalities are implicit in every case presented here, and in any discussion of wound closure.

 

Simple repairs work when skin margins come together easily and wound healing is normal.  This is always the theoretical first choice, but large skin injuries create situations where it simply cannot be done.

 

------------------------------------------------------------------------------------------------------------------------------------

LEFT - A typical simple repair case, a dogbite injury of a thigh.  After spending a couple of days of basic care, the wound surface was excised, and the margins were sutured.  Had it been a few centimeters wider, this might not have been possible.

 

RIGHT UPPER - The same strep N.F. case as on Slide 9.  Because the process was drained early, before extensive necrosis, most of the skin is still present.  The gaps shown are just the normal elastic retraction of any incision.  About a week after the initial surgery, the wounds were closed by simple straight line repairs.

 

RIGHT LOWER - Strep fasciitis of the lower extremity, after drainage and debridement, and a week of good wound care, ready for closure.  Simple incisions of the thigh and leg are closed by simple repair.  Missing skin at the knee required an alternate method (Integra CGM was used, discussed on later slides).

 

 

 

 

 

SLIDE SUMMARY:  The second paradigm of surgical wound closure is skin grafts.  Pros, cons, and illustrative examples are shown.  The main purpose for skin grafts is convenient efficient closure of large areas that have no special concerns (such as exposed viscera or implants).

 

------------------------------------------------------------------------------------------------------------------------------------

When simple repairs cannot be done, an alternative is skin grafts.  A graft has no anatomical connection to the host.  It depends entirely on a healthy host wound to nourish it and execute the healing process.  Grafts must be suitable thin to survive, and typically they just restore missing epithelium (epidermis).  The advantages of skin grafts are that they are extremely convenient and pragmatic.  As the donor sites heal, thin split thickness grafts are a renewable resource.  This property is highly advantageous for large burns with limited donor sites.  If grafts fail, nothing is lost except time and effort.  Since grafts are strictly dependent on a healthy host wound, they cannot be used over non-living or non-healing surfaces, including cartilage joints, open fractures, hardware, any other gap or void, or over pathological wound-healing-incompetent wounds.

 

The main use for skin grafts is simple rapid skin restoration on large areas, simply to get the job done.  Assuming that they live and heal, their biggest liability is that they heal with lots of scar, leading to contractures and deformities which often require later excision and more formal reconstruction. 

 

For most fasciitis, the net wound surface may be huge - sometimes well in excess of total body surface area - due to the multiple fascial planes that were opened (a tangential incision is like opening a book - 100 sq cm of topographical area becomes 200 sq cm of open wound).  However, the net skin loss, even in the most severe cases is typically small, as compared to burns and degloving injuries.  There are rarely any problems or inadequacies in harvesting the required amount of skin.

 

If for any reason, some type of interim wound closure is desirable, this can be done with disposable resources (this is true for any large wound of any etiology).  These include cadaver allograft, porcine xenograft, and alloplastic Biobrane®  (Bertek Pharmaceuticals, Inc., West Virginia).  These provide the advantages of skin coverage and wound closure for limited periods (days to weeks), buying time to get the patient healthier and plan the eventual autogenous reconstruction).

 

------------------------------------------------------------------------------------------------------------------------------------

LEFT - A typical skin graft case, an ankle ulcer due to vascular disease, nursed back to health and a healing wound after revascularization.  The granulation tissue and other wound module elements denote that the wound is healing competent and receptive to skin grafts, which are shown fully healed.

 

RIGHT UPPER - A debrided leg, ready for closure.  With no special requirements or caveats for closure, simple skin grafts were used.

 

RIGHT LOWER - Strep N.F. in the groin and surrounding areas.  The prepared wounds are ready for closure.  Skin grafts are shown, healing normally, a week after surgery, applied to non-essential broad areas of thigh and pubis.  (The groin, a mechanically active area, was closed with a flap, discussed on the next slide.)

 

 

 

 

 

SLIDE SUMMARY:  The third paradigm of conventional wound closure is flaps.  The various indications, pros, and cons, as well as illustrative examples are shown.  Flaps are required when coverage of exposed structures, avoidance of contractures, or quality of the reconstruction are central concerns.

 

------------------------------------------------------------------------------------------------------------------------------------

The third classical paradigm of wound closure surgery is the flap.  Flaps have an anatomical attachment to the host.  properly prepared, they have their own circulation and normal biology, preserving their ability to execute the wound healing process.  Flaps are used for several reasons:

1 - Simple convenient closure for minor daily defects (minor trauma and skin excisions) and general plastic reconstruction.

2 - When normal quality or composite tissues are needed for a quality reconstruction.

3 - “Essential coverage” for exposed structures that cannot support a skin graft.

4 - Because good flaps are independently healthy and able to heal, they are used to cover wounds which are incompetent to heal, such as a radiation wound or an exposed implant.

 

The advantages of a flap are the quality and reliability of the reconstruction, and the dependability of a healed wound (assuming the flap is done properly).  The disadvantages are various, including significant donor sites or sacrifice (often times a lot to lose if the reconstruction fails).

 

------------------------------------------------------------------------------------------------------------------------------------

LEFT - A typical flap indication, an ischial pressure ulcer.  A flap is needed to: restore composite tissues; provide thick compliant tissue (low shear modulus over a bony contact surface); bulk filling of a large volumetric bursa; normal durable non-fragile shear-resistant full thickness skin; extensibility across a joint.

 

RIGHT UPPER - An open arm and shoulder after staphylococcal N.F.  Simple repairs cannot be done.  Skin grafts would be a late problem due to muscle tethering and joint contracture or restriction.  Rather than create large flaps with lots of additional incision, only a small easily advanced flap was used, right where it would do the most good - across the mechanically active skin areas of the shoulder joint.  (The remaining areas were then closed with Integra).

 

RIGHT LOWER - The same patient as from the previous slide.  Skin grafts across mobile areas will contract and restrict motion, or else be subject to repetitive fracture and chronic ulceration.  The lower abdominal fatty panniculus offered a simple solution to avoiding any later reconstruction.  A flap was pulled across the the groin, which is the mechanically active flexion crease of the hip joint.  Late reconstructive will not be needed (unless for cosmetic reasons).

 

 

 

 

 

SLIDE SUMMARY:  There a variety of conditions and caveats which threaten or contraindicate the usual paradigms of wound closure surgery.  repairs, grafts, flaps - all three have in common that they depend on normal healthy wound healing.  When the healing process is impaired, or when wound and patient conditions interdict surgery, there is a need for something more suitable.  This slide lists common challenges to conventional surgery.

 

------------------------------------------------------------------------------------------------------------------------------------

The first book on skin grafting was written by Baronio, of Italy, in 1803.  Flaps for reconstructive surgery are recorded from ancient times (including the Susruta Samhita of ancient India, 4000 years ago, documenting flaps for nose reconstruction).  Simple wound repairs are present in many primitive cultures.  In other words, the basic paradigms of surgical wound closure have been around awhile.  Understanding the sciences and arts of doing these things, to close wounds and reconstruct defects, is what the “Real Plastic Surgery” is all about.

 

BUT - these classic methods do not solve every surgical problem.  Common to all of these is that they depend on normal healthy physiological post-inflammatory wound repair.  But not all wounds or hosts are wound healing competent.  Various other logistical and technical factors, and factors of disease and patient status can all hamper or disallow the use of these modalities.  The text on the slide lists common caveats that interdict customary surgery, or create headaches for planning and executing usual operations.

 

------------------------------------------------------------------------------------------------------------------------------------

RIGHT - A 60 YO woman with advanced uncontrolled rheumatoid arthritis, and arteriosclerotic vascular insufficiency.  This wound is a paradigm example of the advanced rheumatoid wound - extensive immune panniculitis and synovitis with immune mediated histolysis.  Even when the out-of-control rheumatoid is tamed, inflammation arrested, and active wound pathology subsided, the arterial disease will present challenges for getting it healed.  There are no flaps available locally.  free flaps have no place to anastomose.  Flaps will be subject to failure from persistent wound inflammation, in spite of adequate wound preparation.  Skin grafts cannot take.  Even if the wound and patient had “good protoplasm”, skin grafts on moving tendons are disallowed.

 

What to do?

 

 

 

 

 

SLIDE SUMMARY:  For large and unhealthy wounds, quality of care and ultimate outcomes have undergone significant improvements in the past 10 years, due to the advent of skin regenerative matrices.  The most useful for large wounds after burns, deglovings, and fasciitis is Integra-CGM (collagen-gag matrix).  It’s many unique properties translate to biological and clinical benefits.

 

------------------------------------------------------------------------------------------------------------------------------------

Remember:  The conventional paradigms of wound closure - natural contraction, simple repairs, grafts, and flaps - all have one thing in common.  They depend on normal healthy physiological wound healing.  They are also constrained or limited when wound areas become extraordinarily large, or when there is extensive multifocal injury and exposed structures.

 

The new modern solution to these problem wounds are the skin regenerative matrices.  Clinically available for only a decade, they have completely altered the approach to complex, pathological, and extensive wounds.  The most versatile of these, and the most suitable for missing skin restoration, is Integra® Collagen-GAG Matrix (CGM), aka Integra Artificial Skin, or just plain “Integra” (Integra Life Sciences, Inc., Plainsboro, New Jersey).

 

Alloderm® (LifeCell Corporation, Branchburg, New Jersey), a highly processed cadaver dermis, has similar biological effects, but lacking an “epidermal” barrier component, it has become more useful for internal applications, and for anything requiring tensile strength, such as for fascia, ligament, and tendon reconstruction (also marketed as Graft Jacket by Wright Medical Technology, Inc., Arlington, TN).

 

Integra has become the Wizard of amazing feats of wound closure and skin restoration for complex wounds.  The remainder of this presentation will focus on its suitability for skin closure and reconstruction after necrotizing fasciitis.

 

Additional extensive Integra resources are available at arimedica.com.

 

Integra is composed of a working layer of the CGM matrix, overlayered with a silicone “epidermis”.  The active matrix is a spongy combination of type 1 collagen (bovine achilles tendon) and chondroitin-6 sulfate (shark cartilage). The material is used as a sheet graft, applied to a prepared wound.  Over a period of 3-6 weeks, regenerative new tissue fills the matrix.  When fully regenerated, the silicone is peeled off, and thin epidermal autografts are applied to complete the reconstruction.  Although it is applied to the surface and used like a skin graft, Integra must be thought of as an implant - a “surface implant”.

 

Integra has remarkable biological and clinical properties.  It is recognized by the host as normal self.  Unlike biomaterials, it is not alive, so it survives pathological conditions that kill grafts or dissolve repairs.  Defensive reactions, inflammation, are COMPLETELY suppressed.  Normal wound healing, leading to scar and contraction, is never initiated, meaning no scar and no contraction.  It induces an embryonic type of dermatogenesis within the matrix.  The matrix will conduct new tissue tangentially, allowing for the coverage of essential structures.  These properties, completely unique in the world of surgical and medical tools, are the basis for Integra’s extraordinary utility and ability to solve tough problems.

 

IN THE SHORT RUN, Integra is a very effective high quality skin substitute, perceived by the body as a normal epithelial boundary.  It physiologically “hides” the wound from the host.  It makes wounds and patients healthy.

 

IN THE INTERMEDIATE, it transitions into the agent of skin regeneration.  One device takes care of both acute biological coverage and subacute skin restoration.

 

IN THE LONG RUN, its ability to suppress scar means that contractures do not occur, and late reconstruction is not needed.

 

------------------------------------------------------------------------------------------------------------------------------------

LEFT:

- The upper panels show two orthogonal views (“Langer’s lines”) of normal dermal collagen.  Normal dermis, while tough (in its axis), is nevertheless elastic and distensible (its orthogonal, anisotropic), due to a woven and oriented fibrous architecture that permits gel-like deformations to a certain degree in certain directions.

- The middle panels show young scar and young Integra.  The young scar is so tightly packed with random isotropic collagen amalgam, that no elastic motion is possible.  Integra starts off porous and deformable.  It forces collagen to form into discrete incoherent loci with zero net tension.  It moves like normal skin, right from the beginning.

- The lower panels show that, as the months and years roll by, scar and Integra both get slowly remodeled back to a dermal architecture.  Scar takes months or years to get there, risking contractures and reconstructive surgery in the meantime.  Integra has the mechanical properties of skin from the beginning.

 

RIGHT - Integra, separated to show the silicone and CGM laminas.  A biopsy shows the matrix sitting on top of fascia.

 

 

 

 

 

SLIDE SUMMARY:  Integra’s biological effects arise from its ability to completely turn off inflammation and supplant normal post-inflammatory wound healing with embryonic-like dermatogenesis.  This means that inflammatory injury is arrested, care is minimized, and scar is suppressed.

 

------------------------------------------------------------------------------------------------------------------------------------

This is a closer look at Integra’s biological effects.  In its role as an acute skin substitute, it arrests inflammation and normal wound repair.  The host no longer recognizes the injury, and it ceases to be a physiological wound.  Pathological wound behavior stabilizes, and adverse events, such as progressive necrosis and ulceration cease, and inflammatory symptoms abate.

 

In its subacute role as a dermal or fascial regenerant, it eliminates normal reparative scar fibroplasia, inducing instead the embryonic process of dermatogenesis.  The result is a laminar new tissue comparable to dermis and distinct from scar, and without scar related complications.

 

------------------------------------------------------------------------------------------------------------------------------------

TOP - Several days after placement, the Integra CGM matrix has only a few cells in it.  These are small lymphoid “pioneer cells” which are the progenitors of the subsequent histogenesis.  Leukocytes never appear in the matrix, and inflammation does not occur.  The leg ulcer is due to protein S deficiency.  Control of chronic inflammation and ulceration was difficult in spite of relevant treatments and good wound care.  Typical of all such patients, periwound inflammation ceases promptly upon placement of the Integra.

 

MIDDLE - Regenerated Integra has a pale opacified appearance under the silicone.  Having regenerated according to embryogenic rules, vascular density is correct - the same as normal dermis and fascias.  In a seam between pieces is some normal inflammatory wound healing, characterized by hypervascular “granulation tissue”.  In a different patient, a similar seam is seen after healing.  This recently healed / regenerated wound has normal soft compliant dermal characteristics in the broad Integra areas.  The seam is normal young scar, red and hypertrophic.

 

BOTTOM - An chronic ulcer has occurred over the anterior ankle following a burn.  The normal scar is stiff and non-compliant, fracturing with plantar flexion (leading to more scar, and so on).  This is normal scar mechanics, which is clinically undesirable.  In comparison, this Integra reconstruction, on the dorsum of hand and wrist, is only a few weeks after completion.  It is soft flat, normal color, and most important, it is highly compliant and pliable - skin, not scar.

 

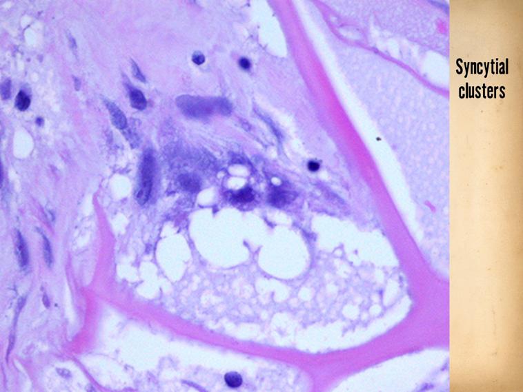
LEFT - The reasons why the material induces embryonic activities can be studied in other resources (at Arimedica.com).  This slide shows a key piece of evidence - the syncytial fibroblast, which is the embryonic dermatoblast, a cell which NEVER - not ever - appears in a normally healing wound.

 

 

 

 

 

SLIDE SUMMARY:  The basis for Integra CGM’s biological effects is understood in many ways.  This illustrates a key component: the matrix is developing a cluster of syncytial fibroblasts.  This is the embryonic dermatoblast, a cell which NEVER appears in normal wound post-inflammatory repair.

 

------------------------------------------------------------------------------------------------------------------------------------

Here is a close up of another syncytial cluster.  The small pioneer cells, seen on the previous slide, proliferate into small clusters like this, composed of several syncytial fibroblasts. which are starting to make young fibrillar collagen (pale pink), nestled within a pore or domain of the matrix.  Some other not-yet-transformed lymphoid progenitor cells are also present (they must bind to the matrix to begin the process, an effect of the aminoglycan in the material).

 

 

 

 

 

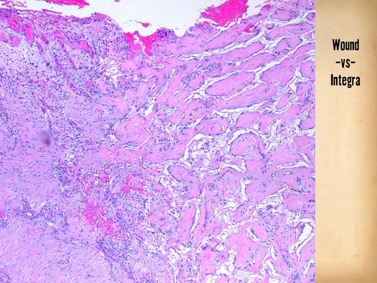
SLIDE SUMMARY:  This is a view of regenerated Integra side-by-side with normal wound healing.  Each half is completely normal and healthy, but the differences are profound - normal wound module versus induced dermatogenesis.

 

------------------------------------------------------------------------------------------------------------------------------------

This is a slide showing two distinctly different yet entirely normal events.  On the left is a normal wound module.  On the right is normal Integra.  An original biopsy was taken a week earlier.  The biopsy site, now a normal open wound, developed normal granulation tissue.  The new biopsy was centered on the boundary.  Each half of the image is a completely normal and paradigm demonstration of their own events - normal post-inflammatory wound module, and normal Integra histogenesis.  Absent the matrix, cells follow their normal healing program.  In the presence of the GAG matrix, inflammation-repair is suppressed, and embryonic histogenesis is induced.  Cells, all having the same genotype, remain pluripotential, and can be induced to one reactive program or another depending on inputs.  The histogenesis response never occurs in normal post-parturitional injury and healing, but it can obviously be invoked with the right trigger.

 

 

 

 

 

SLIDE SUMMARY:  At the late end of the spectrum (1 year after Integra), the differences between wound and Integra are still dramatic:  nearly normal looking dermis (right, Integra) versus contracted non-compliant scar.

 

------------------------------------------------------------------------------------------------------------------------------------

Another side-by-side of normal healing versus Integra, at the other end of the timeline.  Taken a year after Integra placement, The Integra (right) looks like normal dermis.  the conventional scar (left) is maturing, and developing some more normal dermal characteristics (fiber formation with interstices).  Yet the scar is what it is, highly collagenous, contracted, and apparently stiff.  (At bottom left are glomerular ghosts, as this reconstruction was done to close a large abdominal and flank defect, with multiple exposed viscera).

 

 

 

 

 

SLIDE SUMMARY:  Integra’s biological properties translate in to clinical advantages.  This slide illustrates superior clinical outcomes that arose directly from these biological properties, including suppression of inflammation, control of pathological behavior, and tangential histoconduction.  Listed too are some of the caveats against conventional surgery (from Slide 14), and how Integra-CGM solves those issues.

 

------------------------------------------------------------------------------------------------------------------------------------

Integra’s desirable clinical properties mirror its biological properties.  Suppressing inflammation and controlling pathological wound behavior are of central importance.  The dermal regeneration in lieu of scar has it obvious advantages.  The matrix supports tangential histoconduction, tissue creeping through the matrix, from areas in contact with normal tissue, to other areas that might not be in contact.  This allows new tissue to form over a non-living or non-cellular hiatus, including cartilage, open joints and other anatomical spaces, and even alloplastic materials.  As such, Integra can fulfill many of the purposes of conventional flaps.

 

Recall from Slide 14 that there are many reasons why conventional wound repair surgery may have limits, caveats, or contraindications.  If these difficult situations are now approached with Integra or other regenerative matrices, many of these challenges can be readily solved.  Select issues and responsa are listed in the slide text.

 

------------------------------------------------------------------------------------------------------------------------------------

LEFT UPPER - A persistent, persistently inflamed, and progressively ulcerative ankle ulcer in a patient with rheumatoid and Factor V Leiden.  Inflammation ceased immediately with Integra.  A year later, the ankle is healed (there is new Integra on the contralateral ankle, after a rheumatoid flare caused many new ulcers; the old reconstruction remained safe).

 

LEFT LOWER - A chronic granulomatous ulcer of unknown origin (presumed to be an occult atypical pathogen).  It failed many skin grafts over many years.  Proteinaceous plaques appeared shortly after re-excision (left).  In spite of the prior disappointing surgical history, use of Integra controlled wound dynamics and pathology enough for general improvements to occur.  The regenerated material (middle) is ready for skin grafts, which have remained healed for years (right).

 

RIGHT - This open fracture and repair was complicated by two failed free flaps and other wound problems.  No further conventional surgery is permissible.  (When seen in consultation, a workup was done for customary underlying diagnoses, especially immunopathic and hematological, but no problems could be identified).  Integra was used, but it was not intended to be a skin reconstruction.  Instead, it was meant to be used as a high grade interim skin substitute for a few months, until the fracture was healed and the hardware could be removed.  However, the histoconductive properties of the material allowed new tissue to grow over the implant.  The patient is otherwise normal, and the implant remains in place after 4-5 years.

 

 

 

 

 

SLIDE SUMMARY:  These cases illustrate the general use of Integra.  In each of these case, disease and patient condition assured that any conventional operation would have failed or caused harm to the patient.  Because Integra has no donor sites, is not alive to begin with, suppresses inflammation, bridges gaps, and does not depend on normal wound healing, it solved all of these problems with no risk to the patients.

 

------------------------------------------------------------------------------------------------------------------------------------

Before moving on to fasciitis patients, here is a gallery of challenging cases, to familiarize you with Integra’s properties and capabilities.

 

LEFT - Typical Arizona Native American patient with advanced diabetes and upper extremity atherosclerosis.  Long finger injury and problems on the adjacent ring finger left a problem for covering flexor tendon and PIP joint.  Local flaps are impossible.  grafts cannot be used over the open structures.  Integra solved the problem with no risk to the patient or hand.

 

MID UPPER - Aorto-iliac atherosclerosis causing foot problems, then progressive amputations.  Thigh necrosis will continue if conventional surgery is tried again.  Excision and closure with Integra solves the problem with predictable certainty, with no risk to the patient or local structures.

 

MID CENTER - An achilles ulcer in a patient with Wegener’s granulomatosis.  Conventional surgery risks wound complications, and general anesthesia has risks for this patient.  Integra healed the wound with minimization of all risks.

 

MID LOWER - An open phalanx and MP joint in a patient with advanced scleroderma.  All conventional options for closure are confounded by non-compliant skin and tissue ischemia from chronic vasculitis.  Integra heals the defect dependably, and with no risks.

 

RIGHT - A complex foot defect from complications of vascular disease.  Although the foot has been revascularized and is now healing, open bones and joints need deliberate operative coverage.  Conventional flaps are either impossible or subject to significant risks.  Integra solves the problem with no risk to foot or patient.

 

 

 

 

 

SLIDE SUMMARY:  This slide reiterates why Integra-CGM is useful when normal surgery cannot be done.  Integra represents a new and independent paradigm of wound closure surgery - in situ tissue engineering - a process independent of normal mature wound healing.

 

------------------------------------------------------------------------------------------------------------------------------------

Here are some more non-fasciitis cases.  The purpose of these case studies is to demonstrate that Integra use is unlike any other surgery.  It represents a new independent paradigm of wound repair surgery:  in situ tissue engineering.

 

When conditions and caveats of the wound or patient disallow a conventional repair, even when a flap is needed for complex coverage, Integra CGM can heal the wound.  Because it does not depend on conventional wound repair (in fact, it suppresses repair), it is a distinctly different mode of surgery than repairs, grafts, and flaps.  That its response is an embryonic one that also eliminates scar is an added bonus.  It succeeds where other options are ineligible or fail.  Its easy use, unlimited procurement, lack of donor sites, and lack of any patient risk makes is the cherry on the sundae.

 

------------------------------------------------------------------------------------------------------------------------------------

LEFT - Chronic ulceration in a young man with chronic post-phlebitic venous hypertension, and Factor V Leiden.  Previous grafts, repairs, and natural closure have been unstable, with repetitive re-ulceration.  Thorough excisional debridement exposes a long segment of tibia.  A free flap is the textbook option, but it carries substantial surgical and disability risk in a young laboring man with a hypercoagulopathic disorder.  Integra solved the problem with no risks or hospitalization.

 

RIGHT - An active diabetic patient had non-septic forefoot necrosis.  Basic comprehensive care and a transtarsal amputation resolved the necrosis, leaving a wound eligible for closure.  This is a “good” amputation because all major ankle tendons are still inserted, making a stable useful ankle.  Closure by conventional methods is impossible: skin grafts cannot take over open joints, no local flaps safe or available, free flaps high risk due to vascular disease, further bone recession for simple repair will destabilize the ankle.  Integra solves the problem with no hospitalization, no risk to the patient, and a superior result.

 

 

 

 

 

SLIDE SUMMARY:  Integra’s many properties mean that, although it is the only good option for certain cases, it is also the preferable option for certain cases where grafts and flaps would still be eligible.  Each case illustrates a problem which would have healed with grafts or flaps, but would have healed poorly with further problems, but an Integra reconstruction preempted or prevented difficulties.

 

------------------------------------------------------------------------------------------------------------------------------------

In many of the cases presented, Integra was the only suitable option for surgical wound closure.  This means that before the advent of this and comparable products, the conventional options were inadequate or problem-prone, and that indeed was the case.  The general effect of Integra and similar devices has been to extend the horizons of safety and efficacy in the management of complex wounds, including chronic and pathological wounds as well as large acute wounds.

 

There are, of course, many simpler cases where conventional options are still eligible.  For many cases, most in fact, the conventional options are still most appropriate.  However, there are healthy wounds, biologically eligible for the usual options, where Integra is preferred - not because of biological necessity, but because of its other desirable properties:  avoid donor sites, avoid scar, thin tissues that do not need debulking, outpatient management, control of inflammation and wound and patient pathologies.

 

In other words, when Integra was a novel product in 1996, it was seen as a bailout or last ditch option for terrible problems.  Now, it is being seen as the preferred option for many problems because it is safer and gives superior results for many patients, wounds, and problems.  And, for the big problems such as burns, deglovings, and fasciitis, it has revolutionized management of the patients and wounds.

 

In these four case, Integra was not mandatory - anything else would have healed with proper technique and care.  But, it was the only suitable option in the interest of effective or superior results.

 

------------------------------------------------------------------------------------------------------------------------------------

UPPER - Hand necrosis after an arterial injection injury.  In spite of the bad appearance, most of the hand (up to the metacarpal heads) was salvageable after aggressive wound, vascular, and soft tissue management.  Preservation of length was a top priority.  Conventional options for closure or reconstruction were inadequate or ineligible:  no local flaps, no free flaps, no skin grafts over protruding bone, etc.  Groin or abdominal flaps would have qualified, but would have left bulky lax tissues needing revisions, with poor sensation.  Integra not only got the wound closed with no problems, but it left a mechanically superior result.

 

LEFT - Necrobiosis lipoidica of many years duration, with persistent active ulceration and many failed skin grafts.  Excision of skin and fascias, and resurfacing with Integra healed the problem.  The skin has remained stable for several years.  It achieved thin smooth skin cosmetically suitable for the anterior leg, and did so with no hospitalization and no donor sites.

 

CENTER - An ear keloid, having recurred after prior attempts to treat.  After excision and resurfacing with Integra, there is no scar.  Any other surgery, which depends on normal fibroblastic wound healing, simply makes more keloid.

 

RIGHT - Severe elbow, shoulder, and wrist contractures occurred in this pre-teen girl following burns and skin grafts.  Integra resurfaces all scars and missing skin, and completely corrects the contractures, seen here while the Integra is in place, and several months after completing the reconstruction.  Integra SHOULD HAVE BEEN USED as the initial wound closure during her acute care.

 

 

 

 

 

SLIDE SUMMARY:  This slide summarizes the key data and conclusions from a study of Integra, where Integra was used for the closure of chronic and pathological wounds which would have failed or had complications with conventional surgical closures.  The wound closure success rate and the coverage of essential structures success rate were both about 90% - well beyond what would have happened with repairs, grafts, and flaps.

 

------------------------------------------------------------------------------------------------------------------------------------

A measure of the efficacy of Integra comes from this paper, in which Integra was used for the closure of chronic and pathological wounds.  120 patients were studied over 6 years.  These patients and wounds were opted for Integra because of the caveats and conditions which interdicted conventional surgery.  While one can never measure the “road unraveled”, the anticipated failure rate for these patients, if conventional repairs, grafts, or flaps had been used, was nearly 100%, which is precisely why Integra was opted for these patients.  The major diagnostic categories are listed.

 

Integra fully healed these complex wounds in 71% of patients.  In another 10%, it contributed to most of the healing, paving the way for some final second grafts.  In 10% of patients, the reconstruction contributed to a significant improvement in size of the wound or patient status, although additional care was required for complete closure, or small residual wounds remained open.  The reconstruction failed in only 9% of patients.  The material itself performed as it should, but failed wounds or amputations occurred anyway.

 

In retrospect, two patient profiles were identified as contraindicating the use of Integra-CGM.  Those situations of desperately poor arterial circulation, ABI’s around 0.3 or less, will categorically fail attempted surgery, including Integra.  Plantar diabetic wounds also failed , but always because of compliance and weight bearing issues, not because of any intrinsic problems with the material’s regeneration.

 

If the patients subsequently recognized as fitting these contraindications are excluded, the success rate for healed closed wounds was 92%.  90% of the exposed essential structures (bone, tendon, joints, etc.) were successfully closed.

 

Integra supplanted or equaled or outperformed flaps, in situations were flaps were nominally indicated on technical criteria, but were contraindicated by real patient conditions.

 

Dependable positive results, with no risk to the patient, for problems which would have failed conventional wound closure surgery.  This is the value of in situ tissue engineering with skin regenerative matrices.

 

------------------------------------------------------------------------------------------------------------------------------------

Gottlieb ME, Furman J.  Successful Management and Surgical Closure of Chronic and Pathological Wounds Using Integra®.  Journal of Burns & Surgical Wound Care, 3:2, 2004.  (journalofburnsandwounds.com).

 

Gottlieb ME. Management of Complex and Pathological Wounds with Integra.  In Lee BY, ed.  The Wound Management Manual.  New York, McGraw-Hill, 2004:226-289.  (ISBN 0-07-143203-5).

 

 

 

 

 

SLIDE SUMMARY:  This starts a series of patients with necrotizing fasciitis.  This woman had strep NF, managed by prompt drainage, then a mixed modality wound closure.

 

------------------------------------------------------------------------------------------------------------------------------------

And now . . . examples of patients with necrotizing fasciitis.

 

This young woman had strep N.F., beginning around the knee.  The extremity is shown at a point where, after a week or two of care, the wounds are ready for closure.  Drainage incisions of the thigh and leg are closed by simple repair.  To avoid contractures or other scar problems across a joint, Integra was used to reconstruct the missing skin.  It is shown a week or two after placement, a few weeks later when fully regenerated and ready for split thickness overgrafts, and a few weeks after completing the reconstruction.

 

The patient had full range of motion in the knee, with no late sequelae or followup surgery.

 

 

 

 

 

SLIDE SUMMARY:  This patient had Staph NF involving lower extremity, trunk, and upper extremity.  The illustrations show various locations and stages of skin reconstruction, with good outcomes following mixed modality surgery.

 

------------------------------------------------------------------------------------------------------------------------------------

This is the same patient first shown on Slide 13, following staphylococcal fasciitis.  The problem began in a below knee amputation wound, and progressed to involve the trunk, neck, and upper extremity, with the most sever destruction in the shoulder and arm, and forearm.

 

UPPER ROW - The shoulder and arm in various stages of wound care and reconstruction.  A readily available flap was used for the most superior reconstruction possible across a joint.  Other areas of the shoulder and arm were closed with Integra: easy, no donor sites, and the superior option for covering bare muscle.

 

MIDDLE ROW - The wrist and forearm were closed with Integra, seen on the dorsum of the hand directly over extensor tendons.  The final result has thin pliable skin - which is why Integra is considered a preferred reconstructive option for the dorsum of the hand.  There is no scar, and no resistance to wrist flexion.

 

BOTTOM ROW - The tibial stump is a deep wound with a persistent intra-osseous bursa.  Flaps and skin grafts would have been problematic, failing to get dependable tissue-to-tissue coaptation due to local geometry and tissue mechanics.  The CGM matrix was used for bulk filling in the bursa, then covered with a “skin” layer of Integra.  New tissue eventually filled the entire matrix, with no complications nor further surgery.

 

 

 

 

 

SLIDE SUMMARY:  More patients with NF of various causes, each showing various stages of closure and outcome, using conventional and Integra wound closure.

 

------------------------------------------------------------------------------------------------------------------------------------

UPPER - Two more views of the preceding patient.  On the left is healed Integra over what had been an open knee joint.  On the right is healed Integra over flexor tendons of the forearm.  Tendons are locked by inter-tendinous adhesions, but not because of tethering to the skin.

 

LOWER LEFT - A man developed Clostridial myofasciitis “gas gangrene” after lacerating his arm in a freshly manured garden.  Available local flaps near the elbow were used for closure directly across the joint.  Integra was used over exposed muscles and tendons of the forearm.  This is an early result, within a month or two of the wound closure, showing preservation of full-range tendon, muscle, and joint function - a testimonial to the superior results that accrue to prompt thorough intervention, and then reconstruction with the most suitable options.

 

LOWER RIGHT - A comparable problem in an older man with who developed strep N.F. following traumatic olecranon bursitis.  Comparable to the lower extremity on Slide 25, drainage incisions have been closed directly, and missing skin has been reconstructed with Integra, directly across the joint and on bare muscle.  No followup reconstructive procedures were needed.

 

 

 

 

 

SLIDE SUMMARY:  This patient had aspergillus NF.  Debridement and initial skin reconstruction are shown.

This 58 yo woman had active rheumatoid and was on multiple anti-immune therapies.  The infarction and ulceration of the leg was acute, and accompanied by severe  systemic toxicity.  The primary pathogen was Aspergillus.  Initial debridements were followed by complete wound excision and closure with Integra.

 

------------------------------------------------------------------------------------------------------------------------------------

Prior to Integra, amputation would have been the safest and most rational management.  Extensive bone and tendon exposure would have required a free flap.  The patient was far to sick for an major procedure.  Skin grafts would have failed in most areas.

 

Integra is quick and easy to place, with no physiological load or “hit” against the patient.  Intensivist physicians managing her case were impressed by the profound physiological improvements and general cardiodynamic and pulmonary stability that occurred promptly after placing the Integra.  This is an effect observed and reported by others for sick burn patient (see the Gottlieb papers for a thorough bibliography).  By arresting inflammation in the large wound, the systemic inflammatory syndromes, aka “septic syndromes” are quenched.

 

The patient died after amphotericin induced renal failure and the family’s refusal to start dialysis.  However, the leg was obviously headed toward an excellent healed reconstruction.

 

 

 

 

 

SLIDE SUMMARY:  This patient had streptococcal N.F. with toxic shock syndrome.  His acute and reconstructive management illustrate how the most desperately ill patients can have good expeditious outcomes based on aggressive curative surgery followed by reconstruction with modern skin replacement technologies.

This final example is especially illustrative of all major points to be made about the surgical management of necrotizing fasciitis.

 

------------------------------------------------------------------------------------------------------------------------------------

This 33 yo man developed classic Group A streptococcal necrotizing fasciitis - GAS NF - after an elective knee arthroscopy.  Streptococcal toxic shock ensued rapidly, with fulminant wildfire progression of the disease.  The process ultimately involved the whole of both lower extremities and trunk, with extension to the neck and shoulders.  When seen in consultation, the disease was rapidly progressing despite a limited “debridement” 24 hours before.  After consultation, the patient went to the OR again, where one operation cured the disease.  No further surgery was needed for the sake of cure.

 

The effects of streptococcal exotoxicity and toxic shock must be appreciated.  In this case, intercurrent organ system injury resulted in transient lung, liver,and renal injury, all of which were relatively mild and easily managed as the patient recovered (in other patients, they can be of lesser or greater severity).  The most serious problem for this patient was profound bone marrow suppression.  Although this too recovered eventually, it created substantial problems for maintaining circulating red call mass, along with platelet levels and freedom from wound bleeding.  The most serious effect was on white cell mass.

 

Recall that no wound can be closed until it meets certain criteria of preparedness.  This means subsidence of inflammation and control of bioburden (bacteria counts typical of healthy wounds, usually 102 -103 organisms per gram of tissue).  These wounds were closed starting on day 9 after the curative debridement.  In this case, the wounds has been packed in Silvadene, periwound inflammation was gone, wound cultures and counts were negative, the wounds were starting to proliferate a healthy reparative wound module, and by all customary criteria, these were benign healthy wounds ready for closure.  YET - the patient was acting severely septic.  Blood pressure had become progressively unsustainable, he was on maximum multi-pressor support, and most of his physicians were quite convinced that death was imminent.

 

The explanation for his septic status seems to be related to his low white blood cell counts and huge wound areas.  Total wound surface was measured at 150% of body surface area (due to multiple open planes).  Low, otherwise perfectly healthy wound counts, combined with profound neutropenia, and integrated over a massive wound area, seemed to create significant septicemic bacterial transients in the blood.  This was the only apparent reason for his status, and this hypothesis is supported by his rapid favorable response to wound closure with Integra.

 

Wound closure with skin grafts and flaps was impossible - the patient was far too unstable for any prolonged anesthesia or further increase in wound area.  For severely ill patients, including burns and fasciitis, Integra has that virtue of being quick, of unlimited availability, and having no donor sites or physiological load on the patient.  Within one hour of placing Integra on a large percentage of the wounds, vital signs stabilized, pressors were withdrawn, and the patient’s progress was all “downhill” from there.  This response of rapid general improvement has been reported by several authors reporting on Integra-CGM for burns.

 

Major points to appreciate are:

 

1 - The fulminant, often fatal nature of the disease can be understood.

 

2 - This is no business for amateurs or the faint of heart.  ONE OPERATION should cure the disease.  Adequate surgery the first time would have prevented progression and near catastrophe.

 

3 - Streptococcal exotoxicity and toxic shock are the killers.  Some patients have strep N.F. without the toxic shock.  These patients are easier to treat and most likely to survive.  All N.F. patients need rapid thorough excision and debridement, but for the ones with STSS, failure to be thorough and complete is likely to result in death.

 

4 - Integra-CGM is a very high quality artificial skin.  When criteria for closure are met, its effects on the wound and patient, free of donor sites and risk, have made care easier, more effective, and safer.

 

------------------------------------------------------------------------------------------------------------------------------------

LEFT UPPER - A small portion of the overall wounds, just prior to closure.  The wounds are clean and meet all of the usual criteria of a healthy wound ready for closure.  Note the massive myoedema.

 

LEFT 2ND - Integra in place, shortly afterwards (left), and a few days later (right).  Note the wrinkles - due to rapid resolution of edema, and reduction in tissue volume.

 

LEFT 3RD - About 3 weeks later, the Integra is regenerated and ready for split thickness skin overgrafts.  At this point the, patient is generally “healthy”, well past any of the acute or critical care activities.

 

LEFT LOWER - About 2 months after injury, the patient is healed.  Unlike what would have happened with conventional skin grafts, there are no contractures across joints, nor tethered scars binding skin to muscle.  No late revision or reconstruction was ever needed (it would have been otherwise had conventional skin grafts been used).

 

RIGHT - A series of similar views of the right knee.  From the top to the middle pane is just a 5 day interval, showing the rapid physiological corrections in the wound, with substantial loss of myoedema.  The bottom pane shows freedom from contractures and scar problems.

 

 

 

 

 

SUMMARY

 

This presentation focused on the surgical aspects of treating necrotizing fasciitis.  This reiterates the two major points:

 

1 - Surgical treatment must be prompt, aggressive, and thorough.  The disease should be cured by one operation of drainage and excision.

 

2 - Surgeons who are unfamiliar with the arts of plastic surgery need not be intimidated by excising and draining whatever is infected.  Skin loss is easy enough to manage and reconstruct in patients whose lives have been saved.  Modern skin reconstruction technologies, introduced in the past decade, have brought unprecedented  reliability and ease to the process of skin restoration.  These products provide high quality acute “skin” replacement, while serving as the agent of definitive skin restoration, often with superior scar free results which do not need later revision.

 

 

 

 

 

END